• 文献检索
  • 文档翻译
  • 深度研究
  • 学术资讯
  • Suppr Zotero 插件Zotero 插件
  • 邀请有礼
  • 套餐&价格
  • 历史记录
应用&插件
Suppr Zotero 插件Zotero 插件浏览器插件Mac 客户端Windows 客户端微信小程序
定价
高级版会员购买积分包购买API积分包
服务
文献检索文档翻译深度研究API 文档MCP 服务
关于我们
关于 Suppr公司介绍联系我们用户协议隐私条款
关注我们

Suppr 超能文献

核心技术专利:CN118964589B侵权必究
粤ICP备2023148730 号-1Suppr @ 2026

文献检索

告别复杂PubMed语法,用中文像聊天一样搜索,搜遍4000万医学文献。AI智能推荐,让科研检索更轻松。

立即免费搜索

文件翻译

保留排版,准确专业,支持PDF/Word/PPT等文件格式,支持 12+语言互译。

免费翻译文档

深度研究

AI帮你快速写综述,25分钟生成高质量综述,智能提取关键信息,辅助科研写作。

立即免费体验

利用磁共振胰胆管造影术对肝外胆管闭锁手术患者肝内胆管结构的研究

Study of Intrahepatic Biliary Architecture in Patients Operated for Extrahepatic Biliary Atresia using Magnetic Resonance Cholangiopancreatography.

作者信息

Verma Ajay, Dhua Anjan Kumar, Kandasamy Devasenathipathy, Gupta Amit, Bhatnagar Veereshwar

机构信息

Department of Paediatric Surgery, All India Institute of Medical Sciences, New Delhi, India.

Department of Radiodiagnosis and Interventional Radiology, All India Institute of Medical Sciences, New Delhi, India.

出版信息

J Indian Assoc Pediatr Surg. 2024 Jan-Feb;29(1):23-27. doi: 10.4103/jiaps.jiaps_24_23. Epub 2024 Jan 12.

DOI:10.4103/jiaps.jiaps_24_23
PMID:38405247
原文链接:https://pmc.ncbi.nlm.nih.gov/articles/PMC10883171/
Abstract

AIM

The aim is to study intrahepatic biliary architecture in patients following Kasai's portoenterostomy for extrahepatic biliary atresia using magnetic resonance cholangiopancreatography (MRCP).

MATERIALS AND METHODS

It is a prospective observational study in a cohort of patients who have survived with a complete jaundice-free period for at least 1 year. MRCP was done to look for various intrahepatic architectural changes during their last visit. Findings were correlated with liver functions and growth and development.

RESULTS

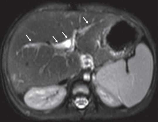
Twenty-one patients were included in the study. The male-to-female sex ratio was 1.6:1, the median age at surgery was 75 days (18-140 days), and the median age at magnetic resonance imaging (MRI) was 4 years (18 months-18 years). More than 2 years of follow-up was in seven patients. Left lobe hypertrophy was observed in six patients, right lobe hypertrophy was in three patients, intrahepatic biliary tract dilatation was in five patients, and altered signal intensity between intrahepatic ducts was seen in five patients. In addition, hypointense foci in the spleen were seen in one patient. Twelve children had normal weight for their age, ten children had the normal height for their age, and gamma-glutamyl transferase was elevated in all children. Only four children had a history of fever and jaundice.

CONCLUSIONS

The patients who survive after successful surgical intervention have near-normal liver gross architecture as on MRI/MRCP. Occasional findings of dilatation and lobar atrophy/hypertrophy are possible, especially in those with a history of cholangitis. The survivors also have acceptable growth parameters and normal liver functions.

摘要

目的

本研究旨在利用磁共振胰胆管造影(MRCP)对肝外胆管闭锁患者行肝门空肠吻合术后的肝内胆管结构进行研究。

材料与方法

这是一项前瞻性观察性研究,研究对象为黄疸完全消退至少1年的存活患者队列。在他们最后一次就诊时进行MRCP检查,以寻找各种肝内结构变化。研究结果与肝功能以及生长发育情况相关。

结果

本研究共纳入21例患者。男女比例为1.6:1,手术时的中位年龄为75天(18 - 140天),磁共振成像(MRI)时的中位年龄为4岁(18个月 - 18岁)。7例患者随访时间超过2年。6例患者观察到左叶肥大,3例患者观察到右叶肥大,5例患者观察到肝内胆管扩张,5例患者观察到肝内胆管之间信号强度改变。此外,1例患者脾脏出现低信号灶。12名儿童年龄别体重正常,10名儿童年龄别身高正常,所有儿童的γ-谷氨酰转移酶均升高。只有4名儿童有发热和黄疸病史。

结论

成功手术干预后存活的患者,其MRI/MRCP显示肝脏大体结构接近正常。偶尔可能出现扩张以及叶萎缩/肥大的表现,尤其是有胆管炎病史的患者。存活者的生长参数也在可接受范围内,肝功能正常。

https://cdn.ncbi.nlm.nih.gov/pmc/blobs/d147/10883171/2879b35af7f1/JIAPS-29-23-g008.jpg
https://cdn.ncbi.nlm.nih.gov/pmc/blobs/d147/10883171/894fec58545b/JIAPS-29-23-g001.jpg
https://cdn.ncbi.nlm.nih.gov/pmc/blobs/d147/10883171/a6ac54e27ac0/JIAPS-29-23-g002.jpg
https://cdn.ncbi.nlm.nih.gov/pmc/blobs/d147/10883171/5349f3b82046/JIAPS-29-23-g003.jpg
https://cdn.ncbi.nlm.nih.gov/pmc/blobs/d147/10883171/a20500cd0b39/JIAPS-29-23-g004.jpg
https://cdn.ncbi.nlm.nih.gov/pmc/blobs/d147/10883171/3da0783468ab/JIAPS-29-23-g005.jpg
https://cdn.ncbi.nlm.nih.gov/pmc/blobs/d147/10883171/85de55356c0d/JIAPS-29-23-g006.jpg
https://cdn.ncbi.nlm.nih.gov/pmc/blobs/d147/10883171/3a1524499e06/JIAPS-29-23-g007.jpg
https://cdn.ncbi.nlm.nih.gov/pmc/blobs/d147/10883171/2879b35af7f1/JIAPS-29-23-g008.jpg
https://cdn.ncbi.nlm.nih.gov/pmc/blobs/d147/10883171/894fec58545b/JIAPS-29-23-g001.jpg
https://cdn.ncbi.nlm.nih.gov/pmc/blobs/d147/10883171/a6ac54e27ac0/JIAPS-29-23-g002.jpg
https://cdn.ncbi.nlm.nih.gov/pmc/blobs/d147/10883171/5349f3b82046/JIAPS-29-23-g003.jpg
https://cdn.ncbi.nlm.nih.gov/pmc/blobs/d147/10883171/a20500cd0b39/JIAPS-29-23-g004.jpg
https://cdn.ncbi.nlm.nih.gov/pmc/blobs/d147/10883171/3da0783468ab/JIAPS-29-23-g005.jpg
https://cdn.ncbi.nlm.nih.gov/pmc/blobs/d147/10883171/85de55356c0d/JIAPS-29-23-g006.jpg
https://cdn.ncbi.nlm.nih.gov/pmc/blobs/d147/10883171/3a1524499e06/JIAPS-29-23-g007.jpg
https://cdn.ncbi.nlm.nih.gov/pmc/blobs/d147/10883171/2879b35af7f1/JIAPS-29-23-g008.jpg

相似文献

1
Study of Intrahepatic Biliary Architecture in Patients Operated for Extrahepatic Biliary Atresia using Magnetic Resonance Cholangiopancreatography.利用磁共振胰胆管造影术对肝外胆管闭锁手术患者肝内胆管结构的研究
J Indian Assoc Pediatr Surg. 2024 Jan-Feb;29(1):23-27. doi: 10.4103/jiaps.jiaps_24_23. Epub 2024 Jan 12.
2
A prospective pilot study: can the biliary tree be visualized in children younger than 3 months on Magnetic Resonance Cholangiopancreatography?一项前瞻性初步研究:磁共振胰胆管成像能否显示 3 个月以下儿童的胆道系统?
Pediatr Radiol. 2014 Sep;44(9):1077-84. doi: 10.1007/s00247-014-2953-9. Epub 2014 Apr 8.
3
Magnetic resonance cholangiopancreatography (MRCP) using new negative per-oral contrast agent based on superparamagnetic iron oxide nanoparticles for extrahepatic biliary duct visualization in liver cirrhosis.使用基于超顺磁性氧化铁纳米颗粒的新型口服阴性对比剂进行磁共振胰胆管造影(MRCP)以观察肝硬化患者的肝外胆管。
Biomed Pap Med Fac Univ Palacky Olomouc Czech Repub. 2016 Dec;160(4):512-517. doi: 10.5507/bp.2016.046. Epub 2016 Sep 15.
4
Biliary atresia and survival into adulthood without transplantation: a collaborative multicentre clinic review.先天性胆道闭锁和在不进行移植的情况下存活至成年:一项协作性多中心临床回顾。
Liver Int. 2012 Mar;32(3):510-8. doi: 10.1111/j.1478-3231.2011.02668.x. Epub 2011 Nov 9.
5
A Quantitative Magnetic Resonance Cholangiopancreatography Metric of Intrahepatic Biliary Dilatation Severity Detects High-Risk Primary Sclerosing Cholangitis.定量磁共振胰胆管成像肝内胆管扩张严重程度指标可检测高危原发性硬化性胆管炎。
Hepatol Commun. 2022 Apr;6(4):795-808. doi: 10.1002/hep4.1860. Epub 2021 Nov 21.
6
Assessment of latent manganese toxicity as a prognostic factor following surgery for biliary atresia.评估潜在锰毒性作为胆道闭锁手术后的预后因素。
Eur J Pediatr Surg. 2008 Feb;18(1):22-5. doi: 10.1055/s-2008-1038326.
7
Incidence of intrahepatic biliary cysts in biliary atresia after hepatic portoenterostomy and associated histopathologic findings in the liver and porta hepatis at diagnosis.肝门空肠吻合术后胆道闭锁患儿肝内胆管囊肿的发生率及诊断时肝脏和肝门的相关组织病理学表现。
J Pediatr Surg. 1999 Sep;34(9):1364-8. doi: 10.1016/s0022-3468(99)90012-x.
8
Biliary atresia with a "cyst at porta": management and outcome as per the cholangiographic anatomy.伴有“肝门部囊肿”的胆道闭锁:根据胆管造影解剖结构的处理及预后
Pediatr Surg Int. 2007 Aug;23(8):773-8. doi: 10.1007/s00383-007-1948-0. Epub 2007 Jun 14.
9
Surgical experience in children with biliary atresia treated with portoenterostomy.经门静脉肠吻合术治疗儿童胆道闭锁的手术经验。
Curr Surg. 2005 Jul-Aug;62(4):439-43. doi: 10.1016/j.cursur.2004.11.022.
10
Current concept about postoperative cholangitis in biliary atresia.关于胆道闭锁术后胆管炎的当前概念。
World J Pediatr. 2008 Feb;4(1):14-9. doi: 10.1007/s12519-008-0003-0.

引用本文的文献

1
Laparoscopic vs. open portoenterostomy for biliary atresia: a meta-analysis of pediatric surgical outcomes.腹腔镜与开放式肝门空肠吻合术治疗胆道闭锁:小儿外科手术结局的Meta分析
Front Pediatr. 2024 Dec 9;12:1476195. doi: 10.3389/fped.2024.1476195. eCollection 2024.

本文引用的文献

1
Imaging prediction with ultrasound and MRI of long-term medical outcome in native liver survivor patients with biliary atresia after kasai portoenterostomy: a pilot study.超声和磁共振成像对Kasai肝门空肠吻合术后胆道闭锁天然肝存活患者长期医疗结局的影像预测:一项初步研究。
Abdom Radiol (NY). 2021 Jun;46(6):2595-2603. doi: 10.1007/s00261-021-02958-4. Epub 2021 Feb 2.
2
Biliary atresia and survival into adulthood without transplantation: a collaborative multicentre clinic review.先天性胆道闭锁和在不进行移植的情况下存活至成年:一项协作性多中心临床回顾。
Liver Int. 2012 Mar;32(3):510-8. doi: 10.1111/j.1478-3231.2011.02668.x. Epub 2011 Nov 9.
3
Histologic features of the portal plate in extrahepatic biliary atresia and their impact on prognosis--a Danish study.
肝外胆管闭锁时门静脉板的组织学特征及其对预后的影响——一项丹麦的研究。
J Pediatr Surg. 2009 Jul;44(7):1344-8. doi: 10.1016/j.jpedsurg.2008.11.054.
4
Time-course changes in the liver of biliary atresia patients on magnetic resonance imaging.
Pediatr Int. 2009 Feb;51(1):66-70. doi: 10.1111/j.1442-200X.2008.02657.x.
5
Cholangitis as a late complication in long-term survivors after surgery for biliary atresia.
J Pediatr Surg. 2004 Dec;39(12):1797-9. doi: 10.1016/j.jpedsurg.2004.08.021.
6
Long-term survival following Kasai portoenterostomy: is chronic liver disease inevitable?
J Pediatr Gastroenterol Nutr. 2003 Oct;37(4):430-3. doi: 10.1097/00005176-200310000-00006.
7
Incidence of intrahepatic biliary cysts in biliary atresia after hepatic portoenterostomy and associated histopathologic findings in the liver and porta hepatis at diagnosis.肝门空肠吻合术后胆道闭锁患儿肝内胆管囊肿的发生率及诊断时肝脏和肝门的相关组织病理学表现。
J Pediatr Surg. 1999 Sep;34(9):1364-8. doi: 10.1016/s0022-3468(99)90012-x.
8
MRI findings in the liver in biliary atresia patients after the Kasai operation.肝门空肠吻合术后胆道闭锁患者肝脏的MRI表现。
Tohoku J Exp Med. 1997 Jan;181(1):193-202. doi: 10.1620/tjem.181.193.
9
Cystic dilatation of the intrahepatic biliary system in biliary atresia after hepatic portoenterostomy.肝门肠吻合术后胆道闭锁患儿肝内胆管系统的囊性扩张
J Pediatr Surg. 1994 May;29(5):630-4. doi: 10.1016/0022-3468(94)90728-5.