Suppr超能文献

牙周放线菌病,酷似牙龈增生——一例报告及其处理

Actinomycosis of periodontium, mimicking gingival enlargement - A case report and its management.

作者信息

Jeyasree Renganath Murugan, Muthuraj Thamil Selvan, Usha Gomakumar Kanakasabhapathi, Raja Jacob

机构信息

Department of Periodontics and Implantology, Rajas Dental College and Hospital, Tirunelveli, Tamil Nadu, India.

Department of Oral Pathology, Rajas Dental College and Hospital, Tirunelveli, Tamil Nadu, India.

出版信息

J Indian Soc Periodontol. 2023 Nov-Dec;27(6):651-654. doi: 10.4103/jisp.jisp_63_23. Epub 2024 Jan 24.

Abstract

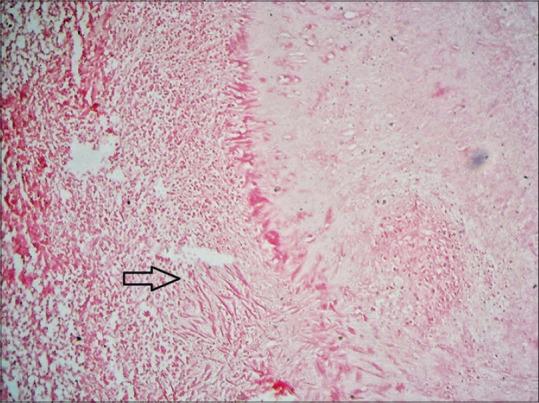
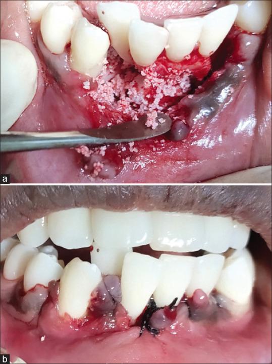
Gingival abscess is a localized, acute inflammatory lesion which is caused by various factors that include microbial plaque infection, foreign body impaction, and trauma. Management includes a simple incision and draining of the purulent exudate along with systemic antibiotics in most of the cases. This article reports a case of a 16-year-old female patient, with a chief complaint of painful and swollen gums in her lower right front tooth region of the jaw along with fever for the past 5 days. Emergency treatment of abscess drainage was done on day 1. On 5 day of review, the case presented with persistent signs of gingival inflammation in relation to 43 to 41. Considering the provisional diagnosis as dentigerous cyst with persistent gingival abscess, definitive treatment was performed by transalveolar extraction of the impacted canine and debridement of the osseous lesion. The histologic analysis of the lesion exhibited foci of eosinophilic coagulum-like areas with epicentric and radiating filamentous appearance at the periphery, which is suggestive of an inflamed dentigerous cyst with actinomycosis infection of periodontium.

摘要

牙龈脓肿是一种局限性急性炎症性病变,由多种因素引起,包括微生物菌斑感染、异物嵌塞和创伤。在大多数情况下,治疗包括简单的切开引流脓性渗出物以及全身性使用抗生素。本文报告了一例16岁女性患者,主要症状为下颌右下前牙区牙龈疼痛肿胀,伴有发热5天。第1天进行了脓肿引流的急诊治疗。复查第5天时,43至41区域仍有持续性牙龈炎症迹象。考虑初步诊断为含牙囊肿伴持续性牙龈脓肿,通过经牙槽拔除阻生尖牙并清除骨病变进行了确定性治疗。病变的组织学分析显示有嗜酸性凝块样区域,周边有中心和放射状丝状外观,提示为伴有放线菌感染的牙周炎的含牙囊肿炎症。

https://cdn.ncbi.nlm.nih.gov/pmc/blobs/9999/10906796/5e3911c0f0dc/JISP-27-651-g001.jpg

文献AI研究员

20分钟写一篇综述,助力文献阅读效率提升50倍。

立即体验

用中文搜PubMed

大模型驱动的PubMed中文搜索引擎

马上搜索

文档翻译

学术文献翻译模型,支持多种主流文档格式。

立即体验