Suppr超能文献

内镜治疗迁移性胆道支架引起的十二肠结肠瘘。

Endoscopic Treatment of Duodenocolic Fistula Caused by Migrating Biliary Stents.

机构信息

Department of Hepatopancreatobiliary Surgery, Ganzhou People's Hospital of Jiangxi Province (Ganzhou Hospital Affiliated to Nanchang University), Ganzhou, Jiangxi, China (mainland).

出版信息

Am J Case Rep. 2024 Mar 6;25:e943020. doi: 10.12659/AJCR.943020.

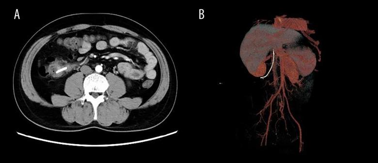
Abstract

BACKGROUND Endoscopic biliary stent implantation is a recognized and effective method for the treatment of benign and malignant diseases of the bile duct and pancreas, ensuring smooth bile drainage. Currently, stent migration is considered a long-term and complex process, and in most cases, stents are removed through endoscopy or expelled from the body through the intestinal cavity. In rare cases, stents lead to formation of duodenocolic fistulas. CASE REPORT We report a case of duodenal colon fistula caused by a biliary stent penetrating the duodenum and entering the ascending colon. We removed the stent through endoscopy and clamped the fistulas of the colon and duodenum separately with titanium clips. Due to the presence of large common bile duct stones, nasobiliary drainage was performed again. Later, laparoscopic choledocholithotomy was performed, and the patient was discharged after rehabilitation. CONCLUSIONS ERCP endoscopy must consider the possibility of stent displacement in patients with biliary stents. In the case of CBD biliary stent dislocation in the patient, continuous abdominal plain films and physical examinations are required until spontaneous discharge is confirmed. In addition, for patients with benign bile duct stenosis undergoing biliary drainage, doctors should urge them to return to the hospital on time to remove the stent. For patients with postoperative abdominal pain or peritonitis symptoms, abdominal CT scan confirmation is required and early intervention should be considered.

摘要

背景 经内镜胆管支架植入术是治疗胆管和胰腺良恶性疾病的公认且有效的方法,可确保胆汁引流通畅。目前,支架迁移被认为是一个长期而复杂的过程,大多数情况下,支架通过内镜取出或通过肠道排出体外。在极少数情况下,支架会导致十二指肠结肠瘘的形成。

病例报告 我们报告了一例胆管支架穿透十二指肠并进入升结肠导致的十二指肠结肠瘘病例。我们通过内镜取出了支架,并分别使用钛夹夹闭结肠和十二指肠的瘘口。由于存在大量胆总管结石,再次进行了鼻胆管引流。随后,进行了腹腔镜胆总管切开取石术,患者康复后出院。

结论 ERCP 内镜必须考虑到患者带胆管支架时支架移位的可能性。对于 CBD 胆管支架脱位的患者,需要持续进行腹部平片和体格检查,直到确认支架自发排出。此外,对于因良性胆管狭窄行胆管引流的患者,医生应敦促其按时返回医院取出支架。对于术后出现腹痛或腹膜炎症状的患者,需要进行腹部 CT 扫描确认,并考虑早期干预。

https://cdn.ncbi.nlm.nih.gov/pmc/blobs/3dc9/10926232/1e05bb80d926/amjcaserep-25-e943020-g001.jpg

文献AI研究员

20分钟写一篇综述,助力文献阅读效率提升50倍。

立即体验

用中文搜PubMed

大模型驱动的PubMed中文搜索引擎

马上搜索

文档翻译

学术文献翻译模型,支持多种主流文档格式。

立即体验