Suppr超能文献

厄洛替尼治疗晚期肺腺癌患者发生严重巨幼细胞性贫血:病例报告及文献复习。

Severe megaloblastic anemia in a patient with advanced lung adenocarcinoma during treatment with erlotinib: a case report and literature review.

机构信息

Department of Oncology, Shandong Provincial Hospital Affiliated to Shandong First Medical University, Jinan, Shandong Province, China.

Department of Gastroenterological surgery, Shanxian Central Hospital, Heze, Shandong Province, China.

出版信息

BMC Pulm Med. 2024 Mar 6;24(1):121. doi: 10.1186/s12890-024-02935-9.

Abstract

BACKGROUND

Erlotinib is a first-generation, tyrosine kinase inhibitor of the epidermal growth factor receptor (EGFR-TKI) used for the treatment patients with NSCLC. Erlotinib is considered as a safe and effective treatment option, with generally good tolerance. Diarrhea and rash are the most common side effects, and more rare side effects appear in long-term real-world applications. Severe erlotinib related megaloblastic anemia is rare and remains unreported. This is the first case report of severe megaloblastic anemia in a patient with advanced lung adenocarcinoma with an EGFR L858R mutation treated with erlotinib. In this report, the clinical manifestations, diagnosis and treatment of erlotinib related severe megaloblastic anemia are described, and the possible pathogenesis and related treatment options are discussed.

CASE DESCRIPTION

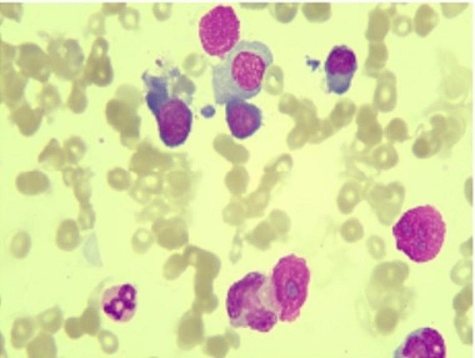
Herein, we present a 57- year-old non-smoking female diagnosed with metastatic lung adenocarcinoma harboring an EGFR L858R mutation, who had received erlotinib as the first-line therapy. After 44 weeks of treatment, the patient developed severe anemia. Anemia was manifested as megaloblastic anemia with elevated mean corpuscular volume and mean corpuscular hemoglobin. The total vitamin B12 level was below the detection limit of 50.00 pg /mL. Bone marrow smear suggested megaloblastic anemia. Her hematologic parameters were markedly recovered following the withdrawal of erlotinib and vitamin B12 supplement. As a result, the patient was diagnosed with erlotinib-associated megaloblastic anemia.

CONCLUSIONS

This is the first case of severe megaloblastic anemia reported with erlotinib. Few of these hematologic adverse effects have been observed in studies on erlotinib, this case report highlights this possibility for long-term erlotinib administration. Close clinical and blood monitoring is recommended for patients receiving long-term TKI therapy.

摘要

背景

厄洛替尼是一种表皮生长因子受体(EGFR-TKI)的第一代酪氨酸激酶抑制剂,用于治疗非小细胞肺癌患者。厄洛替尼被认为是一种安全有效的治疗选择,通常具有良好的耐受性。腹泻和皮疹是最常见的副作用,而在长期的实际应用中会出现更罕见的副作用。严重的厄洛替尼相关性巨幼细胞性贫血较为罕见,目前尚未有报道。这是首例报道的表皮生长因子受体 L858R 突变的晚期肺腺癌患者接受厄洛替尼治疗后发生严重巨幼细胞性贫血的病例。本报告描述了厄洛替尼相关性严重巨幼细胞性贫血的临床表现、诊断和治疗,并探讨了可能的发病机制和相关治疗选择。

病例描述

本病例为 57 岁女性,不吸烟,诊断为转移性肺腺癌,携带 EGFR L858R 突变,一线治疗采用厄洛替尼。治疗 44 周后,患者出现严重贫血。贫血表现为巨幼细胞性贫血,平均红细胞体积和平均红细胞血红蛋白升高。总维生素 B12 水平低于 50.00pg/ml 的检测下限。骨髓涂片提示巨幼细胞性贫血。停用厄洛替尼和补充维生素 B12 后,患者的血液学参数明显恢复。因此,患者被诊断为厄洛替尼相关性巨幼细胞性贫血。

结论

这是首例报道的严重巨幼细胞性贫血与厄洛替尼相关的病例。在厄洛替尼的研究中很少观察到这些血液学不良反应,本病例报告强调了长期使用厄洛替尼可能出现这种情况。建议接受长期 TKI 治疗的患者进行密切的临床和血液监测。

https://cdn.ncbi.nlm.nih.gov/pmc/blobs/e5ad/10919028/03dab2e81e7d/12890_2024_2935_Fig1_HTML.jpg

文献AI研究员

20分钟写一篇综述,助力文献阅读效率提升50倍。

立即体验

用中文搜PubMed

大模型驱动的PubMed中文搜索引擎

马上搜索

文档翻译

学术文献翻译模型,支持多种主流文档格式。

立即体验