Division of Medicine and Clinical Science, Department of Multidisciplinary Internal Medicine, Faculty of Medicine, Tottori University, Japan.
Irisawa Medical Clinic, Japan.
Intern Med. 2024 Oct 15;63(20):2729-2737. doi: 10.2169/internalmedicine.2822-23. Epub 2024 Mar 11.
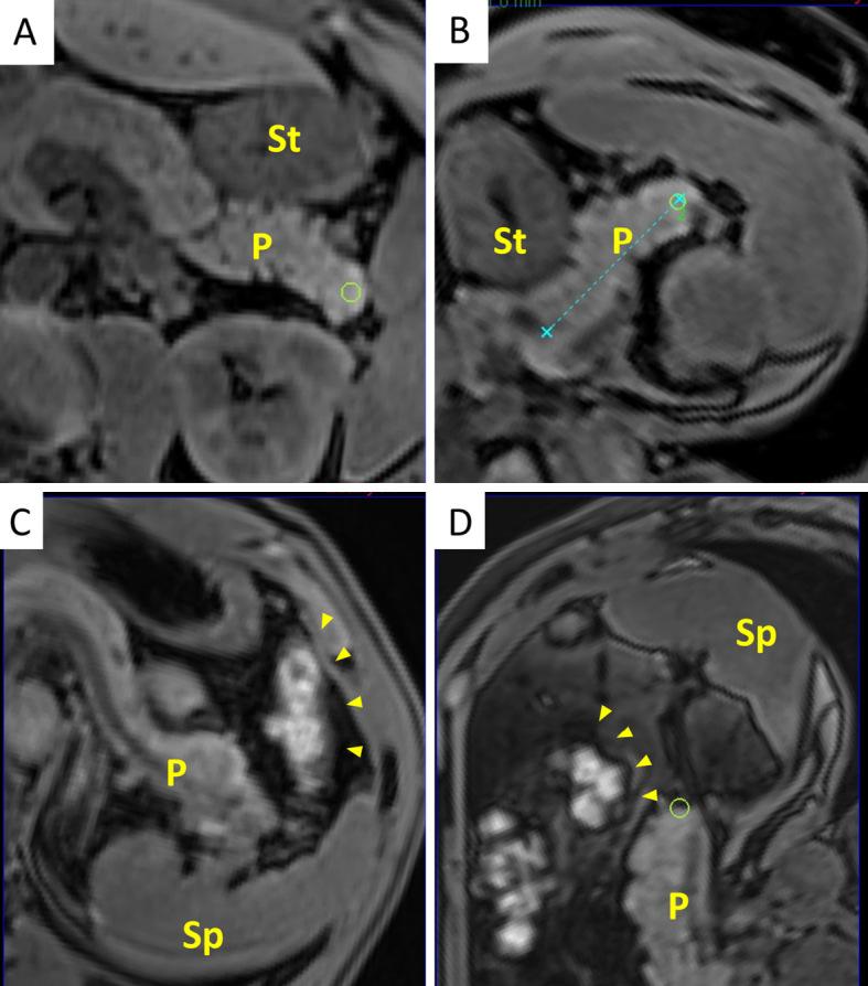
Objective Abdominal ultrasonography (AUS) is used to screen for abdominal diseases owing to its low cost, safety, and accessibility. However, the detection rate of pancreatic disease using AUS is unsatisfactory. We evaluated the visualization area of the pancreas and the efficacy of manipulation techniques for AUS with fusion imaging. Methods Magnetic resonance imaging (MRI) volume data were obtained from 20 healthy volunteers in supine and right lateral positions. The MRI volume data were transferred to an ultrasound machine equipped with a fusion imaging software program. We evaluated the visualization area of the pancreas before and after postural changes using AUS with fusion imaging and assessed the liquid-filled stomach method using 500 ml of de-aerated water in 10 randomly selected volunteers. Patients This study included 20 healthy volunteers (19 men and 1 woman) with a mean age of 33.0 (21-37.5) years old. Results Fusion imaging revealed that the visualization area of the entire pancreas using AUS was 55%, which significantly improved to 75% with a postural change and 90% when using the liquid-filled stomach method (p=0.043). Gastrointestinal gas is the main obstacle for visualization of the pancreas. Conclusion Fusion imaging objectively demonstrated that manipulation techniques can improve pancreatic visualization.
目的 腹部超声检查(AUS)由于其成本低、安全性高和易于获得,因此被用于筛查腹部疾病。然而,AUS 对胰腺疾病的检出率并不理想。我们评估了融合成像技术对胰腺的可视面积和操作技术的效果。
方法 从 20 名仰卧位和右侧卧位的健康志愿者中获得磁共振成像(MRI)容积数据。将 MRI 容积数据传输到配备融合成像软件程序的超声机上。我们使用融合成像的 AUS 评估体位改变前后胰腺的可视面积,并在 10 名随机选择的志愿者中使用 500ml 脱气水评估充满液体的胃方法。
患者 本研究纳入了 20 名健康志愿者(19 名男性和 1 名女性),平均年龄为 33.0(21-37.5)岁。
结果 融合成像显示,AUS 检查整个胰腺的可视面积为 55%,体位改变后可显著提高至 75%,使用充满液体的胃方法时可提高至 90%(p=0.043)。胃肠道气体是胰腺可视化的主要障碍。
结论 融合成像客观地表明,操作技术可以提高胰腺的可视化效果。