Suppr超能文献

单纯先天性心脏病的超声心动图检查:指导成年患者管理

Echocardiography in Simple Congenital Heart Diseases: Guiding Adult Patient Management.

作者信息

Galzerano Domenico, Pergola Valeria, Eltayeb Abdalla, Ludovica Fulgione, Arbili Lana, Tashkandi Loay, Michele Sara Di, Barchitta Agatella, Parato Maurizio Vito, Salvo Giovanni Di

机构信息

The Heart Centre, King Faisal Specialist Hospital and Research Center, Riyadh, Saudi Arabia.

College of Medicine, Alfaisal University, Riyadh, Saudi Arabia.

出版信息

J Cardiovasc Echogr. 2023 Oct-Dec;33(4):171-182. doi: 10.4103/jcecho.jcecho_52_23. Epub 2024 Feb 26.

Abstract

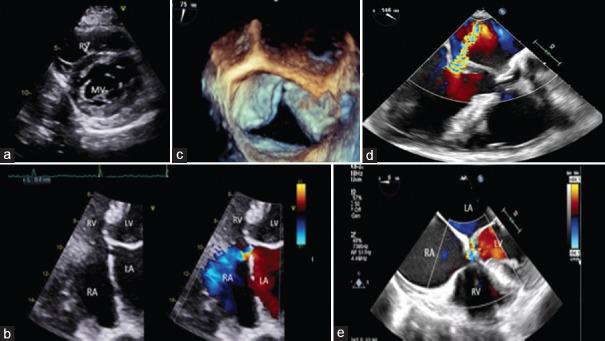
This article provides comprehensive insights into the evaluation of simple congenital heart diseases (CHDs) in adults, emphasizing the pivotal role of echocardiography. By focusing on conditions such as congenital aortic stenosis, aortic coarctation, patent ductus arteriosus, atrial septal defects (ASDs), and ventricular septal defects (VSDs), the review underscores echocardiography's intricate contributions to precise clinical decision-making. Echocardiography serves as the primary imaging modality, offering high-resolution visualization of anatomical anomalies and quantification of hemodynamic parameters. It enables tailored therapeutic strategies through its capacity to discern the dimensions, spatial orientation, and dynamic shunt dynamics of defects such as ASDs and VSDs. Moreover, echocardiography's advanced techniques, such as tissue Doppler imaging and speckle tracking, provide detailed insights into atrial mechanics, diastolic function, and ventricular filling kinetics. Integration of echocardiographic findings into clinical practice empowers clinicians to create personalized interventions based on quantified ventricular function, which spans systolic and diastolic aspects. This approach facilitates risk stratification and therapeutic planning, particularly pertinent in heart failure management within the CHD patient population. In summary, echocardiography transcends its role as an imaging tool, emerging as a precision-guided instrument adept at navigating the complexities of simple CHD in adults. Its ability to expedite diagnosis, quantify hemodynamic impacts, and unravel multifaceted functional dynamics culminates in a comprehensive depiction of these conditions. The fusion of these insights with clinical expertise empowers clinicians to navigate the intricate pathways of CHD, crafting tailored therapeutic strategies characterized by precision and efficacy.

摘要

本文全面深入地探讨了成人简单先天性心脏病(CHD)的评估,强调了超声心动图的关键作用。通过聚焦先天性主动脉狭窄、主动脉缩窄、动脉导管未闭、房间隔缺损(ASD)和室间隔缺损(VSD)等病症,该综述强调了超声心动图对精确临床决策的复杂贡献。超声心动图作为主要的成像方式,可提供高分辨率的解剖异常可视化以及血流动力学参数的量化。它能够通过辨别ASD和VSD等缺损的尺寸、空间方位和动态分流情况来制定个性化治疗策略。此外,超声心动图的先进技术,如组织多普勒成像和散斑追踪,可提供有关心房力学、舒张功能和心室充盈动力学的详细见解。将超声心动图检查结果整合到临床实践中,使临床医生能够根据量化的心室功能制定个性化干预措施,心室功能涵盖收缩期和舒张期方面。这种方法有助于进行风险分层和治疗规划,在CHD患者群体的心力衰竭管理中尤为重要。总之,超声心动图超越了其作为成像工具的角色,成为一种精准引导的仪器,擅长应对成人简单CHD的复杂性。它能够加快诊断、量化血流动力学影响并揭示多方面的功能动态,最终全面描绘这些病症。将这些见解与临床专业知识相结合,使临床医生能够在CHD的复杂路径中导航,制定以精准和有效为特点的个性化治疗策略。

https://cdn.ncbi.nlm.nih.gov/pmc/blobs/caf7/10936704/a2816ee431c9/JCE-33-171-g001.jpg

文献AI研究员

20分钟写一篇综述,助力文献阅读效率提升50倍。

立即体验

用中文搜PubMed

大模型驱动的PubMed中文搜索引擎

马上搜索

文档翻译

学术文献翻译模型,支持多种主流文档格式。

立即体验