Department of Microbiology and Immunology, Tulane University School of Medicine, New Orleans, LA, United States.
Front Immunol. 2024 Mar 1;15:1279920. doi: 10.3389/fimmu.2024.1279920. eCollection 2024.
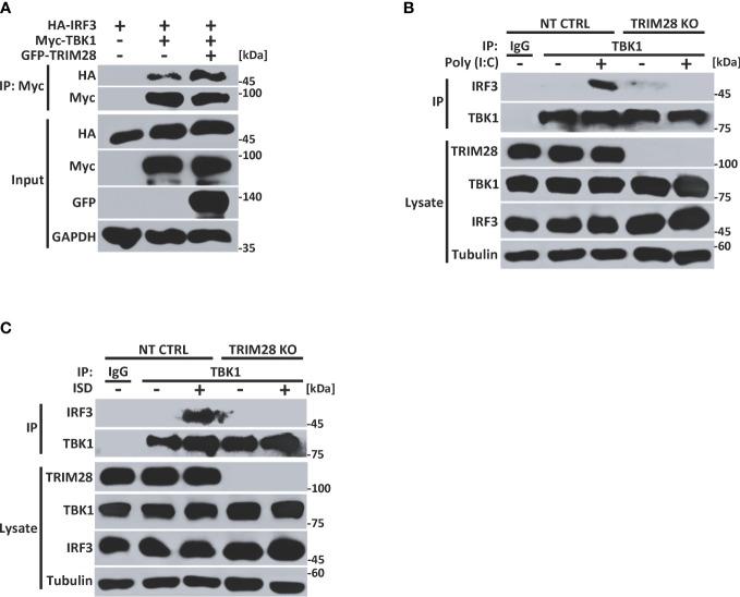
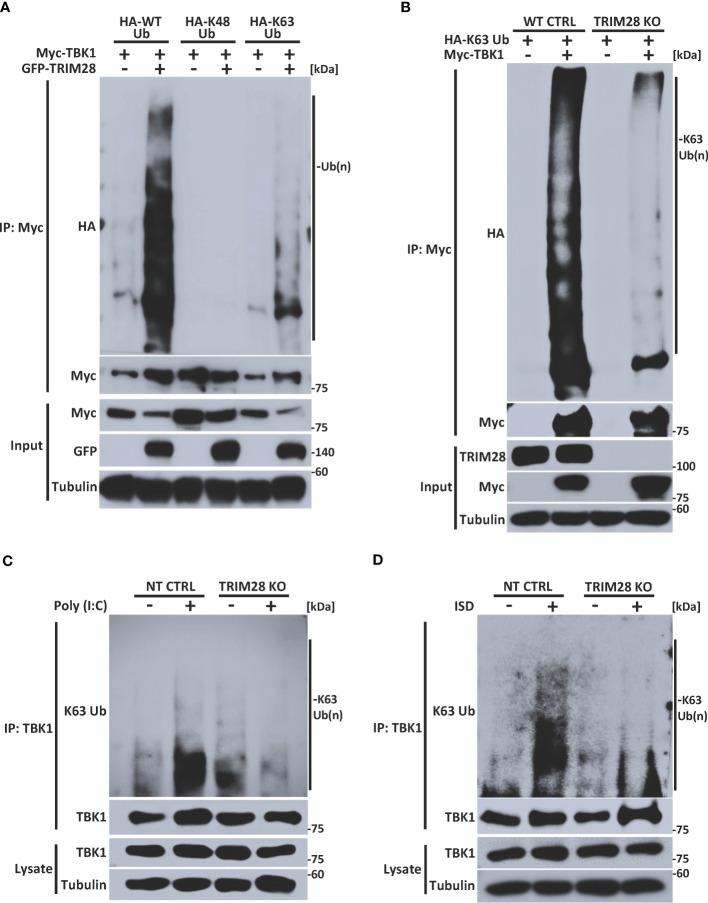
Type I interferons play a fundamental role in innate host defense against viral infections by eliciting the induction of an antiviral gene program that serves to inhibit viral replication. Activation of type I interferon is regulated by the IRF3 transcription factor, which undergoes phosphorylation-dependent activation by the upstream kinase, TBK1, during viral infection. However, the mechanisms by which TBK1 achieves activation to support signaling to IRF3 remain incompletely understood. Here we identified the E3 ubiquitin ligase, tripartite motif containing 28 (TRIM28), as a positive regulator of type I interferon activation by facilitating TBK1 signaling. Genetic deletion of TRIM28 via CRISPR-Cas9 editing resulted in impaired type I interferon activation upon both RNA and DNA virus challenge, corresponding with increased susceptibility to virus infections in TRIM28 knockout cells. Mechanistically, TRIM28 interacted with TBK1 and mediated the assembly of K63-linked ubiquitin chains onto TBK1, a post-translational modification shown to augment TBK1 signal transmission events. TRIM28 knockout cells further displayed defective TBK1 phosphorylation and complex assembly with IRF3, resulting in impaired IRF3 phosphorylation. Altogether, our data demonstrate TBK1 to be a novel substrate for TRIM28 and identify TRIM28 as an essential regulatory factor in controlling innate antiviral immune responses.
I 型干扰素在先天宿主防御病毒感染中发挥着基本作用,通过诱导抗病毒基因程序来抑制病毒复制。I 型干扰素的激活受到 IRF3 转录因子的调节,该转录因子在病毒感染过程中通过上游激酶 TBK1 的磷酸化依赖性激活。然而,TBK1 实现激活以支持信号传递到 IRF3 的机制仍不完全清楚。在这里,我们确定了 E3 泛素连接酶,三结构域蛋白 28(TRIM28),作为 I 型干扰素激活的正调节剂,通过促进 TBK1 信号传导。通过 CRISPR-Cas9 编辑对 TRIM28 的基因缺失导致在 RNA 和 DNA 病毒攻击时 I 型干扰素激活受损,对应于 TRIM28 敲除细胞对病毒感染的易感性增加。从机制上讲,TRIM28 与 TBK1 相互作用,并介导 K63 连接的泛素链组装到 TBK1 上,这种翻译后修饰被证明增强了 TBK1 信号转导事件。TRIM28 敲除细胞进一步显示出 TBK1 磷酸化和与 IRF3 复合物组装的缺陷,导致 IRF3 磷酸化受损。总之,我们的数据表明 TBK1 是 TRIM28 的新型底物,并确定 TRIM28 是控制先天抗病毒免疫反应的必需调节因子。