• 文献检索
  • 文档翻译
  • 深度研究
  • 学术资讯
  • Suppr Zotero 插件Zotero 插件
  • 邀请有礼
  • 套餐&价格
  • 历史记录
应用&插件
Suppr Zotero 插件Zotero 插件浏览器插件Mac 客户端Windows 客户端微信小程序
定价
高级版会员购买积分包购买API积分包
服务
文献检索文档翻译深度研究API 文档MCP 服务
关于我们
关于 Suppr公司介绍联系我们用户协议隐私条款
关注我们

Suppr 超能文献

核心技术专利:CN118964589B侵权必究
粤ICP备2023148730 号-1Suppr @ 2026

文献检索

告别复杂PubMed语法,用中文像聊天一样搜索,搜遍4000万医学文献。AI智能推荐,让科研检索更轻松。

立即免费搜索

文件翻译

保留排版,准确专业,支持PDF/Word/PPT等文件格式,支持 12+语言互译。

免费翻译文档

深度研究

AI帮你快速写综述,25分钟生成高质量综述,智能提取关键信息,辅助科研写作。

立即免费体验

TRIM52 敲低抑制 IL-1β诱导的滑膜成纤维细胞增殖、炎症反应和氧化应激,缓解颞下颌关节骨关节炎。

TRIM52 knockdown inhibits proliferation, inflammatory responses and oxidative stress in IL-1β-induced synovial fibroblasts to alleviate temporomandibular joint osteoarthritis.

机构信息

School and Hospital of Stomatology, China Medical University, Shenyang, Liaoning, China.

Department of Oral and Maxillofacial Surgery, Liaoning Provincial Key Laboratory of Oral Disease, Shenyang, Liaoning, China.

出版信息

J Cell Mol Med. 2024 Apr;28(8):e18244. doi: 10.1111/jcmm.18244.

DOI:10.1111/jcmm.18244
PMID:38520211
原文链接:https://pmc.ncbi.nlm.nih.gov/articles/PMC10960171/
Abstract

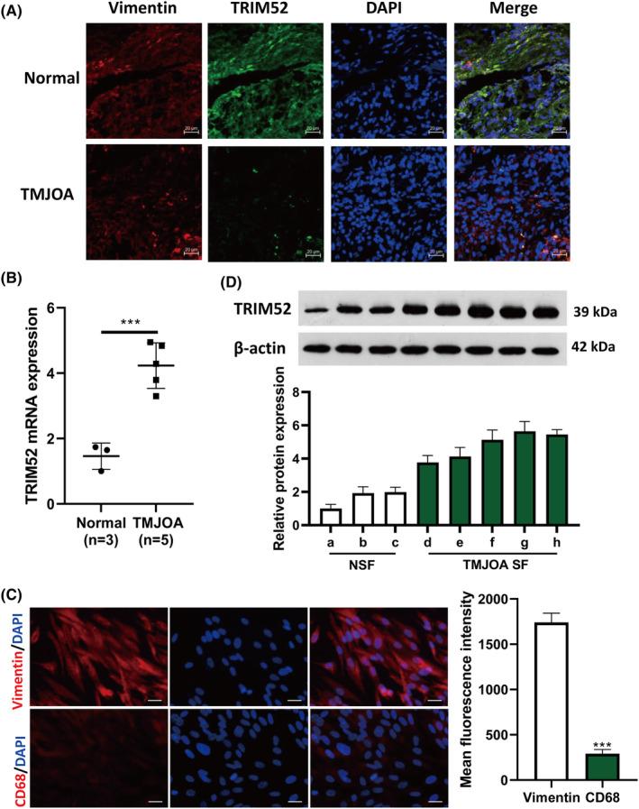
To explore the mechanism of tripartite motif 52 (TRIM52) in the progression of temporomandibular joint osteoarthritis (TMJOA). Gene and protein expression were tested by quantitative real-time polymerase chain reaction and western blot, respectively. The levels of pro-inflammatory cytokines and oxidative stress factors were evaluated using enzyme-linked immunosorbent assay and biochemical kit, respectively. Cell counting kit-8 and 5-ethynyl-2'-deoxyuridine assays were carried out to assess cell proliferation. Immunofluorescence was used to detect the expression of CD68 and Vimentin in primary synovial fibroblasts (SFs). Haematoxylin and eosin staining and Safranin O/Fast green were used to evaluate the pathological damage of synovial and cartilage tissue in rats. TRIM52 was upregulated in the synovial tissue and SFs in patients with TMJOA. Interleukin (IL)-1β treatment upregulated TRIM52 expression in TMJOA SFs and normal SF (NSF), promoting cell proliferation, inflammatory response and oxidative stress in NSF, SFs. Silence of TRIM52 relieved the cell proliferation, inflammatory response and oxidative stress induced by IL-1β in SFs, while overexpression of TRIM52 enhanced IL-1β induction. Meanwhile, IL-1β induction activated toll-like receptor 4 (TLR4)/nuclear factor (NF)-κB pathway, which was augmented by upregulation of TRIM52 in NSF, and was attenuated by TRIM52 knockdown in SFs. Besides, pyrrolidinedithiocarbamic acid ameliorated IL-1β-induced proliferation and inflammatory response by inhibiting TLR4/NF-κB signalling. Meanwhile, TRIM52 knockdown inhibited cell proliferation, oxidative stress and inflammatory response in IL-1β-induced SFs through downregulation of TLR4. TRIM52 promoted cell proliferation, inflammatory response, and oxidative stress in IL-1β-induced SFs. The above functions were mediated by the activation of TLR4/NF- κB signal pathway.

摘要

探讨三结构域蛋白 52(TRIM52)在颞下颌关节骨关节炎(TMJOA)进展中的作用机制。分别采用实时定量聚合酶链反应和蛋白质印迹法检测基因和蛋白质的表达。采用酶联免疫吸附试验和生化试剂盒分别评估促炎细胞因子和氧化应激因子的水平。通过细胞计数试剂盒-8 和 5-乙炔基-2'-脱氧尿苷检测来评估细胞增殖。免疫荧光法检测原代滑膜成纤维细胞(SFs)中 CD68 和波形蛋白的表达。苏木精和伊红染色和番红 O/快绿染色用于评估大鼠滑膜和软骨组织的病理损伤。TRIM52 在 TMJOA 患者的滑膜组织和 SFs 中上调。IL-1β处理上调 TMJOA SFs 和正常 SF(NSF)中的 TRIM52 表达,促进 NSF、SFs 中的细胞增殖、炎症反应和氧化应激。沉默 TRIM52 可缓解 SFs 中由 IL-1β引起的细胞增殖、炎症反应和氧化应激,而过表达 TRIM52 则增强了 IL-1β的诱导作用。同时,IL-1β诱导激活了 TLR4/核因子(NF)-κB 通路,TRIM52 在 NSF 中的上调增强了该通路,而在 SFs 中的下调则减弱了该通路。此外,吡咯烷二硫代氨基甲酸盐通过抑制 TLR4/NF-κB 信号通路改善了 IL-1β诱导的增殖和炎症反应。同时,TRIM52 敲低抑制了 IL-1β诱导的 SFs 中的细胞增殖、氧化应激和炎症反应,通过下调 TLR4。TRIM52 促进了 IL-1β诱导的 SFs 中的细胞增殖、炎症反应和氧化应激。上述功能是通过激活 TLR4/NF-κB 信号通路介导的。

https://cdn.ncbi.nlm.nih.gov/pmc/blobs/5cc3/10960171/2f3e66a0b1fd/JCMM-28-e18244-g004.jpg
https://cdn.ncbi.nlm.nih.gov/pmc/blobs/5cc3/10960171/7a13b7dce229/JCMM-28-e18244-g003.jpg
https://cdn.ncbi.nlm.nih.gov/pmc/blobs/5cc3/10960171/f724f1f1b05b/JCMM-28-e18244-g001.jpg
https://cdn.ncbi.nlm.nih.gov/pmc/blobs/5cc3/10960171/718106803404/JCMM-28-e18244-g007.jpg
https://cdn.ncbi.nlm.nih.gov/pmc/blobs/5cc3/10960171/994ffd5b0bce/JCMM-28-e18244-g006.jpg
https://cdn.ncbi.nlm.nih.gov/pmc/blobs/5cc3/10960171/0dc106f944b4/JCMM-28-e18244-g005.jpg
https://cdn.ncbi.nlm.nih.gov/pmc/blobs/5cc3/10960171/2f23f5a68d37/JCMM-28-e18244-g002.jpg
https://cdn.ncbi.nlm.nih.gov/pmc/blobs/5cc3/10960171/2f3e66a0b1fd/JCMM-28-e18244-g004.jpg
https://cdn.ncbi.nlm.nih.gov/pmc/blobs/5cc3/10960171/7a13b7dce229/JCMM-28-e18244-g003.jpg
https://cdn.ncbi.nlm.nih.gov/pmc/blobs/5cc3/10960171/f724f1f1b05b/JCMM-28-e18244-g001.jpg
https://cdn.ncbi.nlm.nih.gov/pmc/blobs/5cc3/10960171/718106803404/JCMM-28-e18244-g007.jpg
https://cdn.ncbi.nlm.nih.gov/pmc/blobs/5cc3/10960171/994ffd5b0bce/JCMM-28-e18244-g006.jpg
https://cdn.ncbi.nlm.nih.gov/pmc/blobs/5cc3/10960171/0dc106f944b4/JCMM-28-e18244-g005.jpg
https://cdn.ncbi.nlm.nih.gov/pmc/blobs/5cc3/10960171/2f23f5a68d37/JCMM-28-e18244-g002.jpg
https://cdn.ncbi.nlm.nih.gov/pmc/blobs/5cc3/10960171/2f3e66a0b1fd/JCMM-28-e18244-g004.jpg

相似文献

1
TRIM52 knockdown inhibits proliferation, inflammatory responses and oxidative stress in IL-1β-induced synovial fibroblasts to alleviate temporomandibular joint osteoarthritis.TRIM52 敲低抑制 IL-1β诱导的滑膜成纤维细胞增殖、炎症反应和氧化应激,缓解颞下颌关节骨关节炎。
J Cell Mol Med. 2024 Apr;28(8):e18244. doi: 10.1111/jcmm.18244.
2
[miR-515-5p targeting Toll-like receptor 4 regulates myeloid differentiation primary response gene 88/nuclear factor-kappa B pathway to inhibit apoptosis and inflammatory response of osteoarthritis chondrocytes].[靶向Toll样受体4的miR-515-5p调控髓样分化初级反应基因88/核因子-κB通路以抑制骨关节炎软骨细胞的凋亡和炎症反应]
Zhongguo Xiu Fu Chong Jian Wai Ke Za Zhi. 2024 Mar 15;38(3):315-323. doi: 10.7507/1002-1892.202312091.
3
TRIM52 aggravated inflammation and pyroptosis in dextran sulfate sodium-induced inflammatory bowel disease through activation of the TLR4/NF-κBs pathway.TRIM52 通过激活 TLR4/NF-κBs 通路加重葡聚糖硫酸钠诱导的炎症性肠病中的炎症和焦亡。
Allergol Immunopathol (Madr). 2023 Jan 1;51(1):159-167. doi: 10.15586/aei.v51i1.737. eCollection 2023.
4
Knockdown of TRIM52 alleviates LPS-induced inflammatory injury in human periodontal ligament cells through the TLR4/NF-κB pathway.TRIM52 的敲低通过 TLR4/NF-κB 通路减轻 LPS 诱导的人牙周膜细胞炎症损伤。
Biosci Rep. 2020 Aug 28;40(8). doi: 10.1042/BSR20201223.
5
[Ligusticum cycloprolactam inhibits IL-1β-induced apoptosis and inflammation of rat chondrocytes via HMGB1/TLR4/NF-κB signaling pathway].[环丙基内酰胺川芎抑制大鼠软骨细胞中白细胞介素-1β诱导的细胞凋亡和炎症,通过高迁移率族蛋白B1/ Toll样受体4/核因子κB信号通路]
Zhongguo Zhong Yao Za Zhi. 2024 Feb;49(4):1007-1016. doi: 10.19540/j.cnki.cjcmm.20230904.401.
6
Inhibition of HMGB1 suppresses inflammation and catabolism in temporomandibular joint osteoarthritis <em>via</em> NF-κB signaling pathway.高迁移率族蛋白 B1 的抑制通过 NF-κB 信号通路抑制颞下颌关节骨关节炎的炎症和分解代谢。
Eur J Histochem. 2022 Jun 21;66(3):3357. doi: 10.4081/ejh.2022.3357.
7
TLR4 contributes to the damage of cartilage and subchondral bone in discectomy-induced TMJOA mice.TLR4 促进椎间盘切除术诱导的 TMJOA 小鼠软骨和软骨下骨损伤。
J Cell Mol Med. 2020 Oct;24(19):11489-11499. doi: 10.1111/jcmm.15763. Epub 2020 Sep 11.
8
HDAC10 upregulation contributes to interleukin 1β-mediated inflammatory activation of synovium-derived mesenchymal stem cells in temporomandibular joint.HDAC10 的上调促进了颞下颌关节滑膜间充质干细胞中白细胞介素 1β 介导的炎症激活。
J Cell Physiol. 2019 Aug;234(8):12646-12662. doi: 10.1002/jcp.27873. Epub 2018 Dec 4.
9
Elevated leptin levels in temporomandibular joint osteoarthritis promote proinflammatory cytokine IL-6 expression in synovial fibroblasts.颞下颌关节骨关节炎患者的瘦素水平升高可促进滑液成纤维细胞中促炎细胞因子 IL-6 的表达。
J Oral Pathol Med. 2019 Mar;48(3):251-259. doi: 10.1111/jop.12819. Epub 2019 Jan 18.
10
[Mechanism of electroacupuncture penetration needling for relieving synovial inflammation of knee osteoarthritis through TLR4/MyD88/NF-κB signal pathway].[电针透刺通过TLR4/MyD88/NF-κB信号通路缓解膝骨关节炎滑膜炎症的机制]
Zhen Ci Yan Jiu. 2023 Apr 25;48(4):353-8. doi: 10.13702/j.1000-0607.20220418.

引用本文的文献

1
TRIM52 maintains cellular fitness and is under tight proteolytic control by multiple giant E3 ligases.TRIM52维持细胞健康,并受到多种大型E3连接酶的严格蛋白水解调控。
Nat Commun. 2025 Apr 24;16(1):3894. doi: 10.1038/s41467-025-59129-y.
2
Loss of SCRG1 in chondrocytes inhibits osteoarthritis by promoting autophagy activity in the temporomandibular joint through inhibition of neurokine receptors.软骨细胞中SCRG1的缺失通过抑制神经因子受体来促进颞下颌关节中的自噬活性,从而抑制骨关节炎。
J Oral Facial Pain Headache. 2025 Mar;39(1):196-203. doi: 10.22514/jofph.2025.020. Epub 2025 Mar 12.
3
Exosomes in cartilage microenvironment regulation and cartilage repair.

本文引用的文献

1
Cerium oxide nanoparticles protect against chondrocytes and cartilage explants from oxidative stress Nrf2/HO-1 pathway in temporomandibular joint osteoarthritis.氧化铈纳米颗粒通过Nrf2/HO-1途径保护颞下颌关节骨关节炎中的软骨细胞和软骨外植体免受氧化应激。
Front Bioeng Biotechnol. 2023 Feb 3;11:1076240. doi: 10.3389/fbioe.2023.1076240. eCollection 2023.
2
Hydrogen peroxide-induced oxidative stress promotes expression of CXCL15/Lungkine mRNA in a MEK/ERK-dependent manner in fibroblast-like synoviocytes derived from mouse temporomandibular joint.过氧化氢诱导的氧化应激以MEK/ERK依赖性方式促进源自小鼠颞下颌关节的成纤维样滑膜细胞中CXCL15/Lungkine mRNA的表达。
J Oral Biosci. 2023 Mar;65(1):97-103. doi: 10.1016/j.job.2022.12.002. Epub 2022 Dec 28.
3
软骨微环境调节与软骨修复中的外泌体
Front Cell Dev Biol. 2025 Mar 5;13:1460416. doi: 10.3389/fcell.2025.1460416. eCollection 2025.
Glycyrrhizin regulates rat TMJOA progression by inhibiting the HMGB1-RAGE/TLR4-NF-κB/AKT pathway.甘草酸通过抑制 HMGB1-RAGE/TLR4-NF-κB/AKT 通路调节大鼠 TMJOA 的进展。
J Cell Mol Med. 2022 Feb;26(3):925-936. doi: 10.1111/jcmm.17149. Epub 2021 Dec 24.
4
TRIM Proteins in Inflammation: from Expression to Emerging Regulatory Mechanisms.TRIM 蛋白在炎症中的作用:从表达到新兴的调控机制。
Inflammation. 2021 Jun;44(3):811-820. doi: 10.1007/s10753-020-01394-8. Epub 2021 Jan 7.
5
TRIM proteins in lung cancer: Mechanisms, biomarkers and therapeutic targets.TRIM 蛋白在肺癌中的作用机制、生物标志物和治疗靶点。
Life Sci. 2021 Mar 1;268:118985. doi: 10.1016/j.lfs.2020.118985. Epub 2021 Jan 4.
6
TLR4 contributes to the damage of cartilage and subchondral bone in discectomy-induced TMJOA mice.TLR4 促进椎间盘切除术诱导的 TMJOA 小鼠软骨和软骨下骨损伤。
J Cell Mol Med. 2020 Oct;24(19):11489-11499. doi: 10.1111/jcmm.15763. Epub 2020 Sep 11.
7
AHNAK2 Is Associated with Poor Prognosis and Cell Migration in Lung Adenocarcinoma.AHNAK2 与肺腺癌不良预后和细胞迁移相关。
Biomed Res Int. 2020 Aug 20;2020:8571932. doi: 10.1155/2020/8571932. eCollection 2020.
8
TRIM52 positively mediates NF-κB to promote the growth of human benign prostatic hyperplasia cells through affecting TRAF2 ubiquitination.TRIM52 通过影响 TRAF2 泛素化来正向调节 NF-κB,从而促进人良性前列腺增生细胞的生长。
Life Sci. 2020 Oct 15;259:118380. doi: 10.1016/j.lfs.2020.118380. Epub 2020 Sep 6.
9
Knockdown of TRIM52 alleviates LPS-induced inflammatory injury in human periodontal ligament cells through the TLR4/NF-κB pathway.TRIM52 的敲低通过 TLR4/NF-κB 通路减轻 LPS 诱导的人牙周膜细胞炎症损伤。
Biosci Rep. 2020 Aug 28;40(8). doi: 10.1042/BSR20201223.
10
Interdisciplinary Approach to the Temporomandibular Joint Osteoarthritis-Review of the Literature.跨学科方法治疗颞下颌关节骨关节炎——文献综述。
Medicina (Kaunas). 2020 May 9;56(5):225. doi: 10.3390/medicina56050225.