Suppr超能文献

罗马尼亚东北部眼部黑色素瘤的流行病学和组织病理学特征。

Epidemiological and histopathological aspects of ocular melanomas in Northeastern Romania.

机构信息

Department of Biomedical Sciences, Faculty of Medicine and Biological Sciences, Ştefan cel Mare University of Suceava, Romania; 2nd Neurosurgery Clinic, Prof. Dr. Nicolae Oblu Emergency Clinical Hospital, Iaşi, Romania;

出版信息

Rom J Morphol Embryol. 2024 Jan-Mar;65(1):35-44. doi: 10.47162/RJME.65.1.05.

Abstract

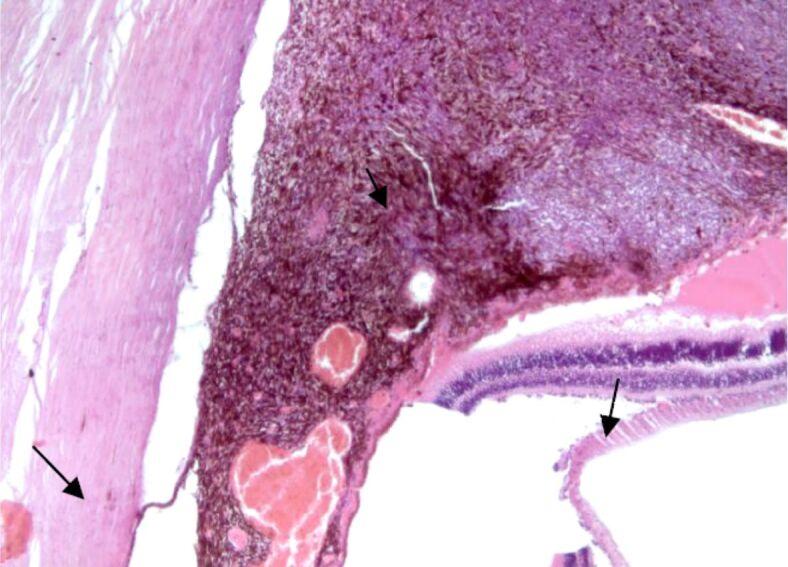
Ocular melanoma is a rare but complex disease in current medical practice. Our retrospective study spans over a period of 28 years and analyzed uveal and conjunctival melanomas that were consecutively admitted, diagnosed, and treated in the 2nd Ophthalmology Clinic of Prof. Dr. Nicolae Oblu Emergency Clinical Hospital, Iaşi, Romania. The patients were selected from the records of the Department of Pathology of our Hospital, being diagnosed by standard histopathological techniques. The aim of this study was to summarize the epidemiological and pathological aspects of uveal and conjunctival melanomas in Northeastern region of Romania. In our study, we did not notice a predilection of uveal and conjunctival melanoma to one particular gender. The most common histological subtypes of ocular melanomas were the heavily pigmented spindle cell subtype, followed by the epithelioid subtype. Our patients sought medical help in a timely manner, before the systemic invasion of the disease could develop.

摘要

在当前的医学实践中,眼黑色素瘤是一种罕见但复杂的疾病。我们的回顾性研究跨越了 28 年的时间,分析了在罗马尼亚雅西的尼古拉·奥布卢教授急诊临床医院第 2 眼科诊所连续收治、诊断和治疗的葡萄膜和结膜黑色素瘤。这些患者是从我们医院病理科的记录中选择的,通过标准的组织病理学技术进行诊断。本研究的目的是总结罗马尼亚东北部葡萄膜和结膜黑色素瘤的流行病学和病理学特征。在我们的研究中,我们没有注意到葡萄膜和结膜黑色素瘤对某一特定性别的偏好。眼部黑色素瘤最常见的组织学亚型是高度色素化的梭形细胞亚型,其次是上皮样亚型。我们的患者在疾病发生全身侵袭之前及时寻求了医疗帮助。

https://cdn.ncbi.nlm.nih.gov/pmc/blobs/df33/11146456/54644aa331d1/RJME-65-1-35-fig1.jpg

文献检索

告别复杂PubMed语法,用中文像聊天一样搜索,搜遍4000万医学文献。AI智能推荐,让科研检索更轻松。

立即免费搜索

文件翻译

保留排版,准确专业,支持PDF/Word/PPT等文件格式,支持 12+语言互译。

免费翻译文档

深度研究

AI帮你快速写综述,25分钟生成高质量综述,智能提取关键信息,辅助科研写作。

立即免费体验