Suppr超能文献

三磷酸腺苷释放通道与高强度间歇训练对糖尿病心脏的改善作用:多方面分析。

ATP releasing channels and the ameliorative effects of high intensity interval training on diabetic heart: a multifaceted analysis.

机构信息

Department of Physiology and Pharmacology, Afzalipour Medical Faculty, Kerman University of Medical Sciences, Kerman, Iran.

Neuroscience Research Center, Institute of Neuropharmacology, Kerman University of Medical Sciences, Kerman, Iran.

出版信息

Sci Rep. 2024 Mar 26;14(1):7113. doi: 10.1038/s41598-024-57818-0.

Abstract

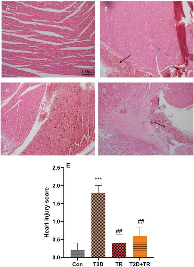
Type 2 diabetes (T2D) can cause severe cardiac complications at functional, histologic and molecular levels. These pathological complications could be mediated by ATP-releasing channels such as Panx1 and ATP receptors, in particular P2X7. The aim of our study was to investigate the effect of high-intensity interval training (HIIT) on T2D-induced cardiac complications at the functional, histopathological and molecular levels, with a particular focus on ATP-releasing channels. 48 male Wistar rats at the age of 8 weeks were randomly allocated into four groups: control (Con), Diabetes (T2D), Training (TR), and Diabetes + Training (T2D + TR). T2D was induced by a high-fat diet plus a low dose (35 mg/kg) of STZ administration. Rats in the TR and T2D + TR groups underwent an 8-weeks training program involving intervals ranging from 80 to 100% of their maximum running speed (Vmax), with 4-10 intervals per session. Protein expression of Interleukin 1β (IL1β), Interleukin 10 (IL-10), Pannexin 1 (Panx1), P2X7R (purinergic P2X receptor 7), NLRP1 (NLR Family Pyrin Domain Containing 1), BAX, and Bcl2 were measured in the heart tissue. Additionally, we assessed heart function, histopathological changes, as well as insulin resistance using the homeostasis model assessment of insulin resistance (HOMA-IR). In contrast to the T2D group, HIIT led to increased protein expression of Bcl2 and IL-10 in the heart. It also resulted in improvements in systolic and diastolic blood pressures, heart rate, ± dp/dt (maximum and minimum changes in left ventricular pressure), while reducing protein expression of IL-1β, Panx1, P2X7R, NLRP1, and BAX levels in the heart. Furthermore, left ventricular diastolic pressure (LVDP) was reduced (P ≤ 0.05). Moreover, heart lesion scores increased with T2D but decreased with HIIT, along with a reduction in fibrosis percentage (P ≤ 0.05). The results of this study suggest that the cardioprotective effects of HIIT on the diabetic heart may be mediated by the modulation of ATP-releasing channels. This modulation may lead to a reduction in inflammation and apoptosis, improve cardiac function, and attenuate cardiac injury and fibrosis.

摘要

2 型糖尿病(T2D)可在功能、组织学和分子水平上导致严重的心脏并发症。这些病理并发症可能通过 ATP 释放通道介导,如 Panx1 和 ATP 受体,特别是 P2X7。我们的研究目的是探讨高强度间歇训练(HIIT)对 T2D 诱导的心脏并发症的影响,特别是对 ATP 释放通道的影响。48 只 8 周龄雄性 Wistar 大鼠随机分为四组:对照组(Con)、糖尿病组(T2D)、训练组(TR)和糖尿病+训练组(T2D+TR)。T2D 通过高脂肪饮食加低剂量(35mg/kg)STZ 给药诱导。TR 和 T2D+TR 组进行了 8 周的训练计划,包括从最大跑步速度的 80%到 100%的间隔,每个训练间隔 4-10 次。测量心脏组织中白细胞介素 1β(IL1β)、白细胞介素 10(IL-10)、连接蛋白 1(Panx1)、嘌呤能 P2X 受体 7(P2X7R)、NLR 家族吡喃域包含蛋白 1(NLRP1)、BAX 和 Bcl2 的蛋白表达。此外,我们使用胰岛素抵抗稳态模型评估(HOMA-IR)评估心脏功能、组织病理学变化和胰岛素抵抗。与 T2D 组相比,HIIT 导致心脏中 Bcl2 和 IL-10 的蛋白表达增加。它还改善了收缩压和舒张压、心率、±dp/dt(左心室压力的最大和最小变化),同时降低了心脏中 IL-1β、Panx1、P2X7R、NLRP1 和 BAX 的蛋白表达水平。此外,左心室舒张压(LVDP)降低(P≤0.05)。此外,随着 T2D 的增加,心脏病变评分增加,但随着 HIIT 的增加而降低,纤维化百分比降低(P≤0.05)。这项研究的结果表明,HIIT 对糖尿病心脏的心脏保护作用可能是通过调节 ATP 释放通道介导的。这种调节可能导致炎症和细胞凋亡减少,改善心脏功能,并减轻心脏损伤和纤维化。

https://cdn.ncbi.nlm.nih.gov/pmc/blobs/a0c4/10965991/12bc2dd9b7ba/41598_2024_57818_Fig1_HTML.jpg

文献AI研究员

20分钟写一篇综述,助力文献阅读效率提升50倍。

立即体验

用中文搜PubMed

大模型驱动的PubMed中文搜索引擎

马上搜索

文档翻译

学术文献翻译模型,支持多种主流文档格式。

立即体验