Suppr超能文献

海葵两种形态型之间毒液系统的比较分析

A Comparative Analysis of the Venom System between Two Morphotypes of the Sea Anemone .

作者信息

Alcaide Maria, Moutinho Cabral Inês, Carvalho Lara, Mendes Vera M, Alves de Matos António P, Manadas Bruno, Saúde Leonor, D'Ambrosio Mariaelena, Costa Pedro M

机构信息

Associate Laboratory i4HB, Institute for Health and Bioeconomy, NOVA School of Science and Technology, NOVA University of Lisbon, 2829-516 Caparica, Portugal.

UCIBIO-Applied Molecular Biosciences Unit, Department of Life Sciences, NOVA School of Science and Technology, NOVA University of Lisbon, 2829-516 Caparica, Portugal.

出版信息

Animals (Basel). 2024 Mar 21;14(6):981. doi: 10.3390/ani14060981.

Abstract

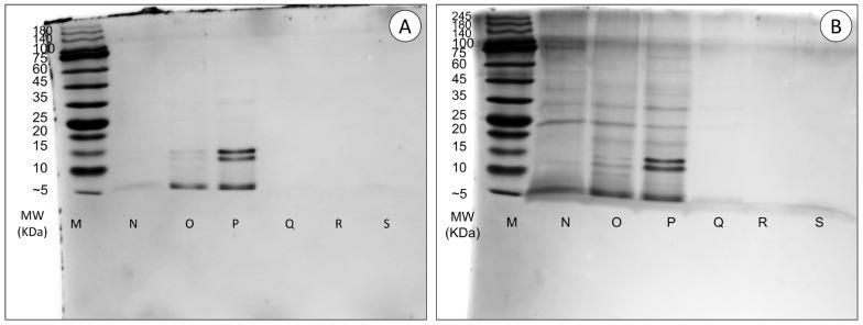
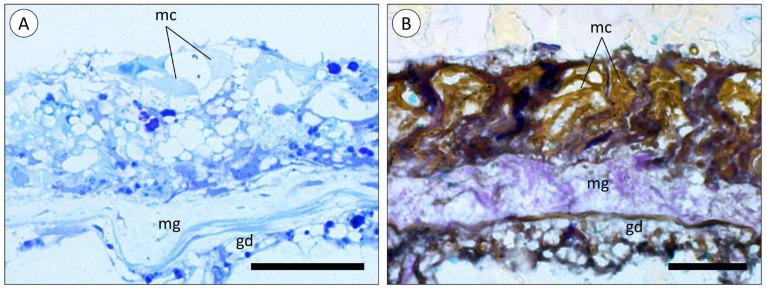
The current study investigates the venom-delivery system of green and red morphotypes of the sea anemone to disclose its potential as a source of bioactive compounds. We compared the two morphotypes using electron and optical microscopy, proteomics, and toxicity assessment on zebrafish embryos. Specialized venom-injecting cells (nematocysts) are equally distributed and found in the tentacles of both varieties. Proteomics revealed proteins of interest in both red and green , yielding the three most abundant Gene Ontology (GO) terms related to the biological processes "proteolysis", "hemolysis in another organism" and "lipid catabolic process". Neurotoxins and cytolytic toxins similar to known cnidarian toxins like PsTX-60A and AvTX-60A, for instance, were identified in both types. Extracts from green and red anemones were toxic to zebrafish embryos, with green anemone venom appearing to be more potent. The findings highlight the presence of proteinaceous toxins in and the potential for different varieties to possess distinct bioactive compounds. Notably, pore-forming toxins are suggested for molecular probes and immunotoxins, making them valuable assets for potential biotechnological and biomedical purposes.

摘要

当前的研究调查了海葵绿色和红色形态型的毒液输送系统,以揭示其作为生物活性化合物来源的潜力。我们使用电子显微镜、光学显微镜、蛋白质组学以及对斑马鱼胚胎的毒性评估来比较这两种形态型。专门的毒液注射细胞(刺细胞)在两个品种的触手中分布均匀且均可找到。蛋白质组学揭示了红色和绿色形态型中均存在感兴趣的蛋白质,产生了与生物过程“蛋白水解”、“在其他生物体中的溶血”和“脂质分解代谢过程”相关的三个最丰富的基因本体(GO)术语。例如,在两种类型中都鉴定出了与已知刺胞动物毒素如PsTX - 60A和AvTX - 60A相似的神经毒素和细胞溶解毒素。绿色和红色海葵的提取物对斑马鱼胚胎有毒,绿色海葵毒液似乎更具毒性。这些发现突出了海葵中蛋白质毒素的存在以及不同品种拥有独特生物活性化合物的潜力。值得注意的是,成孔毒素被建议用于分子探针和免疫毒素,使其成为潜在生物技术和生物医学用途的宝贵资产。

https://cdn.ncbi.nlm.nih.gov/pmc/blobs/a4fb/10967595/5ee3a1e671bc/animals-14-00981-g001.jpg

文献AI研究员

20分钟写一篇综述,助力文献阅读效率提升50倍。

立即体验

用中文搜PubMed

大模型驱动的PubMed中文搜索引擎

马上搜索

文档翻译

学术文献翻译模型,支持多种主流文档格式。

立即体验