Suppr超能文献

一例根治性手术后出现假性囊肿的胰腺腺鳞癌病例。

A case of pancreatic adenosquamous cell carcinoma with a pseudocyst following curative surgery.

作者信息

Kitasaki Nao, Abe Tomoyuki, Inoue Masashi, Teshima Marino, Nakagawa Masataka, Kochi Masatoshi, Hotta Ryuichi, Toyota Kazuhiro

机构信息

Higashihiroshima Medical Center, National Hospital Organization, Higashihiroshima, Japan.

出版信息

Surg Case Rep. 2024 Apr 1;10(1):74. doi: 10.1186/s40792-024-01868-z.

Abstract

BACKGROUND

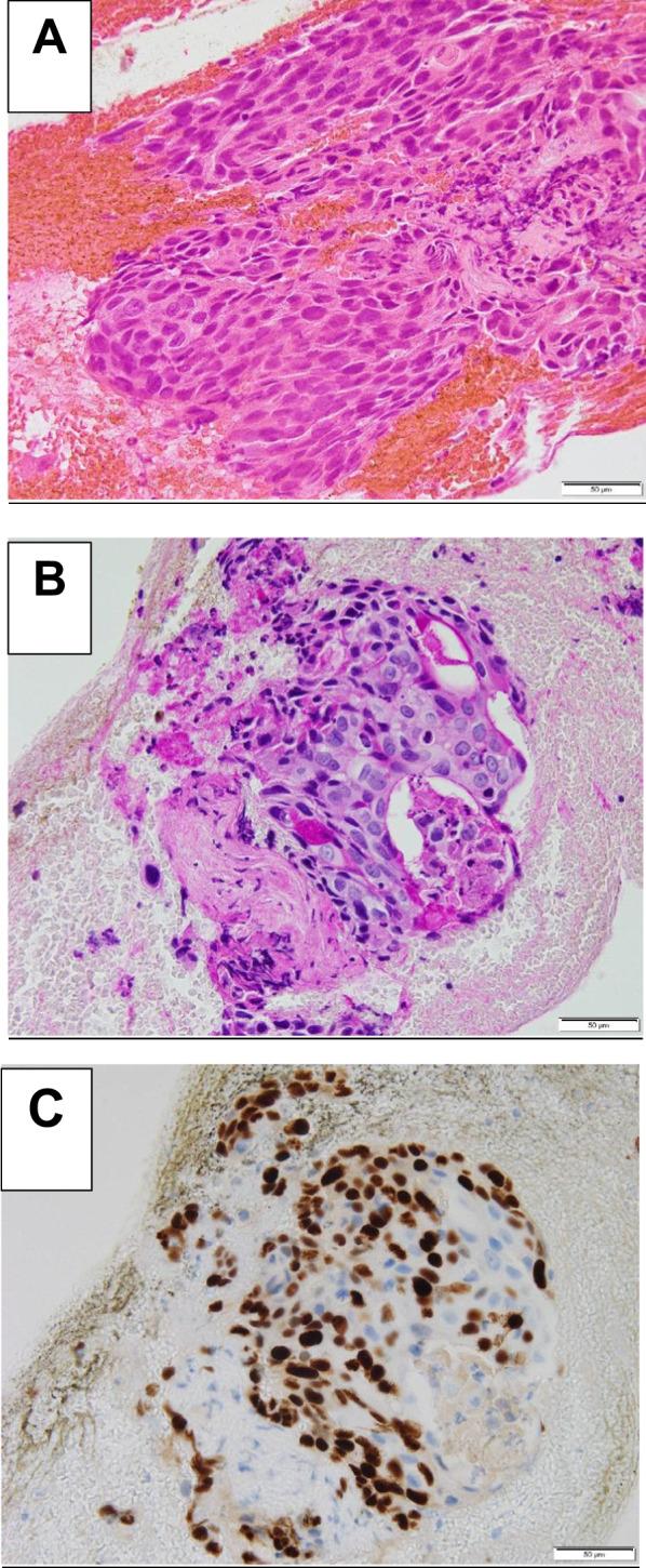
Pancreatic adenosquamous cell carcinoma (PASC) is a relatively rare histological type of pancreatic malignancy, and preoperative diagnosis is difficult because of its rarity. PASC accounts for 1-4% of all pancreatic cancers, and even after curative surgery, its prognosis is poorer than that of ordinary pancreatic adenocarcinoma. Pathologically, it shows glandular and squamous differentiation of cells. Complete resection is the only method to achieve a good long-term prognosis, and an increasing doubling time of PASC is considered to indicate early recurrence after surgery. Here, we report a rare case of PASC with an infected pancreatic cyst that was difficult to treat, along with a review of the literature.

CASE PRESENTATION

A woman in her 80s with a history of breast cancer presented with pericardial pain. Computed tomography revealed a 20-mm hypovascular tumor in the body of the pancreas and a 27-mm pseudocyst. Endoscopic retrograde cholangiopancreatography showed a severe main pancreatic duct stenosis in the body of the pancreas that made cannulation impossible, and contrast media extravasation was due to pancreatic duct disruption in the pancreatic tail. Endoscopic fine-needle aspiration revealed that the tumor was a PASC. Because the patient had an infected pancreatic cyst, central intravenous nutrition and antibiotics were administered, which stabilized her general condition. She was diagnosed with resectable PASC and underwent distal pancreatectomy with lymphadenectomy. The postoperative course was uneventful. Immunohistochemical analysis of the resected specimen confirmed T2N0M0 stage IB. Systemic adjuvant chemotherapy with S-1 is ongoing.

CONCLUSION

Appropriate preoperative management and preoperative accurate staging (T2N0M0 stage IB) of PASC with curative surgery can ensure predictable outcomes.

摘要

背景

胰腺腺鳞癌(PASC)是一种相对罕见的胰腺恶性肿瘤组织学类型,因其罕见性,术前诊断困难。PASC占所有胰腺癌的1%-4%,即使在根治性手术后,其预后也比普通胰腺腺癌差。病理上,它表现为细胞的腺性和鳞状分化。完整切除是实现良好长期预后的唯一方法,PASC倍增时间增加被认为表明术后早期复发。在此,我们报告一例伴有感染性胰腺囊肿且难以治疗的罕见PASC病例,并对文献进行综述。

病例介绍

一名80多岁有乳腺癌病史的女性出现心包疼痛。计算机断层扫描显示胰腺体部有一个20毫米的低血供肿瘤和一个27毫米的假性囊肿。内镜逆行胰胆管造影显示胰腺体部主胰管严重狭窄,无法插管,胰尾造影剂外渗是由于胰管破裂所致。内镜细针穿刺显示肿瘤为PASC。由于患者有感染性胰腺囊肿,给予中心静脉营养和抗生素治疗,使其一般状况稳定。她被诊断为可切除的PASC,并接受了远端胰腺切除术和淋巴结清扫术。术后过程顺利。切除标本的免疫组织化学分析证实为T2N0M0 ⅠB期。正在进行S-1全身辅助化疗。

结论

对PASC进行适当的术前管理和术前准确分期(T2N0M0 ⅠB期)并进行根治性手术可确保可预测结果。

https://cdn.ncbi.nlm.nih.gov/pmc/blobs/4169/10984911/582d94d5193f/40792_2024_1868_Fig1_HTML.jpg

文献AI研究员

20分钟写一篇综述,助力文献阅读效率提升50倍。

立即体验

用中文搜PubMed

大模型驱动的PubMed中文搜索引擎

马上搜索

文档翻译

学术文献翻译模型,支持多种主流文档格式。

立即体验