Suppr超能文献

激光引导与徒手钩丝法在 CT 引导下肺结节术前定位中的比较。

Comparison of laser guidance and freehand hook-wire for CT-guided preoperative localization of pulmonary nodules.

机构信息

Department of Thoracic Surgery, The First Affiliated Hospital of Soochow University, Medical College of Soochow University, Suzhou, 215000, China.

Institute of Thoracic Surgery, The First Affiliated Hospital of Soochow University, Suzhou, China.

出版信息

J Cardiothorac Surg. 2024 Apr 5;19(1):182. doi: 10.1186/s13019-024-02706-x.

Abstract

PURPOSE

In VATS surgery, precise preoperative localization is particularly crucial when dealing with small-diameter pulmonary nodules located deep within the lung parenchyma. The purpose of this study was to compare the efficacy and safety of laser guidance and freehand hook-wire for CT-guided preoperative localization of pulmonary nodules.

METHODS

This retrospective study was conducted on 164 patients who received either laser guidance or freehand hook-wire localization prior to Uni-port VATS from September 1st, 2022 to September 30th, 2023 at The First Affiliated Hospital of Soochow University. Patients were divided into laser guidance group and freehand group based on which technology was used. Preoperative localization data from all patients were compiled. The localization success and complication rates associated with the two groups were compared. The risk factors for common complications were analyzed.

RESULTS

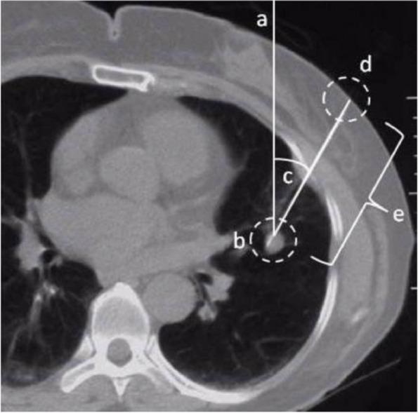
The average time of the localization duration in the laser guidance group was shorter than the freehand group (p<0.001), and the average CT scan times in the laser guidance group was less than that in the freehand group (p<0.001). The hook-wire was closer to the nodule in the laser guidance group (p<0.001). After the localization of pulmonary nodules, a CT scan showed 14 cases of minor pneumothorax (22.58%) in the laser guidance group and 21 cases (20.59%) in the freehand group, indicating no statistical difference between the two groups (p=0.763). CT scans in the laser guidance group showed pulmonary minor hemorrhage in 8 cases (12.90%) and 6 cases (5.88%) in the freehand group, indicating no statistically significant difference between the two groups (p=0.119). Three patients (4.84%) in the laser guidance group and six patients (5.88%) in the freehand group had hook-wire dislodgement, showing no statistical difference between the two groups (p=0.776).

CONCLUSION

The laser guidance localization method possessed a greater precision and less localization duration and CT scan times compared to the freehand method. However, laser guidance group and freehand group do not differ in the appearance of complications such as pulmonary hemorrhage, pneumothorax and hook-wire dislodgement.

摘要

目的

在电视辅助胸腔镜手术中,对于位于肺实质深处的小直径肺结节,精确的术前定位尤为重要。本研究旨在比较激光引导和徒手钩线在 CT 引导下肺结节术前定位中的疗效和安全性。

方法

本回顾性研究纳入了 2022 年 9 月 1 日至 2023 年 9 月 30 日在苏州大学第一附属医院接受单孔胸腔镜手术的 164 例患者,根据使用的技术将患者分为激光引导组和徒手组。编译了所有患者的术前定位数据。比较两组的定位成功率和并发症发生率。分析常见并发症的危险因素。

结果

激光引导组的定位时间明显短于徒手组(p<0.001),激光引导组的平均 CT 扫描次数也少于徒手组(p<0.001)。激光引导组的钩线更接近结节(p<0.001)。肺结节定位后,激光引导组 CT 扫描显示 14 例(22.58%)轻度气胸,徒手组显示 21 例(20.59%),两组间差异无统计学意义(p=0.763)。激光引导组 CT 扫描显示 8 例(12.90%)轻度肺出血,徒手组显示 6 例(5.88%),两组间差异无统计学意义(p=0.119)。激光引导组有 3 例(4.84%)患者钩线移位,徒手组有 6 例(5.88%)患者钩线移位,两组间差异无统计学意义(p=0.776)。

结论

与徒手方法相比,激光引导定位方法具有更高的精度,且定位时间和 CT 扫描次数更少。然而,激光引导组和徒手组在肺出血、气胸和钩线移位等并发症的出现方面没有差异。

https://cdn.ncbi.nlm.nih.gov/pmc/blobs/f12e/10996078/ae5190ef5412/13019_2024_2706_Fig1_HTML.jpg

文献AI研究员

20分钟写一篇综述,助力文献阅读效率提升50倍。

立即体验

用中文搜PubMed

大模型驱动的PubMed中文搜索引擎

马上搜索

文档翻译

学术文献翻译模型,支持多种主流文档格式。

立即体验