Suppr超能文献

经巩膜切除术治疗脉络膜黑素细胞瘤1例:临床病理研究

A case of choroidal melanocytoma treated by transscleral resection: A clinicopathological study.

作者信息

Mitamura Mizuho, Kase Satoru, Suimon Yuka, Kanno-Okada Hiromi, Ishida Susumu

机构信息

Department of Ophthalmology, Faculty of Medicine and Graduate School of Medicine, Hokkaido University, Sapporo, Japan.

Department of Surgical Pathology, Hokkaido University Hospital, Japan.

出版信息

Am J Ophthalmol Case Rep. 2024 Mar 29;34:102043. doi: 10.1016/j.ajoc.2024.102043. eCollection 2024 Jun.

Abstract

PURPOSE

Choroidal melanocytoma is a rare benign melanocytic tumor. We report a case of choroidal melanocytoma that was definitively diagnosed by histopathological findings after local resection.

OBSERVATION

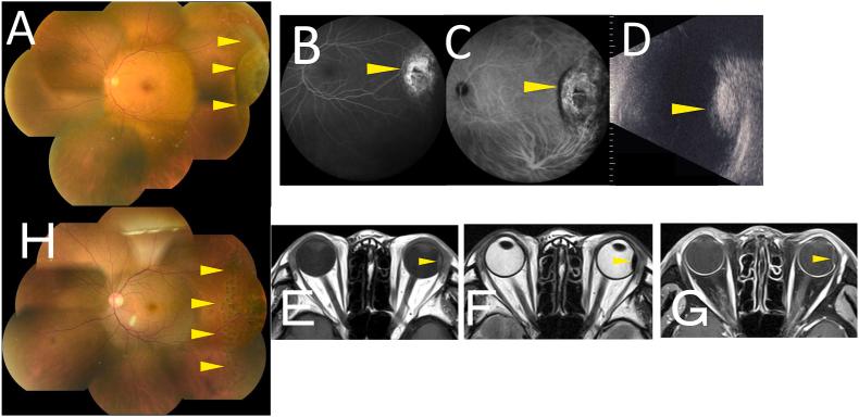
A 71-year-old female complained of blurred vision in her left eye. Her best-corrected visual acuity (BCVA) was 1.0. A dark-brown elevated lesion, measuring 5 papilla-diameter was found in the periphery of the fundus in her left eye. The mass showed hyperfluorescence on fluorescein angiography, early hypofluorescence and late hyperfluorescence on indocyanine green angiography. B-mode echography indicated the mass was originated from the choroid. Orbital magnetic resonance imaging showed isointense signal intensity on T1-weighted images (WI) and hypointense signal intensity on T2-WI, and poor Gadolinium enhancement on T1WI. The tumor was suspected to be melanocytoma, but it was difficult to differentiate from malignant melanoma. Transscleral tumor resection combined with 25-gauge vitrectomy was performed. Histopathological examinations led to the diagnosis of choroidal melanocytoma. Two years after local resection, her BCVA was 1.0 with no tumor recurrence.

CONCLUSIONS/IMPORTANCE: Local resection was useful as a diagnostic treatment for choroidal tumors confined to the periphery of the fundus that were difficult to clinically differentiate from malignant melanoma.

摘要

目的

脉络膜黑素细胞瘤是一种罕见的良性黑素细胞肿瘤。我们报告一例经局部切除后通过组织病理学检查确诊的脉络膜黑素细胞瘤病例。

观察

一名71岁女性因左眼视力模糊就诊。其最佳矫正视力(BCVA)为1.0。在其左眼眼底周边发现一个深褐色隆起病变,大小为5个视乳头直径。该肿物在荧光素血管造影上表现为高荧光,在吲哚菁绿血管造影上表现为早期低荧光和晚期高荧光。B超检查显示肿物起源于脉络膜。眼眶磁共振成像显示在T1加权像(WI)上呈等信号强度,在T2加权像上呈低信号强度,在T1加权像上钆增强不佳。该肿瘤疑似为黑素细胞瘤,但难以与恶性黑色素瘤鉴别。遂行经巩膜肿瘤切除术联合25G玻璃体切除术。组织病理学检查确诊为脉络膜黑素细胞瘤。局部切除术后两年,其BCVA为1.0,无肿瘤复发。

结论/意义:对于局限于眼底周边、临床上难以与恶性黑色素瘤鉴别的脉络膜肿瘤,局部切除作为一种诊断性治疗方法是有效的。

https://cdn.ncbi.nlm.nih.gov/pmc/blobs/ba9a/10997995/c64126505aa9/gr1.jpg

文献AI研究员

20分钟写一篇综述,助力文献阅读效率提升50倍。

立即体验

用中文搜PubMed

大模型驱动的PubMed中文搜索引擎

马上搜索

文档翻译

学术文献翻译模型,支持多种主流文档格式。

立即体验