Chen Dawei, Fu Sunya, Shen Ruiwei
Department of Gastroenterology, Ningbo Medical Center Lihuili Hospital, Ningbo, Zhejiang, P. R. China.
Department of Radiology, Ningbo Medical Center Lihuili Hospital, Ningbo, Zhejiang, P. R. China.
Gastroenterol Rep (Oxf). 2024 Apr 5;12:goae026. doi: 10.1093/gastro/goae026. eCollection 2024.
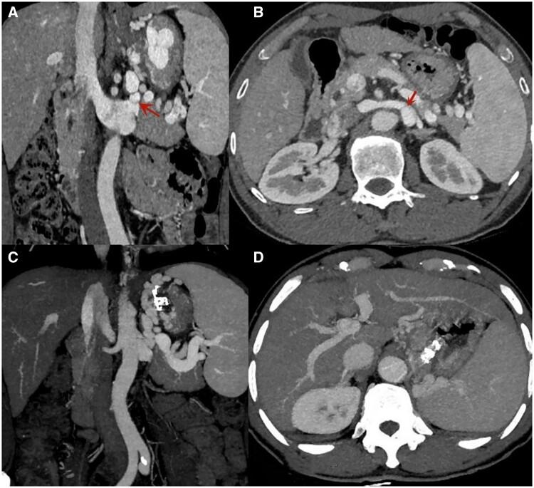
Gastric varices (GV) with spontaneous portosystemic shunts (SPSS) pose considerable risks and challenges for administering endoscopic cyanoacrylate (CYA) injection. This study aimed to evaluate the efficacy and safety of EUS-guided coil embolization in combination with CYA injection compared to conventional endoscopic CYA injection for managing GV with SPSS.
This retrospective analysis included patients with SPSS treated with either EUS-guided coil embolization in combination with CYA injection or conventional CYA injection for gastric variceal bleeding at Ningbo Medical Center Lihuili Hospital (Zhejiang, China) between January 2018 and March 2023. Patient demographics, procedural details, and follow-up results were reviewed.
The study evaluated 57 patients: 21 in the combined treatment group undergoing EUS-guided coil embolization in combination with CYA injection and 36 in the conventional group receiving conventional endoscopic CYA injection. Both cohorts achieved a 100% technical success rate. The mean volume of CYA used was significantly lower in the combined group (1.64 ± 0.67 mL) than in the conventional group (2.38 ± 0.72 mL; <0.001). Early GV rebleeding rates did not differ significantly between the groups; in contrast, the combined treatment group exhibited a considerably lower incidence of late GV rebleeding than the conventional group (4.8% 27.8%, =0.041).
EUS-guided coil embolization in combination with CYA injection demonstrated superiority over conventional endoscopic CYA injection in reducing late GV rebleeding in treating GV with SPSS.
伴有自发性门体分流(SPSS)的胃静脉曲张(GV)在进行内镜下氰基丙烯酸酯(CYA)注射时存在相当大的风险和挑战。本研究旨在评估超声内镜引导下弹簧圈栓塞联合CYA注射与传统内镜下CYA注射治疗伴有SPSS的GV的疗效和安全性。
本回顾性分析纳入了2018年1月至2023年3月期间在宁波市医疗中心李惠利医院(中国浙江)接受超声内镜引导下弹簧圈栓塞联合CYA注射或传统CYA注射治疗胃静脉曲张出血的SPSS患者。回顾了患者的人口统计学资料、手术细节和随访结果。
该研究评估了57例患者:联合治疗组21例,接受超声内镜引导下弹簧圈栓塞联合CYA注射;传统组36例,接受传统内镜下CYA注射。两组的技术成功率均为100%。联合组使用的CYA平均体积(1.64±0.67mL)显著低于传统组(2.38±0.72mL;<0.001)。两组早期GV再出血率无显著差异;相反,联合治疗组晚期GV再出血发生率显著低于传统组(4.8%对27.8%,P=0.041)。
在治疗伴有SPSS的GV时,超声内镜引导下弹簧圈栓塞联合CYA注射在降低晚期GV再出血方面优于传统内镜下CYA注射。