Camellia Research Institute, The Innovation Institute of Agricultural Technology, Department of Life Science, Shangrao Normal University, Shangrao 334001, China.
Department of Literature and Media, Shangrao Normal University, Shangrao 334001, China.
Poult Sci. 2024 Jun;103(6):103719. doi: 10.1016/j.psj.2024.103719. Epub 2024 Apr 2.
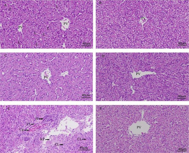
Lipopolysaccharide (LPS) from Gram-negative bacteria initially induces liver inflammation with proinflammatory cytokines expressions. However, the underlying hepatoprotective mechanism of quercetin on LPS-induced hepatic inflammation remains unclear. Specific pathogen-free chicken embryos (n = 120) were allocated control vehicle, PBS with or without ethanol vehicle, LPS (125 ng/egg) with or without quercetin treatment (10, 20, or 40 nmol/egg, respectively), quercetin groups (10, 20, or 40 nmol/egg). Fifteen-day-old embryonated eggs were inoculated abovementioned solutions via the allantoic cavity. At embryonic d 19, the livers of the embryos were collected for histopathological examination, RNA extraction, real-time polymerase chain reaction, and immunohistochemistry investigation. We found that the liver presented inflammatory response (heterophils infiltration) after LPS induction. The LPS-induced mRNA expressions of inflammation-related factors (TLR4, TNFα, IL-1β, IL-10, IL-6, MYD88, NF-κB1, p38, and MMP3) were upregulated after LPS induction when compared with the PBS group, while quercetin could downregulate these expressions as compared with the LPS group. Quercetin significantly decreased the immunopositivity to TLR4 and MMP3 in the treatment group when compared with the LPS group. Quercetin could significantly downregulate the mRNA expressions of autophagy-related genes (ATG5, ATG7, Beclin-1, LC3A, and LC3B) and necroptosis-related genes (Fas, Bcl-2, Drp1, and RIPK1) after LPS induction. Quercetin significantly decreased the immunopositivity to LC3 in the treatment group when compared with the LPS group; meanwhile, quercetin significantly decreased the protein expressions of LC3-I, LC3-II, and the rate of LC3-II/LC3-I. In conclusions, quercetin can alleviate hepatic inflammation induced by LPS through modulating autophagy and necroptosis.
脂多糖(LPS)最初从革兰氏阴性细菌诱导肝脏炎症,并伴有促炎细胞因子的表达。然而,槲皮素对 LPS 诱导的肝炎症的潜在肝保护机制尚不清楚。无特定病原体鸡胚(n = 120)分为对照组(对照载体)、PBS 组(PBS 加或不加乙醇载体)、LPS 组(125ng/卵)、LPS+槲皮素组(10、20 或 40nmol/卵)。15 日龄鸡胚通过尿囊腔接种上述溶液。在胚胎第 19 天,收集胚胎肝脏进行组织病理学检查、RNA 提取、实时聚合酶链反应和免疫组化研究。结果发现 LPS 诱导后肝脏呈现炎症反应(异嗜粒细胞浸润)。与 PBS 组相比,LPS 诱导后炎症相关因子(TLR4、TNFα、IL-1β、IL-10、IL-6、MYD88、NF-κB1、p38 和 MMP3)的 mRNA 表达上调,而槲皮素可下调 LPS 组的表达。与 LPS 组相比,槲皮素处理组 TLR4 和 MMP3 的免疫阳性率显著降低。与 LPS 组相比,槲皮素可显著下调 LPS 诱导后自噬相关基因(ATG5、ATG7、Beclin-1、LC3A 和 LC3B)和坏死相关基因(Fas、Bcl-2、Drp1 和 RIPK1)的 mRNA 表达。与 LPS 组相比,槲皮素处理组 LC3 的免疫阳性率显著降低;同时,槲皮素显著降低了 LC3-I、LC3-II 和 LC3-II/LC3-I 的蛋白表达。总之,槲皮素可以通过调节自噬和坏死来减轻 LPS 诱导的肝脏炎症。