Suppr超能文献

槲皮素通过调节鸡胚自噬、程序性细胞死亡和肠道黏膜屏障功能改善脂多糖诱导的十二指肠炎症。

Quercetin Ameliorates Lipopolysaccharide-Induced Duodenal Inflammation through Modulating Autophagy, Programmed Cell Death and Intestinal Mucosal Barrier Function in Chicken Embryos.

作者信息

Yu Jinhai, Hu Guoliang, Cao Huabin, Guo Xiaoquan

机构信息

Jiangxi Provincial Key Laboratory for Animal Health, Institute of Animal Population Health, College of Animal Science and Technology, Jiangxi Agricultural University, Nanchang 330045, China.

Department of School of Life Science, School of Life Science, Shangrao Normal University, Shangrao 334001, China.

出版信息

Animals (Basel). 2022 Dec 13;12(24):3524. doi: 10.3390/ani12243524.

Abstract

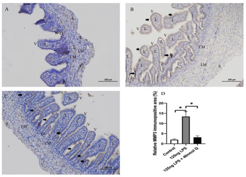
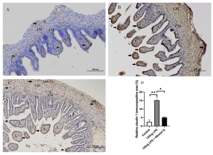
Diarrhea has been a global health problem for centuries, and the treatment has become increasingly difficult duo to the antibiotics overuse and resistance. Quercetin is a common flavonoid of extracts of vegetables, fruits, and traditional Chinese herbs, however, the mechanism of quercetin alleviating LPS-induced duodenal inflammation remains elusive. Specific pathogen-free chicken embryos ( = 120) were allocated to groups including control, PBS with or without alcohol, LPS (125 ng/egg) with or without quercetin (10, 20, or 40 nmol/egg, respectively), and quercetin groups (10, 20, or 40 nmol/egg). Fifteen day-old embryonated eggs were inoculated with abovementioned solutions via the allantoic cavity. At embryonic day 19, the duodena of the embryos were collected for histopathological examination, RNA extraction and real-time polymerase chain reaction, immunohistochemical investigations, and Western blotting. The results demonstrated quercetin enhanced the inflammatory cell infiltration in the Peyer's patch of the intestinal mucosa after LPS induction. The LPS-induced expressions of these inflammation-related factors (TLR4, IL-1β, MMP3, MMP9, NFKB1, IFNγ, IL-8, IL-6) were completely blocked by quercetin. Quercetin also decreased the protein expression of TLR4, IL-1β, MMP3, and MMP9 after LPS induction. Quercetin could down-regulate autophagy gene expression (ATG5, LC3-1, LC3-2, and LKB1), and decreased the protein expression of ATG5, and LC3-1/LC3-2 after LPS induction. Quercetin treatment prevented LPS-induced increases of the gene expressions of programmed cell death factors (TNFα, Fas, CASP1, CASP3, CASP12, Drp1, and RIPK1); meanwhile, quercetin decreased the protein expression of CASP1 and CASP3 after LPS challenge. LPS reduced the gene expression of mucin 2, but upregulated the mRNA and protein expression of claudin 1, occludin, and ZO-1, and this was balanced by quercetin. This evidence suggests that quercetin can alleviate duodenal inflammation induced by LPS through modulating autophagy, programmed cell death, intestinal barrier function.

摘要

几个世纪以来,腹泻一直是一个全球性的健康问题,由于抗生素的过度使用和耐药性,其治疗变得越来越困难。槲皮素是蔬菜、水果和传统中草药提取物中常见的黄酮类化合物,然而,槲皮素减轻脂多糖(LPS)诱导的十二指肠炎症的机制仍不清楚。将120只无特定病原体鸡胚分为对照组、含或不含酒精的PBS组、含或不含槲皮素(分别为10、20或40 nmol/蛋)的LPS(125 ng/蛋)组以及槲皮素组(10、20或40 nmol/蛋)。将15日龄的胚胎蛋通过尿囊腔接种上述溶液。在胚胎第19天,收集胚胎的十二指肠用于组织病理学检查、RNA提取和实时聚合酶链反应、免疫组织化学研究以及蛋白质免疫印迹分析。结果表明,槲皮素增强了LPS诱导后肠黏膜派尔集合淋巴结中的炎性细胞浸润。LPS诱导的这些炎症相关因子(TLR4、IL-1β、MMP3、MMP9、NFKB1、IFNγ、IL-8、IL-6)的表达被槲皮素完全阻断。槲皮素还降低了LPS诱导后TLR4、IL-1β、MMP3和MMP9的蛋白表达。槲皮素可下调自噬基因表达(ATG5、LC3-Ⅰ、LC3-Ⅱ和LKB1),并降低LPS诱导后ATG5和LC3-Ⅰ/LC3-Ⅱ的蛋白表达。槲皮素处理可防止LPS诱导的程序性细胞死亡因子(TNFα、Fas、CASP1、CASP3、CASP12、Drp1和RIPK1)基因表达增加;同时,槲皮素降低了LPS攻击后CASP1和CASP3的蛋白表达。LPS降低了黏蛋白2的基因表达,但上调了闭合蛋白1、闭锁蛋白和紧密连接蛋白1的mRNA和蛋白表达,而槲皮素可使其恢复平衡。这一证据表明,槲皮素可通过调节自噬、程序性细胞死亡和肠道屏障功能来减轻LPS诱导的十二指肠炎症。

https://cdn.ncbi.nlm.nih.gov/pmc/blobs/8630/9774289/7dc825ea0258/animals-12-03524-g001.jpg

文献AI研究员

20分钟写一篇综述,助力文献阅读效率提升50倍。

立即体验

用中文搜PubMed

大模型驱动的PubMed中文搜索引擎

马上搜索

文档翻译

学术文献翻译模型,支持多种主流文档格式。

立即体验