Suppr超能文献

小脑素:浦肯野细胞成熟的可量化标志物。

Cerebellin: a quantifiable marker for Purkinje cell maturation.

作者信息

Slemmon J R, Danho W, Hempstead J L, Morgan J I

出版信息

Proc Natl Acad Sci U S A. 1985 Oct;82(20):7145-8. doi: 10.1073/pnas.82.20.7145.

Abstract

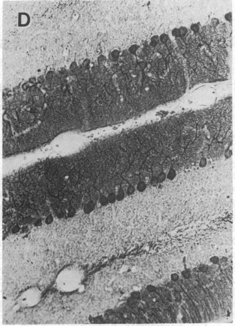
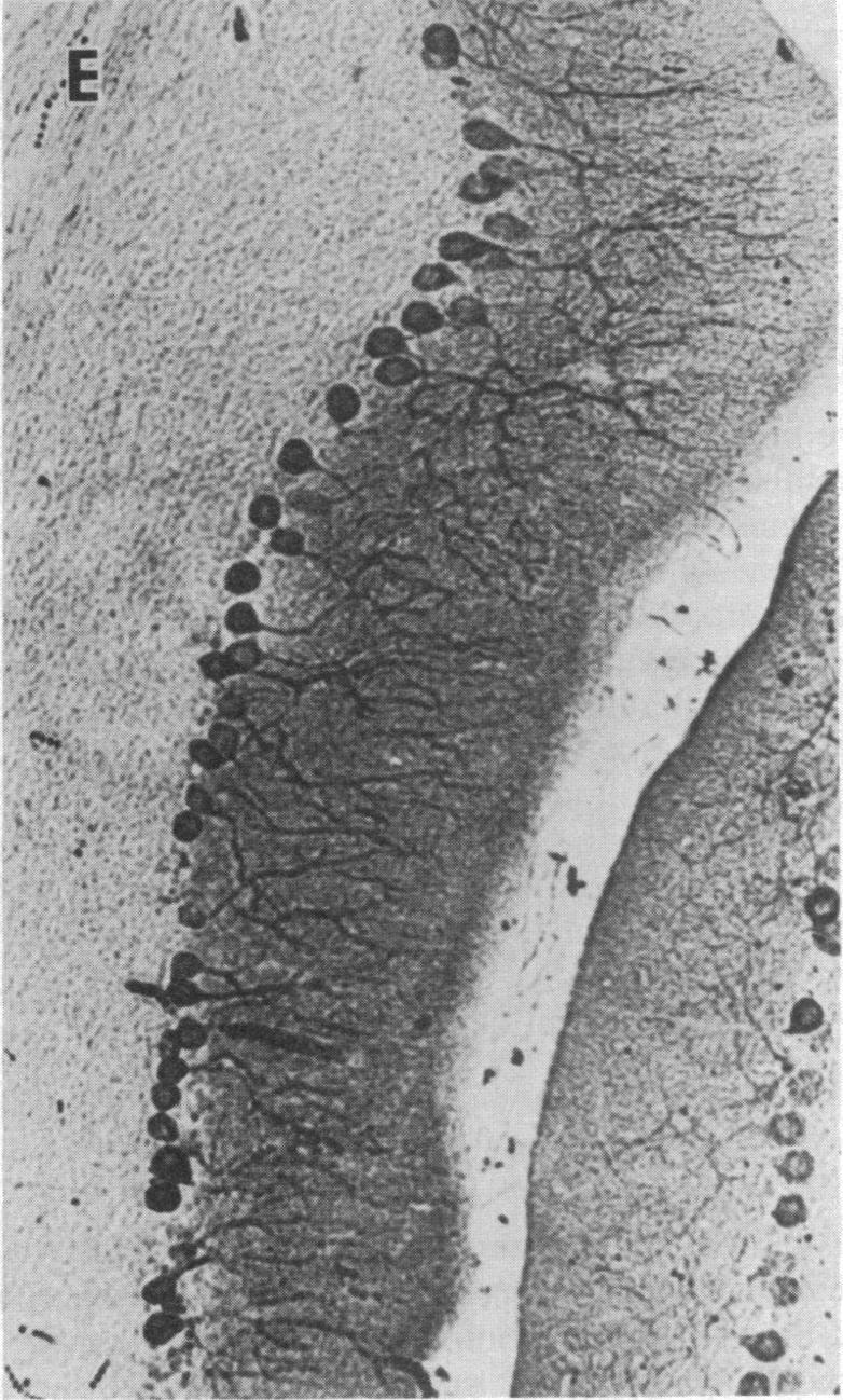
The cerebellum-specific hexadecapeptide cerebellin has been localized by immunocytochemical means to the perikarya and dendrites of cerebellar Purkinje cells. Biochemical analysis using ion-pairing HPLC shows cerebellin to first appear 5 days after birth, whereafter levels rise to a maximum at 25 days postpartum, and then decline to stable adult values. This same pattern of development occurs with a lag of approximately 5 days for the major metabolite of cerebellin, des-Ser1-cerebellin. The immunocytochemical picture of cerebellin in developing Purkinje cells mirrors the biochemical data. These results show that cerebellins represent unique quantifiable markers for the investigation of Purkinje cell maturation and lend support to the feasibility of using unique endogenous peptides to chart neurodevelopment.

摘要

小脑特异性十六肽小脑素已通过免疫细胞化学方法定位到小脑浦肯野细胞的胞体和树突。使用离子对高效液相色谱法进行的生化分析表明,小脑素在出生后5天首次出现,此后水平在产后25天升至最高,然后降至稳定的成年值。小脑素的主要代谢产物去丝氨酸1-小脑素的发育模式相同,但滞后约5天。发育中的浦肯野细胞中小脑素的免疫细胞化学图像与生化数据相符。这些结果表明,小脑素是研究浦肯野细胞成熟的独特可量化标志物,并支持使用独特的内源性肽来描绘神经发育的可行性。

https://cdn.ncbi.nlm.nih.gov/pmc/blobs/c224/391327/2b2b118ae898/pnas00360-0432-a.jpg

文献检索

告别复杂PubMed语法,用中文像聊天一样搜索,搜遍4000万医学文献。AI智能推荐,让科研检索更轻松。

立即免费搜索

文件翻译

保留排版,准确专业,支持PDF/Word/PPT等文件格式,支持 12+语言互译。

免费翻译文档

深度研究

AI帮你快速写综述,25分钟生成高质量综述,智能提取关键信息,辅助科研写作。

立即免费体验