Suppr超能文献

全球纵向应变是接受重症监护的新生儿左心室功能的一个有价值的指标。

Global longitudinal strain is an informative index of left ventricular performance in neonates receiving intensive care.

机构信息

Neonatal Intensive Care Unit, University and Hospital Trust of Verona, P.le A. Stefani 1, 37126, Verona, Italy.

Section of Cardiology, Department of Medicine, University of Verona, Verona, Italy.

出版信息

Sci Rep. 2024 Apr 17;14(1):8881. doi: 10.1038/s41598-024-59441-5.

Abstract

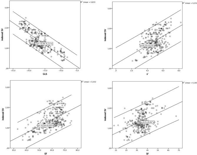
Echocardiographic assessment of left ventricular function is crucial in NICU. The study aimed to compare the accuracy and agreement of global longitudinal strain (GLS) with conventional measurements. Real-life echocardiograms of neonates receiving intensive care were retrospectively reviewed. Shortening fraction (SF), ejection fraction (EF) and S' measurements were retrieved from health records. GLS was calculated offline from stored images. The association with stroke volume indexed for body weight (iSV) was evaluated by regression analysis. The diagnostic ability to identify uncompensated shock was assessed by ROC curve analysis. Cohen's κ was run to assess agreement. 334 echocardiograms of 155 neonates were evaluated. Mean ± SD gestational age and birth weight were 34.5 ± 4.1 weeks and 2264 ± 914 g, respectively. SF, EF, S' and GLS were associated with iSV with R of 0.133, 0.332, 0.252 and 0.633, (all p < .001). Including all variables in a regression model, iSV prediction showed an adjusted R of 0.667, (p < .001). GLS explained 73% of the model variance. GLS showed a better ability to diagnose uncompensated shock (AUC 0.956) compared to EF, S' and SF (AUC 0.757, 0.737 and 0.606, respectively). GLS showed a moderate agreement with EF (κ = .500, p < .001) and a limited agreement with S' and SF (κ = .260, p < .001, κ = .242, p < .001). GLS was a more informative index of left ventricular performance, providing the rationale for a more extensive use of GLS at the cotside.

摘要

新生儿重症监护病房(NICU)中左心室功能的超声心动图评估至关重要。本研究旨在比较整体纵向应变(GLS)与传统测量方法的准确性和一致性。回顾性分析接受强化治疗的新生儿的实时超声心动图。从健康记录中检索缩短分数(SF)、射血分数(EF)和 S'测量值。从存储的图像中离线计算 GLS。通过回归分析评估与体重指数(iSV)的相关性。通过 ROC 曲线分析评估识别代偿性休克的诊断能力。使用 Cohen's κ 评估一致性。共评估了 155 例新生儿的 334 次超声心动图。平均(±SD)胎龄和出生体重分别为 34.5(±4.1)周和 2264(±914)g。SF、EF、S'和 GLS 与 iSV 相关,R 值分别为 0.133、0.332、0.252 和 0.633(均 P < 0.001)。在回归模型中包含所有变量时,iSV 预测的调整 R 为 0.667(P < 0.001)。GLS 解释了模型方差的 73%。GLS 诊断代偿性休克的能力优于 EF、S'和 SF(AUC 0.956 比 AUC 0.757、0.737 和 0.606,均 P < 0.001)。GLS 与 EF 具有中等一致性(κ=0.500,P < 0.001),与 S'和 SF 一致性有限(κ=0.260,P < 0.001,κ=0.242,P < 0.001)。GLS 是一种更具信息量的左心室功能指标,为床旁更广泛使用 GLS 提供了依据。

https://cdn.ncbi.nlm.nih.gov/pmc/blobs/8a10/11024117/9c619d3a626b/41598_2024_59441_Fig1_HTML.jpg

文献AI研究员

20分钟写一篇综述,助力文献阅读效率提升50倍。

立即体验

用中文搜PubMed

大模型驱动的PubMed中文搜索引擎

马上搜索

文档翻译

学术文献翻译模型,支持多种主流文档格式。

立即体验