Suppr超能文献

系统尸检眼底照相检测致死性婴儿虐待。

Fatal child abuse detected by systematic post-mortem fundus photograph in sudden death in infancy.

机构信息

CHU Nantes, service d'ophtalmologie, Nantes Université, 1 place Alexis Ricordeau, Nantes, 44093, France.

Institut d'histopathologie (IHP Group), Angers, France.

出版信息

Int J Legal Med. 2024 Sep;138(5):1867-1872. doi: 10.1007/s00414-024-03220-4. Epub 2024 Apr 23.

Abstract

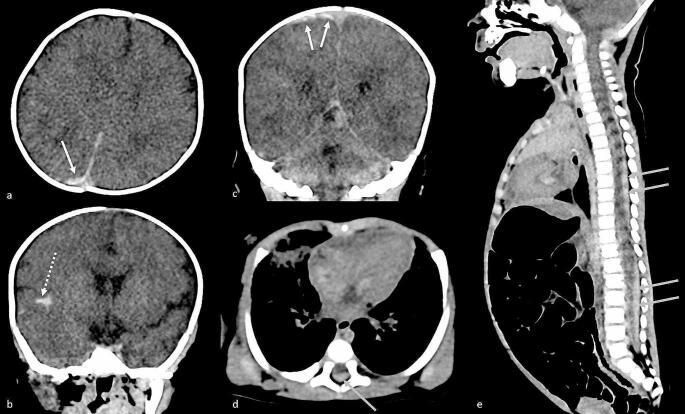
In living children, the use of a wide field fundus camera such as RetCam is the gold standard practice to document retinal haemorrhages in suspected cases of abusive head trauma (AHT). In case of sudden unexpected death in infancy (SUDI), child abuse must be considered as a possible cause of death and an eye examination is required. However, no example of post-mortem fundus photograph (PMFP) of retinal haemorrhages related to AHT is yet available for clinicians.We report a SUDI case, with no external traumatic lesions or limb fractures, for which prompt PMFP showed retinal haemorrhages typical of AHT: child abuse was subsequently confirmed by the forensic investigation. We discuss why PMFP is a relevant screening test to detect retinal haemorrhages in the case of SUDI and why the use of the RetCam should be further investigated.

摘要

在存活的儿童中,使用广角眼底相机(如 RetCam)是记录疑似虐待性头部创伤(AHT)的视网膜出血的金标准方法。对于婴儿猝死(SUDI),必须考虑虐待作为可能的死亡原因,并且需要进行眼部检查。然而,目前还没有与 AHT 相关的死后眼底照片(PMFP)的例子可供临床医生使用。我们报告了一个 SUDI 病例,没有外部创伤性病变或肢体骨折,及时的 PMFP 显示出典型的 AHT 视网膜出血:随后法医调查证实了虐待行为。我们讨论了为什么 PMFP 是检测 SUDI 情况下视网膜出血的相关筛查测试,以及为什么应该进一步研究 RetCam 的使用。

https://cdn.ncbi.nlm.nih.gov/pmc/blobs/23b9/11306503/3d9db6b2d1cd/414_2024_3220_Figa_HTML.jpg

文献AI研究员

20分钟写一篇综述,助力文献阅读效率提升50倍。

立即体验

用中文搜PubMed

大模型驱动的PubMed中文搜索引擎

马上搜索

文档翻译

学术文献翻译模型,支持多种主流文档格式。

立即体验