Ordulj Ivan, Tandara Mirko, Jerković Kristian, Šarić Frano, Beneš Miodrag, Lovrić Kojundžić Sanja, Marinović Guić Maja, Budimir Mršić Danijela
Clinical Department of Diagnostic and Interventional Radiology, University Hospital of Split, Spinčićeva 1, 21000 Split, Croatia.
Institute of Public Health Sveti Rok Virovitica, Podravina County, 33000 Virovitica, Croatia.
Biomedicines. 2024 Apr 12;12(4):860. doi: 10.3390/biomedicines12040860.
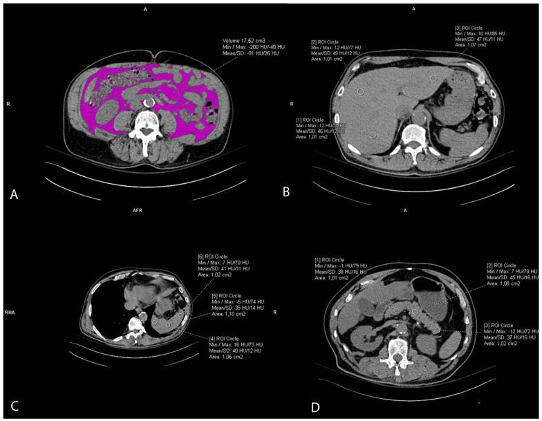
The vascular risk associated with obesity is particularly associated with visceral adiposity, but recent studies suggest that ectopic fat might contribute to the increased risk of atherosclerotic cardiovascular disease. Our study aimed to explore the connection between arterial calcification of the aorta and renal arteries with visceral and ectopic fat deposits, including liver, pancreatic, and renal sinus fat. Retrospective analysis of thoracoabdominal multi-slice computed tomography (MSCT) scans of 302 patients included measurements of calcification volumes of thoracic and abdominal aorta, and of both renal arteries. On the same scans, the visceral fat volume, liver-to-spleen ratio, pancreatic-to-spleen ratio, and both renal sinus fat areas were retrieved. Logistic regression showed the left kidney sinus fat area to be the most strongly associated with calcifications in the aorta and both renal arteries (coef. from 0.578 to 0.913, < 0.05). The visceral fat positively predicted aortic calcification (coef. = 0.462, = 0.008), and on the contrary, the pancreatic fat accumulation even showed protective effects on thoracic and abdominal aorta calcification (coef. = -0.611 and -0.761, < 0.001, respectively). The results suggest that ectopic fat locations differently impact the calcification of arteries, which should be further explored.
与肥胖相关的血管风险尤其与内脏脂肪过多有关,但最近的研究表明,异位脂肪可能会增加动脉粥样硬化性心血管疾病的风险。我们的研究旨在探讨主动脉和肾动脉钙化与内脏及异位脂肪沉积(包括肝脏、胰腺和肾窦脂肪)之间的联系。对302例患者的胸腹多层计算机断层扫描(MSCT)进行回顾性分析,测量胸主动脉、腹主动脉和双侧肾动脉的钙化体积。在同一扫描中,获取内脏脂肪体积、肝脾比、胰脾比以及双侧肾窦脂肪面积。逻辑回归分析显示,左肾窦脂肪面积与主动脉和双侧肾动脉钙化的相关性最强(系数为0.578至0.913,P<0.05)。内脏脂肪可正向预测主动脉钙化(系数=0.462,P=0.008),相反,胰腺脂肪堆积甚至对胸主动脉和腹主动脉钙化有保护作用(系数分别为-0.611和-0.761,P<0.001)。结果表明,异位脂肪对动脉钙化的影响各不相同,这一点值得进一步探究。