• 文献检索
  • 文档翻译
  • 深度研究
  • 学术资讯
  • Suppr Zotero 插件Zotero 插件
  • 邀请有礼
  • 套餐&价格
  • 历史记录
应用&插件
Suppr Zotero 插件Zotero 插件浏览器插件Mac 客户端Windows 客户端微信小程序
定价
高级版会员购买积分包购买API积分包
服务
文献检索文档翻译深度研究API 文档MCP 服务
关于我们
关于 Suppr公司介绍联系我们用户协议隐私条款
关注我们

Suppr 超能文献

核心技术专利:CN118964589B侵权必究
粤ICP备2023148730 号-1Suppr @ 2026

文献检索

告别复杂PubMed语法,用中文像聊天一样搜索,搜遍4000万医学文献。AI智能推荐,让科研检索更轻松。

立即免费搜索

文件翻译

保留排版,准确专业,支持PDF/Word/PPT等文件格式,支持 12+语言互译。

免费翻译文档

深度研究

AI帮你快速写综述,25分钟生成高质量综述,智能提取关键信息,辅助科研写作。

立即免费体验

一名狼疮女性患者的腹痛——打开潘多拉魔盒

Abdominal Pain in a Female with Lupus - Opening the Pandora's Box.

作者信息

Mohanasundaram Subashri, Samuel Marchwin Kingston, Kurien Anila A

机构信息

Assistant Professor, Department of Nephrology, Government Thoothukudi Medical College and Hospital, Thoothukudi, Tamil Nadu, India.

Head of the Department- in-Charge, Associate Professor of General Medicine, Department of Nephrology, Government Thoothukudi Medical College and Hospital, Thoothukudi, Tamil Nadu, India.

出版信息

Indian J Nephrol. 2024 Mar-Apr;34(2):181-184. doi: 10.4103/ijn.ijn_316_22. Epub 2023 May 3.

DOI:10.4103/ijn.ijn_316_22
PMID:38681004
原文链接:https://pmc.ncbi.nlm.nih.gov/articles/PMC11044692/
Abstract

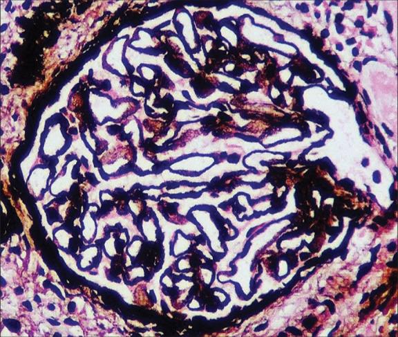
Systemic lupus erythematosus (SLE) is an autoimmune disease that can involve multiple organ systems. The most common form of vasculitis seen in SLE is small vessel vasculitis. Aortitis in SLE or antiphospholipid syndrome is an extremely rare complication. Here, we present a 32-year-old female who presented with a history of prolonged abdominal pain, who was evaluated and diagnosed to have aortitis as an unusual involvement in SLE with secondary antiphospholipid antibody syndrome.

摘要

系统性红斑狼疮(SLE)是一种可累及多个器官系统的自身免疫性疾病。SLE中最常见的血管炎形式是小血管炎。SLE或抗磷脂综合征中的主动脉炎是一种极其罕见的并发症。在此,我们报告一名32岁女性,她有长期腹痛病史,经评估被诊断为主动脉炎,这是SLE伴继发性抗磷脂抗体综合征的一种不寻常累及情况。

https://cdn.ncbi.nlm.nih.gov/pmc/blobs/c4d2/11044692/63e6b77963e2/IJN-34-2-181-g3.jpg
https://cdn.ncbi.nlm.nih.gov/pmc/blobs/c4d2/11044692/0000dde0eab3/IJN-34-2-181-g1.jpg
https://cdn.ncbi.nlm.nih.gov/pmc/blobs/c4d2/11044692/7b10938376dc/IJN-34-2-181-g2.jpg
https://cdn.ncbi.nlm.nih.gov/pmc/blobs/c4d2/11044692/63e6b77963e2/IJN-34-2-181-g3.jpg
https://cdn.ncbi.nlm.nih.gov/pmc/blobs/c4d2/11044692/0000dde0eab3/IJN-34-2-181-g1.jpg
https://cdn.ncbi.nlm.nih.gov/pmc/blobs/c4d2/11044692/7b10938376dc/IJN-34-2-181-g2.jpg
https://cdn.ncbi.nlm.nih.gov/pmc/blobs/c4d2/11044692/63e6b77963e2/IJN-34-2-181-g3.jpg

相似文献

1
Abdominal Pain in a Female with Lupus - Opening the Pandora's Box.一名狼疮女性患者的腹痛——打开潘多拉魔盒
Indian J Nephrol. 2024 Mar-Apr;34(2):181-184. doi: 10.4103/ijn.ijn_316_22. Epub 2023 May 3.
2
Aortitis: An Unusual Inflammatory Complication of Systemic Lupus Erythematosus.主动脉炎:系统性红斑狼疮一种罕见的炎症并发症。
Cureus. 2021 Sep 16;13(9):e18028. doi: 10.7759/cureus.18028. eCollection 2021 Sep.
3
Aortitis is an under-recognized manifestation of antiphospholipid syndrome: A case report and literature review.主动脉炎是抗磷脂综合征一种未被充分认识的表现:病例报告及文献综述。
Lupus. 2022 May;31(6):744-753. doi: 10.1177/09612033221091142. Epub 2022 Mar 27.
4
Acute abdominal pain in systemic lupus erythematosus: focus on lupus enteritis (gastrointestinal vasculitis).系统性红斑狼疮中的急性腹痛:聚焦狼疮性肠炎(胃肠道血管炎)
Ann Rheum Dis. 2002 Jun;61(6):547-50. doi: 10.1136/ard.61.6.547.
5
Aortitis in the setting of catastrophic antiphospholipid syndrome in a patient with systemic lupus erythematosus.系统性红斑狼疮合并灾难性抗磷脂综合征患者的主动脉炎。
Lupus. 2020 Aug;29(9):1126-1129. doi: 10.1177/0961203320931173. Epub 2020 Jun 9.
6
Severe Abdominal Pain and Multi-Organ Involvement in a Young Woman With Systemic Lupus Erythematosus.一名患有系统性红斑狼疮的年轻女性出现严重腹痛和多器官受累
J Med Cases. 2023 Jun;14(6):196-199. doi: 10.14740/jmc4065. Epub 2023 Jun 29.
7
Systemic lupus erythematosus-related acute pancreatitis.系统性红斑狼疮相关性急性胰腺炎。
Lupus. 2021 Jan;30(1):5-14. doi: 10.1177/0961203320978515. Epub 2020 Dec 13.
8
Mesenteric Vasculitis as a Rare Initial Presentation of Systemic Lupus Erythematosus: A Case Report.肠系膜血管炎作为系统性红斑狼疮罕见的首发表现:一例报告
Saudi J Med Med Sci. 2020 Sep-Dec;8(3):223-226. doi: 10.4103/sjmms.sjmms_206_19. Epub 2020 Aug 20.
9
Mesenteric Vasculitis and Urinary System Involvement Presenting As the Initial Manifestations of Systemic Lupus Erythematosus Treated Successfully With Glucocorticoids and Rituximab: A Case Report.以肠系膜血管炎和泌尿系统受累为首发表现的系统性红斑狼疮经糖皮质激素和利妥昔单抗成功治疗:一例报告
Cureus. 2022 Nov 14;14(11):e31474. doi: 10.7759/cureus.31474. eCollection 2022 Nov.
10
Unveiling Uncommon Manifestations in a Pediatric Patient With Systemic Lupus Erythematosus: A Case Report.揭示一名小儿系统性红斑狼疮患者的罕见表现:病例报告
Cureus. 2021 Dec 14;13(12):e20418. doi: 10.7759/cureus.20418. eCollection 2021 Dec.

本文引用的文献

1
Lupus aortitis: A fatal, inflammatory cardiovascular complication in systemic lupus erythematosus.狼疮性主动脉炎:系统性红斑狼疮中一种致命的炎症性心血管并发症。
Lupus. 2020 Oct;29(12):1652-1654. doi: 10.1177/0961203320950017. Epub 2020 Aug 14.
2
Lupus Aortitis Successfully Treated with Moderate-dose Glucocorticoids: A Case Report and Review of the Literature.中等剂量糖皮质激素治疗狼疮性主动脉炎成功:病例报告及文献复习。
Intern Med. 2020 Nov 1;59(21):2789-2795. doi: 10.2169/internalmedicine.4964-20. Epub 2020 Jul 7.
3
Aortitis in the setting of catastrophic antiphospholipid syndrome in a patient with systemic lupus erythematosus.
系统性红斑狼疮合并灾难性抗磷脂综合征患者的主动脉炎。
Lupus. 2020 Aug;29(9):1126-1129. doi: 10.1177/0961203320931173. Epub 2020 Jun 9.
4
Aortic vasculitis in a patient with systemic lupus erythematosus.
Reumatol Clin. 2016 May-Jun;12(3):169-72. doi: 10.1016/j.reuma.2015.05.013. Epub 2015 Jul 9.
5
Vasculitis in systemic lupus erythematosus.系统性红斑狼疮中的血管炎
Curr Rheumatol Rep. 2014;16(9):440. doi: 10.1007/s11926-014-0440-9.
6
Large artery inflammation in systemic lupus erythematosus.系统性红斑狼疮中的大动脉炎症。
Lupus. 2013 Aug;22(9):953-6. doi: 10.1177/0961203313492241. Epub 2013 Jun 12.
7
Aortitis: imaging spectrum of the infectious and inflammatory conditions of the aorta.主动脉炎:主动脉感染性和炎症性疾病的影像学表现。
Radiographics. 2011 Mar-Apr;31(2):435-51. doi: 10.1148/rg.312105069.
8
Aortitis and aortic thrombus in systemic lupus erythematosus.
Lupus. 2006;15(8):541-3. doi: 10.1191/0961203306lu2342cr.
9
Pathologic quiz case: an unusual complication of systemic lupus erythematosus.病理病例问答:系统性红斑狼疮的一种罕见并发症。
Arch Pathol Lab Med. 2000 Feb;124(2):324-6. doi: 10.5858/2000-124-0324-PQC.
10
Lupus aortitis: a case report and review of the literature.
J La State Med Soc. 1996 Feb;148(2):55-9.