Suppr超能文献

连续theta爆发刺激对中风后患者初级运动皮层改善膀胱功能的作用:一例报告

The Role of Continuous Theta Burst Stimulation on Primary Motor Cortex in Improving Bladder Function in Post-stroke Patients: A Case Report.

作者信息

Qian Yao, Yao Yu, Huang Guilan, Su Bin, Wang Hewei

机构信息

Department of Rehabilitation Medicine, Wuxi Central Rehabilitation Hospital, The Affiliated Mental Health Center of Jiangnan University, Wuxi, CHN.

Department of Rehabilitation Medicine, Huashan Hospital, Fudan University, Shanghai, CHN.

出版信息

Cureus. 2024 Mar 26;16(3):e56993. doi: 10.7759/cureus.56993. eCollection 2024 Mar.

Abstract

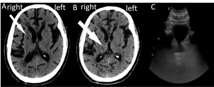
Neurogenic bladder (NB) is a frequently encountered post-stroke complication, characterized by symptoms, such as urinary incontinence, dysuria, increased frequency, and urgency. Here, we present a case of a 75-year-old male with urgent urination, frequent urination, urinary incontinence, conspicuous discomfort during urination, and an unpleasant smell in the urine following a stroke. By reviewing the patient's previous medical records of stroke and ruling out other potential causes for bladder dysfunction, a diagnosis of NB could be established. We implemented conventional physical therapy, pelvic floor muscle training with the electromyography biofeedback device, and continuous theta burst stimulation (cTBS) on the contralesional primary motor cortex area to manage bladder function. To the best of our knowledge, this is the first case report on cTBS applied to manage NB after stroke. Our treatment has demonstrated remarkable efficacy in enhancing bladder and kidney function, improving the overall quality of life, and alleviating anxiety and depression symptoms in this patient. This case study concludes that the noninvasive neuromodulation approach exhibits significant potential in the clinical field when addressing this specific patient population.

摘要

神经源性膀胱(NB)是一种常见的中风后并发症,其特征包括尿失禁、排尿困难、尿频和尿急等症状。在此,我们报告一例75岁男性病例,该患者中风后出现尿急、尿频、尿失禁、排尿时明显不适以及尿液有异味。通过查阅患者既往中风病史并排除膀胱功能障碍的其他潜在原因,可确诊为NB。我们采用了传统物理治疗、使用肌电图生物反馈设备进行盆底肌训练以及对健侧初级运动皮层区域进行连续theta爆发刺激(cTBS)来管理膀胱功能。据我们所知,这是首例关于应用cTBS治疗中风后NB的病例报告。我们的治疗在增强该患者的膀胱和肾脏功能、改善整体生活质量以及缓解焦虑和抑郁症状方面显示出显著疗效。本病例研究得出结论,这种非侵入性神经调节方法在针对这一特定患者群体时在临床领域具有巨大潜力。

https://cdn.ncbi.nlm.nih.gov/pmc/blobs/0bde/11050733/9c22e77b8f9d/cureus-0016-00000056993-i01.jpg

文献AI研究员

20分钟写一篇综述,助力文献阅读效率提升50倍。

立即体验

用中文搜PubMed

大模型驱动的PubMed中文搜索引擎

马上搜索

文档翻译

学术文献翻译模型,支持多种主流文档格式。

立即体验