• 文献检索
  • 文档翻译
  • 深度研究
  • 学术资讯
  • Suppr Zotero 插件Zotero 插件
  • 邀请有礼
  • 套餐&价格
  • 历史记录
应用&插件
Suppr Zotero 插件Zotero 插件浏览器插件Mac 客户端Windows 客户端微信小程序
定价
高级版会员购买积分包购买API积分包
服务
文献检索文档翻译深度研究API 文档MCP 服务
关于我们
关于 Suppr公司介绍联系我们用户协议隐私条款
关注我们

Suppr 超能文献

核心技术专利:CN118964589B侵权必究
粤ICP备2023148730 号-1Suppr @ 2026

文献检索

告别复杂PubMed语法,用中文像聊天一样搜索,搜遍4000万医学文献。AI智能推荐,让科研检索更轻松。

立即免费搜索

文件翻译

保留排版,准确专业,支持PDF/Word/PPT等文件格式,支持 12+语言互译。

免费翻译文档

深度研究

AI帮你快速写综述,25分钟生成高质量综述,智能提取关键信息,辅助科研写作。

立即免费体验

胰岛素样生长因子2 mRNA结合蛋白2调节自噬并作为胶质瘤的预后标志物。

IGF2BP2 modulates autophagy and serves as a prognostic marker in glioma.

作者信息

Li Ning, Deng Limei, Zhang Yuming, Tang Xilian, Lei Bingxi, Zhang Qingyu

机构信息

Department of Hematology Affiliated Hospital of Guangdong Medical University Zhanjiang Guangdong China.

The Marine Biomedical Research Institute Guangdong Medical University Zhanjiang China.

出版信息

Ibrain. 2024 Mar 11;10(1):19-33. doi: 10.1002/ibra.12150. eCollection 2024 Spring.

DOI:10.1002/ibra.12150
PMID:38682020
原文链接:https://pmc.ncbi.nlm.nih.gov/articles/PMC11045200/
Abstract

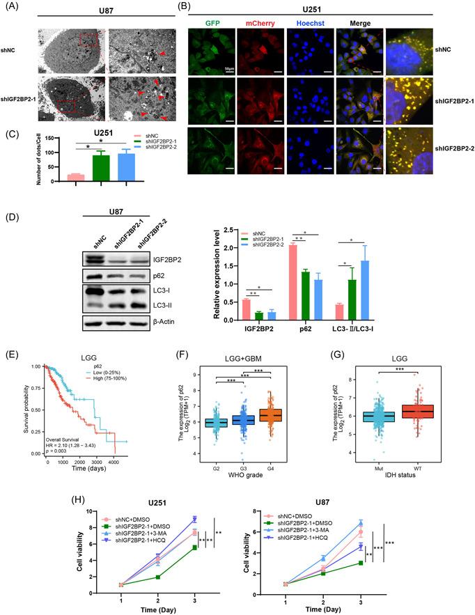
Glioma, a malignant brain tumor originating from neural glial cells, presents significant treatment challenges. However, the underlying mechanisms of glioma development are not fully understood, and effective targets are lacking. This study provides insights into the role of insulin-like growth factor 2 messenger RNA-binding protein 2 (IGF2BP2) in glioma progression and its therapeutic potential. Our analysis illustrated that elevated IGF2BP2 expression associated with significantly shorter survival among patients with low-grade glioma (LGG) in The Cancer Genome Atlas (TCGA) database. IGF2BP2 depletion led to compromised cell viability, G0/G1 phase arrest, and reduced colony-formation ability. Furthermore, ultrastructural analysis and mCherry-GFP-LC3 reporter assay revealed an increased abundance of autophagosomes upon IGF2BP2 knockdown. Western blot analysis corroborated these findings by showing reduced p62 levels coupled with increased LC3-ІІ/LC3-I ratio upon IGF2BP2 knockdown. A multicolor immunohistochemistry assay demonstrated the positive correlation between IGF2BP2 and p62 expression in glioma patient samples. Additionally, our analysis suggested a link between IGF2BP2 expression and drug-resistant markers in TCGA-LGG samples, and Cell Counting Kit-8 cell viability assay revealed that knockdown of IGF2BP2 sensitized cells to temozolomide treatment. This comprehensive exploration unveils the role of IGF2BP2 in glioma progression, shedding light on autophagy modulation and chemosensitization strategies for glioma therapy.

摘要

胶质瘤是一种起源于神经胶质细胞的恶性脑肿瘤,带来了重大的治疗挑战。然而,胶质瘤发生发展的潜在机制尚未完全明确,且缺乏有效的治疗靶点。本研究深入探讨了胰岛素样生长因子2信使核糖核酸结合蛋白2(IGF2BP2)在胶质瘤进展中的作用及其治疗潜力。我们的分析表明,在癌症基因组图谱(TCGA)数据库中,低级别胶质瘤(LGG)患者中IGF2BP2表达升高与显著缩短的生存期相关。IGF2BP2缺失导致细胞活力受损、G0/G1期阻滞以及集落形成能力降低。此外,超微结构分析和mCherry-GFP-LC3报告基因检测显示,IGF2BP2敲低后自噬体丰度增加。蛋白质免疫印迹分析证实了这些发现,显示IGF2BP2敲低后p62水平降低,同时LC3-II/LC3-I比值增加。多色免疫组织化学检测证明了胶质瘤患者样本中IGF2BP2与p62表达之间呈正相关。此外,我们的分析表明TCGA-LGG样本中IGF2BP2表达与耐药标志物之间存在联系,细胞计数试剂盒-8细胞活力检测显示,敲低IGF2BP2可使细胞对替莫唑胺治疗敏感。这一全面的探索揭示了IGF2BP2在胶质瘤进展中的作用,为胶质瘤治疗的自噬调节和化学增敏策略提供了思路。

https://cdn.ncbi.nlm.nih.gov/pmc/blobs/27bd/11045200/cfe0463aabf5/IBRA-10-19-g001.jpg
https://cdn.ncbi.nlm.nih.gov/pmc/blobs/27bd/11045200/bd1836565423/IBRA-10-19-g006.jpg
https://cdn.ncbi.nlm.nih.gov/pmc/blobs/27bd/11045200/1444302fc0b2/IBRA-10-19-g004.jpg
https://cdn.ncbi.nlm.nih.gov/pmc/blobs/27bd/11045200/31e88a5e2bbd/IBRA-10-19-g003.jpg
https://cdn.ncbi.nlm.nih.gov/pmc/blobs/27bd/11045200/742bda6ccff2/IBRA-10-19-g002.jpg
https://cdn.ncbi.nlm.nih.gov/pmc/blobs/27bd/11045200/cfe0463aabf5/IBRA-10-19-g001.jpg
https://cdn.ncbi.nlm.nih.gov/pmc/blobs/27bd/11045200/bd1836565423/IBRA-10-19-g006.jpg
https://cdn.ncbi.nlm.nih.gov/pmc/blobs/27bd/11045200/1444302fc0b2/IBRA-10-19-g004.jpg
https://cdn.ncbi.nlm.nih.gov/pmc/blobs/27bd/11045200/31e88a5e2bbd/IBRA-10-19-g003.jpg
https://cdn.ncbi.nlm.nih.gov/pmc/blobs/27bd/11045200/742bda6ccff2/IBRA-10-19-g002.jpg
https://cdn.ncbi.nlm.nih.gov/pmc/blobs/27bd/11045200/cfe0463aabf5/IBRA-10-19-g001.jpg

相似文献

1
IGF2BP2 modulates autophagy and serves as a prognostic marker in glioma.胰岛素样生长因子2 mRNA结合蛋白2调节自噬并作为胶质瘤的预后标志物。
Ibrain. 2024 Mar 11;10(1):19-33. doi: 10.1002/ibra.12150. eCollection 2024 Spring.
2
Tumor Suppressor microRNA-138 Suppresses Low-Grade Glioma Development and Metastasis via Regulating IGF2BP2.肿瘤抑制性微小RNA-138通过调控IGF2BP2抑制低级别胶质瘤的发生和转移。
Onco Targets Ther. 2020 Mar 13;13:2247-2260. doi: 10.2147/OTT.S232795. eCollection 2020.
3
[Knockdown of IGF2BP2 inhibits colorectal cancer cell proliferation, migration and promotes tumor immunity by down-regulating MYC expression].[敲低IGF2BP2通过下调MYC表达抑制结肠癌细胞增殖、迁移并促进肿瘤免疫]
Xi Bao Yu Fen Zi Mian Yi Xue Za Zhi. 2023 Apr;39(4):303-310.
4
microRNA‑188 acts as a tumour suppressor in glioma by directly targeting the IGF2BP2 gene.microRNA-188 通过直接靶向 IGF2BP2 基因在神经胶质瘤中发挥肿瘤抑制作用。
Mol Med Rep. 2017 Nov;16(5):7124-7130. doi: 10.3892/mmr.2017.7433. Epub 2017 Sep 7.
5
High LC3/Beclin Expression Correlates with Poor Survival in Glioma: a Definitive Role for Autophagy as Evidenced by In Vitro Autophagic Flux.高LC3/Beclin表达与胶质瘤患者的不良生存相关:体外自噬通量证明自噬起决定性作用。
Pathol Oncol Res. 2019 Jan;25(1):137-148. doi: 10.1007/s12253-017-0310-7. Epub 2017 Oct 11.
6
Insulin-like growth factor 2 mRNA-binding protein 2 is a therapeutic target in ovarian cancer.胰岛素样生长因子 2 mRNA 结合蛋白 2 是卵巢癌的治疗靶点。
Exp Biol Med (Maywood). 2023 Dec;248(23):2198-2209. doi: 10.1177/15353702231214268. Epub 2023 Dec 12.
7
Knockdown ATG4C inhibits gliomas progression and promotes temozolomide chemosensitivity by suppressing autophagic flux.敲低 ATG4C 通过抑制自噬流抑制神经胶质瘤的进展并增强替莫唑胺的化疗敏感性。
J Exp Clin Cancer Res. 2019 Jul 10;38(1):298. doi: 10.1186/s13046-019-1287-8.
8
18β-glycyrrhetinic acid promotes gastric cancer cell autophagy and inhibits proliferation by regulating miR-328-3p/signal transducer and activator of transcription 3.18β-甘草次酸通过调控 miR-328-3p/信号转导和转录激活因子 3 促进胃癌细胞自噬并抑制增殖。
World J Gastroenterol. 2023 Jul 21;29(27):4317-4333. doi: 10.3748/wjg.v29.i27.4317.
9
SUMOylation of IGF2BP2 promotes vasculogenic mimicry of glioma via regulating OIP5-AS1/miR-495-3p axis.SUMOylation 修饰 IGF2BP2 通过调控 OIP5-AS1/miR-495-3p 轴促进胶质瘤血管生成拟态。
Int J Biol Sci. 2021 Jul 13;17(11):2912-2930. doi: 10.7150/ijbs.58035. eCollection 2021.
10
VAMP8 facilitates cellular proliferation and temozolomide resistance in human glioma cells.VAMP8促进人类胶质瘤细胞的细胞增殖和替莫唑胺耐药性。
Neuro Oncol. 2015 Mar;17(3):407-18. doi: 10.1093/neuonc/nou219. Epub 2014 Sep 10.

引用本文的文献

1
Deregulating m6A regulators leads to altered RNA biology in glioma cell lines.解除对m6A调节因子的调控会导致胶质瘤细胞系中RNA生物学特性发生改变。
bioRxiv. 2025 Aug 19:2024.10.28.620763. doi: 10.1101/2024.10.28.620763.
2
Multifaceted roles of insulin‑like growth factor 2 mRNA binding protein 2 in human cancer (Review).胰岛素样生长因子2 mRNA结合蛋白2在人类癌症中的多方面作用(综述)
Mol Med Rep. 2025 Mar;31(3). doi: 10.3892/mmr.2025.13441. Epub 2025 Jan 31.
3
The Emerging Role of IGF2BP2 in Cancer Therapy Resistance: From Molecular Mechanism to Future Potential.

本文引用的文献

1
LncRNA GSCAR promotes glioma stem cell maintenance via stabilizing SOX2 expression.长链非编码 RNA GSCAR 通过稳定 SOX2 表达促进神经胶质瘤干细胞的维持。
Int J Biol Sci. 2023 Mar 5;19(6):1681-1697. doi: 10.7150/ijbs.80873. eCollection 2023.
2
High levels of NRF2 sensitize temozolomide-resistant glioblastoma cells to ferroptosis via ABCC1/MRP1 upregulation.高水平的 NRF2 通过上调 ABCC1/MRP1 使替莫唑胺耐药的胶质母细胞瘤细胞对铁死亡敏感。
Cell Death Dis. 2022 Jul 8;13(7):591. doi: 10.1038/s41419-022-05044-9.
3
Insulin-like growth factor 2 and autophagy gene expression alteration arise as potential biomarkers in Parkinson's disease.
IGF2BP2 在癌症治疗耐药中的新兴作用:从分子机制到未来潜力。
Int J Mol Sci. 2024 Nov 12;25(22):12150. doi: 10.3390/ijms252212150.
4
IGF2BP2 orchestrates global expression and alternative splicing profiles associated with glioblastoma development in U251 cells.IGF2BP2 调控与 U251 细胞中胶质母细胞瘤发生相关的整体基因表达和可变剪接图谱。
Transl Oncol. 2025 Jan;51:102177. doi: 10.1016/j.tranon.2024.102177. Epub 2024 Nov 7.
5
UBE2D3 regulated by WTAP-mediated m6A modification inhibits temozolomide chemosensitivity in glioblastoma.由WTAP介导的m6A修饰调控的UBE2D3抑制胶质母细胞瘤对替莫唑胺的化疗敏感性。
Naunyn Schmiedebergs Arch Pharmacol. 2025 Jan;398(1):919-931. doi: 10.1007/s00210-024-03327-w. Epub 2024 Aug 1.
胰岛素样生长因子 2 和自噬基因表达改变可作为帕金森病的潜在生物标志物。
Sci Rep. 2022 Feb 7;12(1):2038. doi: 10.1038/s41598-022-05941-1.
4
IGF2BP2 Regulates MALAT1 by Serving as an N6-Methyladenosine Reader to Promote NSCLC Proliferation.IGF2BP2通过作为N6-甲基腺苷阅读器调控MALAT1以促进非小细胞肺癌增殖。
Front Mol Biosci. 2022 Jan 17;8:780089. doi: 10.3389/fmolb.2021.780089. eCollection 2021.
5
Identification of the Role and Clinical Prognostic Value of Target Genes of m6A RNA Methylation Regulators in Glioma.m6A RNA甲基化调节剂靶基因在胶质瘤中的作用及临床预后价值的鉴定
Front Cell Dev Biol. 2021 Sep 13;9:709022. doi: 10.3389/fcell.2021.709022. eCollection 2021.
6
Brain and other central nervous system tumor statistics, 2021.脑和其他中枢神经系统肿瘤统计,2021 年。
CA Cancer J Clin. 2021 Sep;71(5):381-406. doi: 10.3322/caac.21693. Epub 2021 Aug 24.
7
YAP promotes autophagy and progression of gliomas via upregulating HMGB1.YAP 通过上调 HMGB1 促进神经胶质瘤的自噬和进展。
J Exp Clin Cancer Res. 2021 Mar 16;40(1):99. doi: 10.1186/s13046-021-01897-8.
8
Regulation of temozolomide resistance in glioma cells via the RIP2/NF-κB/MGMT pathway.通过 RIP2/NF-κB/MGMT 通路调控脑胶质瘤细胞替莫唑胺耐药。
CNS Neurosci Ther. 2021 May;27(5):552-563. doi: 10.1111/cns.13591. Epub 2021 Jan 18.
9
Clinical practice guidelines for the management of adult diffuse gliomas.成人弥漫性胶质瘤治疗的临床实践指南。
Cancer Lett. 2021 Feb 28;499:60-72. doi: 10.1016/j.canlet.2020.10.050. Epub 2020 Nov 6.
10
Tumor Suppressor microRNA-138 Suppresses Low-Grade Glioma Development and Metastasis via Regulating IGF2BP2.肿瘤抑制性微小RNA-138通过调控IGF2BP2抑制低级别胶质瘤的发生和转移。
Onco Targets Ther. 2020 Mar 13;13:2247-2260. doi: 10.2147/OTT.S232795. eCollection 2020.