Suppr超能文献

MRI 下直肠癌结构化分期和报告的要点与陷阱:一项国际多读者研究。

Pearls and pitfalls of structured staging and reporting of rectal cancer on MRI: an international multireader study.

机构信息

Department of Radiology, The Netherlands Cancer Institute, Amsterdam, The Netherlands.

GROW School for Oncology and Reproduction, Maastricht, The Netherlands.

出版信息

Br J Radiol. 2023 Oct 1;96(1150). doi: 10.1259/bjr.20230091.

Abstract

OBJECTIVES

To investigate uniformity and pitfalls in structured radiological staging of rectal cancer.

METHODS

Twenty-one radiologists (12 countries) staged 75 rectal cancers on MRI using a structured reporting template. Interobserver agreement (IOA) was calculated as the percentage agreement between readers (categorical variables) and Krippendorff's α (continuous variables). Agreement with an expert consensus served as a surrogate standard of reference to estimate diagnostic accuracy. Polychoric correlation coefficients were used to assess correlations between diagnostic confidence and accuracy (=agreement with expert consensus).

RESULTS

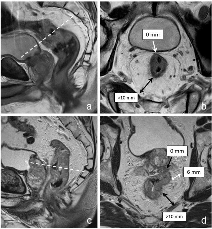
Uniformity to diagnose high-risk (≥cT3 ab) versus low-risk (≤cT3 cd) cT-stage, cN0 versus cN+, lateral nodes and tumour deposits, MRF and sphincter involvement, and solid versus mucinous tumours was high with IOA > 80% in the majority of cases (and >80% agreement with expert consensus). Results for assessing extramural vascular invasion, cT-stage (cT1-2/cT3/cT4a/cT4b), cN-stage (cN0/N1/N2), relation to the peritoneal reflection, extent of sphincter involvement (internal/intersphincteric/external) and morphology (solid/annular/semi-annular) were considerably poorer. IOA was high (α = 0.72-0.84) for tumour height/length and extramural invasion depth, but low for tumour-MRF distance and number of (suspicious) nodes (α = 0.05-0.55). There was a significant positive correlation between diagnostic confidence and accuracy (=agreement with expert consensus) (p < 0.001-p = 0.003).

CONCLUSIONS

  • Several staging items lacked sufficient reproducibility.- Results for cT- and N-staging g improved when using a dichotomized stratification.- Considering the significant correlation between diagnostic confidence and accuracy, a confidence level may be incorporated into structured reporting for specific items with low reproducibility.

ADVANCES IN KNOWLEDGE

Although structured reporting aims to achieve uniformity in reporting, several items lack sufficient reproducibility and might benefit from dichotomized assessment and incorporating confidence levels.

摘要

目的

探究直肠癌放射学分期的一致性和难点。

方法

21 名放射科医生(来自 12 个国家)使用结构化报告模板对 75 例直肠癌进行 MRI 分期。采用读者间百分比一致性(分类变量)和 Krippendorff 的 α(连续变量)来计算观察者间一致性(IOA)。以专家共识作为替代参考标准来评估诊断准确性。采用多质相关系数评估诊断信心与准确性(与专家共识的一致性)之间的相关性。

结果

对于诊断高危(≥cT3ab)与低危(≤cT3cd)cT 分期、cN0 与 cN+、侧方淋巴结和肿瘤沉积、MRF 和括约肌侵犯、实体瘤与黏液瘤,大多数情况下 IOA >80%,一致性>80%(与专家共识一致),具有高度一致性。对于评估外膜血管侵犯、cT 分期(cT1-2/cT3/cT4a/cT4b)、cN 分期(cN0/N1/N2)、与腹膜反射的关系、括约肌侵犯程度(内部/内括约肌/外部)和形态(实体/环状/半环状)的一致性则较差。肿瘤高度/长度和外膜侵犯深度的 IOA 较高(α=0.72-0.84),而肿瘤-MRF 距离和可疑淋巴结数量的 IOA 较低(α=0.05-0.55)。诊断信心与准确性(与专家共识一致)之间存在显著正相关(p<0.001-p=0.003)。

结论

  • 一些分期项目的可重复性不足。- 当使用二分类分层时,cT 和 N 分期的结果有所改善。- 考虑到诊断信心与准确性之间的显著相关性,对于可重复性较低的特定项目,可将置信度纳入结构化报告。

知识进展

尽管结构化报告旨在实现报告的一致性,但一些项目的可重复性不足,可能受益于二分类评估和纳入置信度。

https://cdn.ncbi.nlm.nih.gov/pmc/blobs/904c/10546463/b6413cbad8cf/bjr.20230091.g001.jpg

文献检索

告别复杂PubMed语法,用中文像聊天一样搜索,搜遍4000万医学文献。AI智能推荐,让科研检索更轻松。

立即免费搜索

文件翻译

保留排版,准确专业,支持PDF/Word/PPT等文件格式,支持 12+语言互译。

免费翻译文档

深度研究

AI帮你快速写综述,25分钟生成高质量综述,智能提取关键信息,辅助科研写作。

立即免费体验