Department of Physiology and Cell Biology, Faculty of Health Sciences, Ben-Gurion University of the Negev, P.O.B. 653, Beer Sheva 84105, Israel; The School of Brain Sciences and Cognition, Ben-Gurion University of the Negev, P.O.B. 653, Beer Sheva 84105, Israel.
Department of Neurology, Hannover Medical School, 30625 Hannover, Germany; Center for Systems Neuroscience, Hannover Medical School, 30625 Hannover, Germany.
Cell Rep Med. 2024 May 21;5(5):101546. doi: 10.1016/j.xcrm.2024.101546. Epub 2024 May 3.
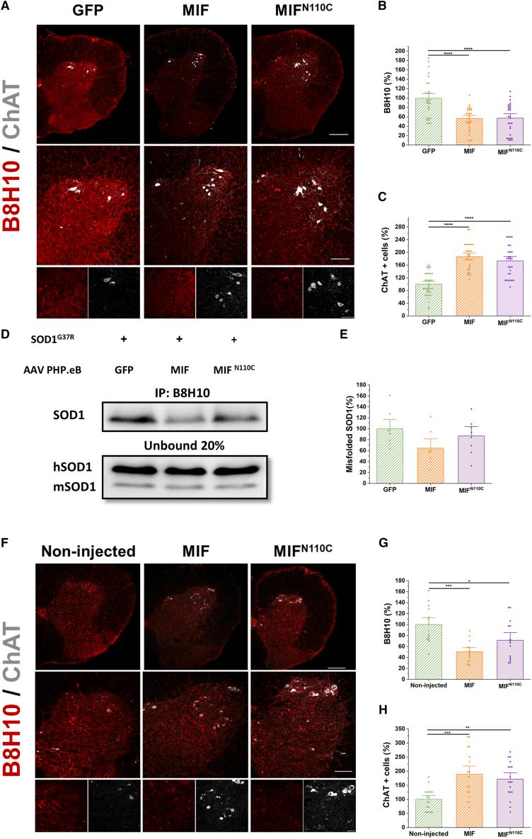
Mutations in SOD1 cause amyotrophic lateral sclerosis (ALS), a neurodegenerative disease characterized by motor neuron (MN) loss. We previously discovered that macrophage migration inhibitory factor (MIF), whose levels are extremely low in spinal MNs, inhibits mutant SOD1 misfolding and toxicity. In this study, we show that a single peripheral injection of adeno-associated virus (AAV) delivering MIF into adult SOD1 mice significantly improves their motor function, delays disease progression, and extends survival. Moreover, MIF treatment reduces neuroinflammation and misfolded SOD1 accumulation, rescues MNs, and corrects dysregulated pathways as observed by proteomics and transcriptomics. Furthermore, we reveal low MIF levels in human induced pluripotent stem cell-derived MNs from familial ALS patients with different genetic mutations, as well as in post mortem tissues of sporadic ALS patients. Our findings indicate that peripheral MIF administration may provide a potential therapeutic mechanism for modulating misfolded SOD1 in vivo and disease outcome in ALS patients.
SOD1 基因突变会导致肌萎缩侧索硬化症(ALS),这是一种以运动神经元(MN)丧失为特征的神经退行性疾病。我们之前发现,巨噬细胞移动抑制因子(MIF)在脊髓 MN 中的水平极低,能够抑制突变 SOD1 的错误折叠和毒性。在这项研究中,我们表明,单次外周注射腺相关病毒(AAV)将 MIF 递送到 SOD1 小鼠体内,可显著改善其运动功能,延缓疾病进展,并延长生存期。此外,MIF 治疗可减少神经炎症和错误折叠 SOD1 的积累,挽救 MN,并通过蛋白质组学和转录组学纠正失调的途径。此外,我们发现具有不同基因突变的家族性 ALS 患者诱导多能干细胞衍生的 MN 以及散发性 ALS 患者的死后组织中的 MIF 水平较低。我们的研究结果表明,外周 MIF 给药可能为调节 ALS 患者体内错误折叠 SOD1 以及疾病结果提供一种潜在的治疗机制。