• 文献检索
  • 文档翻译
  • 深度研究
  • 学术资讯
  • Suppr Zotero 插件Zotero 插件
  • 邀请有礼
  • 套餐&价格
  • 历史记录
应用&插件
Suppr Zotero 插件Zotero 插件浏览器插件Mac 客户端Windows 客户端微信小程序
定价
高级版会员购买积分包购买API积分包
服务
文献检索文档翻译深度研究API 文档MCP 服务
关于我们
关于 Suppr公司介绍联系我们用户协议隐私条款
关注我们

Suppr 超能文献

核心技术专利:CN118964589B侵权必究
粤ICP备2023148730 号-1Suppr @ 2026

文献检索

告别复杂PubMed语法,用中文像聊天一样搜索,搜遍4000万医学文献。AI智能推荐,让科研检索更轻松。

立即免费搜索

文件翻译

保留排版,准确专业,支持PDF/Word/PPT等文件格式,支持 12+语言互译。

免费翻译文档

深度研究

AI帮你快速写综述,25分钟生成高质量综述,智能提取关键信息,辅助科研写作。

立即免费体验

支气管内超声引导下电灼辅助经支气管纵隔冷冻活检在诊断非典型结节病继发纤维化纵隔炎中的应用:一例报告

Endobronchial ultrasound-guided cautery-assisted transbronchial mediastinal cryobiopsy in the diagnosis of fibrosing mediastinitis secondary to atypical sarcoidosis: a case report.

作者信息

Tang Nan, Tao Tao, Bao Xiao-Li

机构信息

Department of Respiratory and Critical Care Medicine, Chongqing University Fuling Hospital, Chongqing, China.

出版信息

AME Case Rep. 2024 Mar 27;8:49. doi: 10.21037/acr-23-160. eCollection 2024.

DOI:10.21037/acr-23-160
PMID:38711901
原文链接:https://pmc.ncbi.nlm.nih.gov/articles/PMC11070980/
Abstract

BACKGROUND

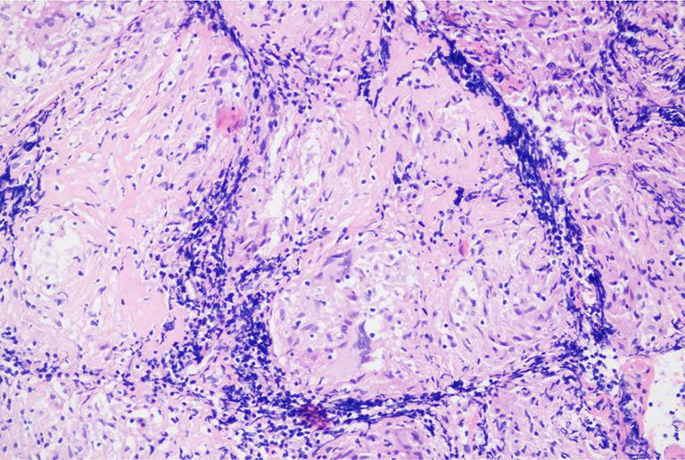
Fibrosing mediastinitis (FM) secondary to atypical sarcoidosis (atypical presentation of sarcoidosis) is rarely reported at home and abroad. Its clinical manifestations represent a lack of specificity, and the initial diagnosis is frequently difficult. In particular, this case has multiple pulmonary nodules with mediastinal lymph node enlargement and bilateral pleural effusion, and pulmonary fibrosis still exists after treatment, which is inconsistent with any clinical stage of pulmonary sarcoidosis, further increasing the diagnostic difficulty. We retrospectively analyzed the clinical data of a case of FM secondary to atypical sarcoidosis diagnosed by endobronchial ultrasound-guided cautery-assisted transbronchial mediastinal cryobiopsy (EBUS-CA-TBMCB) in Chongqing University Fuling Hospital, to improve clinicians' attention to FM and understand that EBUS-CA-TBMCB remains an effective way of etiological diagnosis.

CASE DESCRIPTION

A 70-year-old man was hospitalized with cough and dyspnea for two months. After admission, through chest computed tomography (CT), ultrasound guided bilateral lung biopsy, left parietal pleural biopsy, and EBUS-CA-TBMCB, the final diagnosis was atypical sarcoidosis secondary FM. After taking glucocorticoid orally, the patient's condition improved significantly, and was discharged from the hospital. We continued following up outside the hospital, and the patient's condition was further improved.

CONCLUSIONS

The diagnosis of FM is mainly based on typical imaging manifestations. When the contrast-enhanced chest CT finds localized or diffuse soft tissue density shadows around the mediastinum and pulmonary hilum with an irregular shape, with or without calcification, particular attention should be paid to exclude FM. EBUS-CA-TBMCB, as an improved minimally invasive method, can obtain enough tissue samples for pathological diagnosis, which may be the effective biopsy method for the etiology of FM to avoid missed diagnosis and misdiagnosis in the future.

摘要

背景

非典型结节病(结节病的非典型表现)继发的纤维性纵隔炎(FM)在国内外鲜有报道。其临床表现缺乏特异性,初始诊断常常困难。特别是本病例存在多发肺结节、纵隔淋巴结肿大及双侧胸腔积液,治疗后仍有肺纤维化,不符合肺结节病的任何临床分期,进一步增加了诊断难度。我们回顾性分析了重庆大学附属涪陵医院1例经支气管内超声引导电灼辅助经支气管纵隔冷冻活检(EBUS-CA-TBMCB)诊断为非典型结节病继发FM的临床资料,以提高临床医生对FM的重视,并认识到EBUS-CA-TBMCB仍是病因诊断的有效方法。

病例描述

一名70岁男性因咳嗽、呼吸困难2个月入院。入院后,通过胸部计算机断层扫描(CT)、超声引导下双侧肺活检、左顶叶胸膜活检及EBUS-CA-TBMCB,最终诊断为非典型结节病继发FM。口服糖皮质激素后,患者病情明显改善,出院。我们继续在院外随访,患者病情进一步好转。

结论

FM的诊断主要基于典型的影像学表现。当胸部增强CT发现纵隔和肺门周围有局部或弥漫性软组织密度影,形态不规则,有无钙化时,应特别注意排除FM。EBUS-CA-TBMCB作为一种改良的微创方法,能够获取足够的组织样本进行病理诊断,可能是避免未来FM病因漏诊和误诊的有效活检方法。

https://cdn.ncbi.nlm.nih.gov/pmc/blobs/25de/11070980/6a30c355093d/acr-08-23-160-f7.jpg
https://cdn.ncbi.nlm.nih.gov/pmc/blobs/25de/11070980/ba7c87acc1ce/acr-08-23-160-f1.jpg
https://cdn.ncbi.nlm.nih.gov/pmc/blobs/25de/11070980/841cac92bf1b/acr-08-23-160-f2.jpg
https://cdn.ncbi.nlm.nih.gov/pmc/blobs/25de/11070980/f1f3eb7b5352/acr-08-23-160-f3.jpg
https://cdn.ncbi.nlm.nih.gov/pmc/blobs/25de/11070980/6bdd4adeb4c5/acr-08-23-160-f4.jpg
https://cdn.ncbi.nlm.nih.gov/pmc/blobs/25de/11070980/399ca52e5c67/acr-08-23-160-f5.jpg
https://cdn.ncbi.nlm.nih.gov/pmc/blobs/25de/11070980/ff69a5e19684/acr-08-23-160-f6.jpg
https://cdn.ncbi.nlm.nih.gov/pmc/blobs/25de/11070980/6a30c355093d/acr-08-23-160-f7.jpg
https://cdn.ncbi.nlm.nih.gov/pmc/blobs/25de/11070980/ba7c87acc1ce/acr-08-23-160-f1.jpg
https://cdn.ncbi.nlm.nih.gov/pmc/blobs/25de/11070980/841cac92bf1b/acr-08-23-160-f2.jpg
https://cdn.ncbi.nlm.nih.gov/pmc/blobs/25de/11070980/f1f3eb7b5352/acr-08-23-160-f3.jpg
https://cdn.ncbi.nlm.nih.gov/pmc/blobs/25de/11070980/6bdd4adeb4c5/acr-08-23-160-f4.jpg
https://cdn.ncbi.nlm.nih.gov/pmc/blobs/25de/11070980/399ca52e5c67/acr-08-23-160-f5.jpg
https://cdn.ncbi.nlm.nih.gov/pmc/blobs/25de/11070980/ff69a5e19684/acr-08-23-160-f6.jpg
https://cdn.ncbi.nlm.nih.gov/pmc/blobs/25de/11070980/6a30c355093d/acr-08-23-160-f7.jpg

相似文献

1
Endobronchial ultrasound-guided cautery-assisted transbronchial mediastinal cryobiopsy in the diagnosis of fibrosing mediastinitis secondary to atypical sarcoidosis: a case report.支气管内超声引导下电灼辅助经支气管纵隔冷冻活检在诊断非典型结节病继发纤维化纵隔炎中的应用:一例报告
AME Case Rep. 2024 Mar 27;8:49. doi: 10.21037/acr-23-160. eCollection 2024.
2
Mediastinal Cryobiopsy for Pathological Diagnosis of Fibrosing Mediastinitis-Associated Pulmonary Hypertension.纵隔冷冻活检在纤维性纵隔炎相关肺动脉高压的病理诊断中的应用。
Respiration. 2024;103(2):95-99. doi: 10.1159/000535395. Epub 2024 Jan 25.
3
Early experience of endobronchial ultrasound-guided transbronchial nodal cryobiopsy: a case series from Sabah, Malaysia.经支气管超声引导下经支气管淋巴结冷冻活检的早期经验:来自马来西亚沙巴的一个病例系列。
Ther Adv Respir Dis. 2024 Jan-Dec;18:17534666241231122. doi: 10.1177/17534666241231122.
4
Pneumonia, pleurisy, mediastinitis, and mediastinal cyst infection secondary to endobronchial ultrasound-guided transbronchial needle aspiration: A case report.经支气管超声引导经支气管针吸活检术后并发肺炎、胸膜炎、纵隔炎和纵隔囊肿感染:一例报告。
Medicine (Baltimore). 2021 May 21;100(20):e25973. doi: 10.1097/MD.0000000000025973.
5
Severe mediastinitis and pericarditis after endobronchial ultrasound-guided transbronchial needle aspiration: A case report.经支气管超声引导下经支气管针吸活检术后发生严重纵隔炎和心包炎:一例报告
World J Clin Cases. 2021 Dec 6;9(34):10723-10727. doi: 10.12998/wjcc.v9.i34.10723.
6
Endobronchial ultrasound-guided transbronchial needle aspiration facilitating diagnosis of sarcoidosis in a breast cancer patient with multiple lymphadenopathy: a case report.支气管内超声引导经支气管针吸活检术有助于诊断乳腺癌伴多发性淋巴结病患者的结节病:病例报告。
J Med Case Rep. 2022 May 19;16(1):194. doi: 10.1186/s13256-022-03428-1.
7
Usefulness of endobronchial ultrasound-guided transbronchial needle aspiration for diagnosis of sarcoidosis.经支气管超声引导下经支气管针吸活检术在诊断结节病中的作用。
Yonsei Med J. 2013 Nov;54(6):1416-21. doi: 10.3349/ymj.2013.54.6.1416.
8
Is the diagnostic yield of mediastinal lymph node cryobiopsy (cryoEBUS) better for diagnosing mediastinal node involvement compared to endobronchial ultrasound-guided transbronchial needle aspiration (EBUS-TBNA)? A systematic review.纵隔淋巴结冷冻活检(cryoEBUS)与支气管内超声引导经支气管针吸活检术(EBUS-TBNA)相比,诊断纵隔淋巴结受累的诊断率更高吗?一项系统评价。
Respir Med. 2023 Nov;218:107389. doi: 10.1016/j.rmed.2023.107389. Epub 2023 Aug 12.
9
Optimizing the endoscopic diagnosis of mediastinal lymphadenopathy: a glimpse on cryobiopsy.优化纵隔淋巴结病的内镜诊断:冷冻活检一瞥。
BMC Pulm Med. 2022 Sep 19;22(1):355. doi: 10.1186/s12890-022-02160-2.
10
Potential application of cryobiopsy for histo-molecular characterization of mediastinal lymph nodes in patients with thoracic malignancies: a case presentation series and implications for future developments.冷冻活检在胸部恶性肿瘤患者纵隔淋巴结组织分子特征分析中的潜在应用:病例报告系列及对未来发展的启示
BMC Pulm Med. 2022 Jan 8;22(1):5. doi: 10.1186/s12890-021-01814-x.

本文引用的文献

1
Sarcoidosis associated pleural effusion: Clinical aspects.结节病相关胸腔积液:临床特征。
Respir Med. 2022 Jan;191:106723. doi: 10.1016/j.rmed.2021.106723. Epub 2021 Dec 20.
2
CT features of fibrosing mediastinitis.纵隔纤维化的CT特征。
Diagn Interv Imaging. 2021 Dec;102(12):759-762. doi: 10.1016/j.diii.2021.05.013. Epub 2021 Jun 22.
3
Clinical Features of Fibrosing Mediastinitis in Japanese Patients: Two Case Reports and a Literature Review.日本患者纤维性纵隔炎的临床特征:两例病例报告及文献复习。
Intern Med. 2021 Dec 1;60(23):3765-3772. doi: 10.2169/internalmedicine.5737-20. Epub 2021 May 22.
4
Transbronchial mediastinal cryobiopsy in the diagnosis of mediastinal lesions: a randomised trial.经支气管纵隔冷冻活检在纵隔病变诊断中的应用:一项随机试验。
Eur Respir J. 2021 Dec 9;58(6). doi: 10.1183/13993003.00055-2021. Print 2021 Dec.
5
Diagnosis and Detection of Sarcoidosis. An Official American Thoracic Society Clinical Practice Guideline.结节病的诊断与检测:美国胸科学会临床实践指南
Am J Respir Crit Care Med. 2020 Apr 15;201(8):e26-e51. doi: 10.1164/rccm.202002-0251ST.
6
Fibrosing mediastinitis mimicking as chronic pulmonary thromboembolism.酷似慢性肺血栓栓塞症的纤维性纵隔炎
BJR Case Rep. 2020 Feb 12;6(1):20190049. doi: 10.1259/bjrcr.20190049. eCollection 2020 Mar.
7
Diagnostic Accuracy of Endobronchial Ultrasound Transbronchial Needle Aspiration in Lymphoma. A Systematic Review and Meta-Analysis.经支气管超声引导针吸活检术对淋巴瘤的诊断准确性:系统评价和荟萃分析。
Ann Am Thorac Soc. 2019 Nov;16(11):1432-1439. doi: 10.1513/AnnalsATS.201902-175OC.
8
Multimodality Imaging of Focal and Diffuse Fibrosing Mediastinitis.局灶性和弥漫性纤维性纵隔炎的多模态影像学。
Radiographics. 2019 May-Jun;39(3):651-667. doi: 10.1148/rg.2019180143. Epub 2019 Apr 5.
9
Catheter based treatments for fibrosing mediastinitis.基于导管的纤维性纵隔炎治疗方法。
Catheter Cardiovasc Interv. 2019 Nov 15;94(6):878-885. doi: 10.1002/ccd.28152. Epub 2019 Feb 21.
10
Pulmonary Arterial Bypass Surgery for Fibrosing Mediastinitis Causing Severe Pulmonary Hypertension.肺血管旁路手术治疗纤维性纵隔炎导致的重度肺动脉高压。
Ann Thorac Surg. 2019 Jun;107(6):e411-e413. doi: 10.1016/j.athoracsur.2018.09.067. Epub 2018 Nov 14.