• 文献检索
  • 文档翻译
  • 深度研究
  • 学术资讯
  • Suppr Zotero 插件Zotero 插件
  • 邀请有礼
  • 套餐&价格
  • 历史记录
应用&插件
Suppr Zotero 插件Zotero 插件浏览器插件Mac 客户端Windows 客户端微信小程序
定价
高级版会员购买积分包购买API积分包
服务
文献检索文档翻译深度研究API 文档MCP 服务
关于我们
关于 Suppr公司介绍联系我们用户协议隐私条款
关注我们

Suppr 超能文献

核心技术专利:CN118964589B侵权必究
粤ICP备2023148730 号-1Suppr @ 2026

文献检索

告别复杂PubMed语法,用中文像聊天一样搜索,搜遍4000万医学文献。AI智能推荐,让科研检索更轻松。

立即免费搜索

文件翻译

保留排版,准确专业,支持PDF/Word/PPT等文件格式,支持 12+语言互译。

免费翻译文档

深度研究

AI帮你快速写综述,25分钟生成高质量综述,智能提取关键信息,辅助科研写作。

立即免费体验

小儿小脑挫伤的预后及形态学因素

Prognostic and morphological factors in pediatric cerebellar contusions.

作者信息

Morgan Ryan D, Kharbat Abdurrahman F, Youssi Brandon W, Garza John, Nagy Laszlo

机构信息

School of Medicine, Texas Tech University Health Sciences Center, Lubbock, Texas, United States.

Department of Neurosurgery, University of Oklahoma, Oklahoma City, Oklahoma, United States.

出版信息

Surg Neurol Int. 2024 Apr 5;15:117. doi: 10.25259/SNI_988_2023. eCollection 2024.

DOI:10.25259/SNI_988_2023
PMID:38741990
原文链接:https://pmc.ncbi.nlm.nih.gov/articles/PMC11090551/
Abstract

BACKGROUND

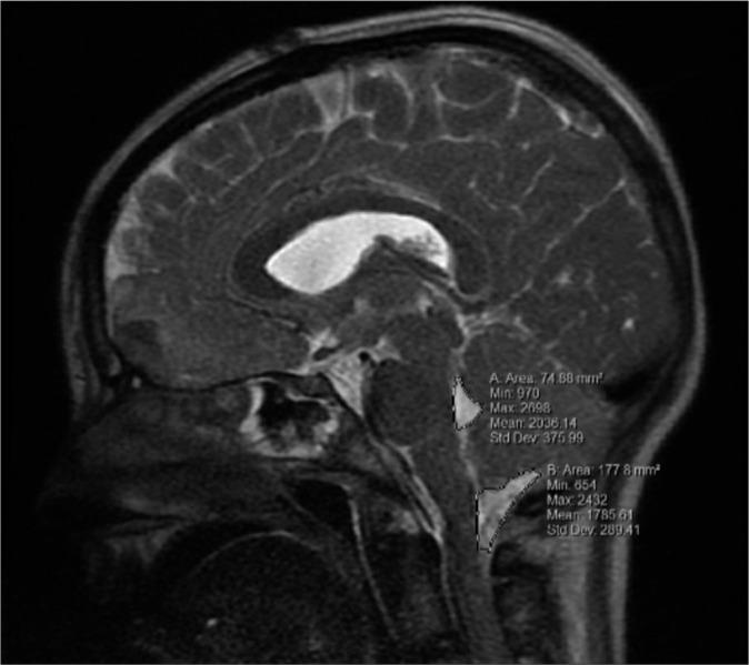
Although uncommon, cerebellar contusions are associated with significant morbidity and mortality. Literature is lacking in the prognostic and morphological factors relating to their clinical picture and outcomes, especially within children. The objective of this study is to evaluate prognostic and anatomic factors in the clinical picture of cerebellar contusions, including effacement of the 4 ventricle and cisterna magna.

METHODS

This is a retrospective chart review over 11 years across two medical centers. Patients included were under 18 years who presented with a cerebellar contusion. Patients were stratified within the study group based on discharge Glasgow outcome scale (GOS) and reviewed for prognostic factors contributing to outcome. Mid sagittal area of the 4 ventricle and cisterna magna were measured using magnetic resonance imaging and compared within the groups.

RESULTS

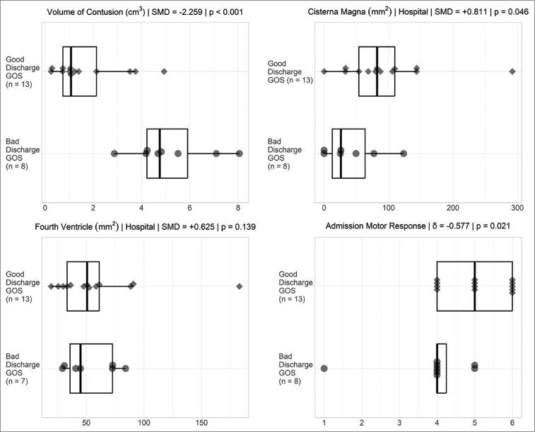
A total of 21 patients met the study criteria, of which 16 (76.2%) were male, with an average patient age of 8.65 years. Poor outcome at discharge (GOS <4) was associated with decreased admission Glasgow coma scale ( = 0.003), admission motor response ( = 0.006), pupil reactivity ( = 0.014), presence of concomitant subarachnoid hemorrhage ( = 0.010), contusion volume ( < 0.001), and decreased area of the cisterna magna ( = 0.012). Patients with poor outcomes were also more likely to require surgical intervention ( = 0.042).

CONCLUSION

There are multiple prognostic factors associated with the overall outcome following cerebellar contusions. The rate of good outcomes in this study was superior to that in previous studies in adults.

摘要

背景

尽管小脑挫伤并不常见,但却与显著的发病率和死亡率相关。关于其临床症状及预后的预后因素和形态学因素的文献较少,尤其是在儿童中。本研究的目的是评估小脑挫伤临床症状中的预后因素和解剖学因素,包括第四脑室和小脑延髓池的受压情况。

方法

这是一项对两个医疗中心11年间病例的回顾性研究。纳入的患者为18岁以下的小脑挫伤患者。根据出院时的格拉斯哥预后量表(GOS)对研究组患者进行分层,并对影响预后的因素进行分析。使用磁共振成像测量第四脑室和小脑延髓池的矢状面中部面积,并在各组之间进行比较。

结果

共有21例患者符合研究标准,其中16例(76.2%)为男性,患者平均年龄为8.65岁。出院时预后不良(GOS<4)与入院时格拉斯哥昏迷量表评分降低(=0.003)、入院时运动反应(=0.006)、瞳孔反应性(=0.014)、合并蛛网膜下腔出血(=0.010)、挫伤体积(<0.001)以及小脑延髓池面积减小(=0.012)有关。预后不良的患者也更有可能需要手术干预(=0.042)。

结论

小脑挫伤后的总体预后有多个预后因素。本研究中的良好预后率高于先前关于成人的研究。

https://cdn.ncbi.nlm.nih.gov/pmc/blobs/8cae/11090551/db73fef4bd7f/SNI-15-117-g004.jpg
https://cdn.ncbi.nlm.nih.gov/pmc/blobs/8cae/11090551/471e15e60678/SNI-15-117-g001.jpg
https://cdn.ncbi.nlm.nih.gov/pmc/blobs/8cae/11090551/f6249996758b/SNI-15-117-g002.jpg
https://cdn.ncbi.nlm.nih.gov/pmc/blobs/8cae/11090551/3d0f66fb695b/SNI-15-117-g003.jpg
https://cdn.ncbi.nlm.nih.gov/pmc/blobs/8cae/11090551/db73fef4bd7f/SNI-15-117-g004.jpg
https://cdn.ncbi.nlm.nih.gov/pmc/blobs/8cae/11090551/471e15e60678/SNI-15-117-g001.jpg
https://cdn.ncbi.nlm.nih.gov/pmc/blobs/8cae/11090551/f6249996758b/SNI-15-117-g002.jpg
https://cdn.ncbi.nlm.nih.gov/pmc/blobs/8cae/11090551/3d0f66fb695b/SNI-15-117-g003.jpg
https://cdn.ncbi.nlm.nih.gov/pmc/blobs/8cae/11090551/db73fef4bd7f/SNI-15-117-g004.jpg

相似文献

1
Prognostic and morphological factors in pediatric cerebellar contusions.小儿小脑挫伤的预后及形态学因素
Surg Neurol Int. 2024 Apr 5;15:117. doi: 10.25259/SNI_988_2023. eCollection 2024.
2
Prognostic Significance of Magnetic Resonance Imaging in Detecting Diffuse Axonal Injuries: Analysis of Outcomes and Review of Literature.磁共振成像在检测弥漫性轴索损伤中的预后意义:结果分析及文献复习。
Neurol India. 2022 Nov-Dec;70(6):2371-2377. doi: 10.4103/0028-3886.364066.
3
Traumatic Cerebellar Hematoma: A Tertiary Care Experience of 23 Conservatively Managed Cases.创伤性小脑血肿:23例保守治疗病例的三级医疗经验
Asian J Neurosurg. 2020 Dec 21;15(4):882-888. doi: 10.4103/ajns.AJNS_309_20. eCollection 2020 Oct-Dec.
4
Impact of Glasgow Coma Scale score and pupil parameters on mortality rate and outcome in pediatric and adult severe traumatic brain injury: a retrospective, multicenter cohort study.格拉斯哥昏迷评分和瞳孔参数对儿童和成人严重创伤性脑损伤患者死亡率和预后的影响:一项回顾性、多中心队列研究。
J Neurosurg. 2017 Mar;126(3):760-767. doi: 10.3171/2016.1.JNS152385. Epub 2016 Apr 1.
5
Post-operative expansion of hemorrhagic contusions after unilateral decompressive hemicraniectomy in severe traumatic brain injury.严重创伤性脑损伤单侧减压性颅骨切除术术后出血性挫伤的扩大
J Neurotrauma. 2008 May;25(5):503-12. doi: 10.1089/neu.2007.0442.
6
Intensive management and prognosis of 127 cases with traumatic bilateral frontal contusions.127 例创伤性双侧额部脑挫裂伤的强化治疗与预后
World Neurosurg. 2013 Dec;80(6):879-88. doi: 10.1016/j.wneu.2013.01.020. Epub 2013 Jan 9.
7
Simplifying the use of prognostic information in traumatic brain injury. Part 2: Graphical presentation of probabilities.简化创伤性脑损伤预后信息的使用。第 2 部分:概率的图形表示。
J Neurosurg. 2018 Jun;128(6):1621-1634. doi: 10.3171/2017.12.JNS172782. Epub 2018 Apr 10.
8
Factors associated with neurological outcome and lesion progression in traumatic subarachnoid hemorrhage patients.创伤性蛛网膜下腔出血患者神经功能预后及病变进展的相关因素
Neurosurgery. 2005 Apr;56(4):671-80; discussion 671-80. doi: 10.1227/01.neu.0000156200.76331.7a.
9
Improving Survival with Tranexamic Acid in Cerebral Contusions or Traumatic Subarachnoid Hemorrhage: Univariate and Multivariate Analysis of Independent Factors Associated with Lower Mortality.氨甲环酸治疗脑挫裂伤或外伤性蛛网膜下腔出血的效果评价:与降低病死率相关的独立因素的单变量和多变量分析。
World Neurosurg. 2019 May;125:e665-e670. doi: 10.1016/j.wneu.2019.01.145. Epub 2019 Feb 2.
10
Predictors of radiological contusion progression in traumatic brain injury.创伤性脑损伤中放射性挫伤进展的预测因素。
Int J Burns Trauma. 2023 Apr 15;13(2):58-64. eCollection 2023.

本文引用的文献

1
Traumatic Cerebellar Hematoma: A Tertiary Care Experience of 23 Conservatively Managed Cases.创伤性小脑血肿:23例保守治疗病例的三级医疗经验
Asian J Neurosurg. 2020 Dec 21;15(4):882-888. doi: 10.4103/ajns.AJNS_309_20. eCollection 2020 Oct-Dec.
2
Traumatic Posterior Fossa Hematoma, A Rare Entity: Study of 21 Cases.创伤性后颅窝血肿:一种罕见病症——21例病例研究
J Neurosci Rural Pract. 2019 Oct;10(4):675-682. doi: 10.1055/s-0039-1696610. Epub 2019 Nov 11.
3
Trend of Age-Adjusted Rates of Pediatric Traumatic Brain Injury in U.S. Emergency Departments from 2006 to 2013.
2006 年至 2013 年美国急诊科儿童创伤性脑损伤的年龄调整发生率趋势。
Int J Environ Res Public Health. 2018 Jun 5;15(6):1171. doi: 10.3390/ijerph15061171.
4
Static and Dynamic Factors Promoting Resilience following Traumatic Brain Injury: A Brief Review.创伤性脑损伤后促进恢复力的静态和动态因素:简要综述
Neural Plast. 2015;2015:902802. doi: 10.1155/2015/902802. Epub 2015 Aug 4.
5
Cerebellar mutism following closed head injury in a child.儿童闭合性颅脑损伤后出现的小脑缄默症。
Sultan Qaboos Univ Med J. 2015 Feb;15(1):e133-5. Epub 2015 Jan 21.
6
Traumatic intracerebellar haematoma: To operate or not to operate?创伤性小脑血肿:手术与否?
Br J Neurosurg. 2015 Jun;29(3):353-7. doi: 10.3109/02688697.2014.987215. Epub 2014 Dec 9.
7
Traumatic intra-cerebellar haematoma: study of 17 cases.创伤性小脑内血肿:17例病例研究
Br J Neurosurg. 2011 Feb;25(1):62-7. doi: 10.3109/02688697.2010.500410. Epub 2010 Jul 22.
8
Traumatic intracerebellar hemorrhage: clinicoradiological analysis of 81 patients.创伤性小脑出血:81例患者的临床影像学分析
Neurosurgery. 2002 Jan;50(1):16-25; discussion 25-7. doi: 10.1097/00006123-200201000-00004.
9
Traumatic intracerebellar hemorrhagic contusions and hematomas.创伤性小脑内出血性挫伤和血肿
J Neurosurg Sci. 2001 Mar;45(1):29-37.
10
Indication to surgical management of cerebellar hemorrhage.小脑出血的手术治疗指征。
Clin Neurol Neurosurg. 1998 Jun;100(2):99-103. doi: 10.1016/s0303-8467(98)00015-8.