• 文献检索
  • 文档翻译
  • 深度研究
  • 学术资讯
  • Suppr Zotero 插件Zotero 插件
  • 邀请有礼
  • 套餐&价格
  • 历史记录
应用&插件
Suppr Zotero 插件Zotero 插件浏览器插件Mac 客户端Windows 客户端微信小程序
定价
高级版会员购买积分包购买API积分包
服务
文献检索文档翻译深度研究API 文档MCP 服务
关于我们
关于 Suppr公司介绍联系我们用户协议隐私条款
关注我们

Suppr 超能文献

核心技术专利:CN118964589B侵权必究
粤ICP备2023148730 号-1Suppr @ 2026

文献检索

告别复杂PubMed语法,用中文像聊天一样搜索,搜遍4000万医学文献。AI智能推荐,让科研检索更轻松。

立即免费搜索

文件翻译

保留排版,准确专业,支持PDF/Word/PPT等文件格式,支持 12+语言互译。

免费翻译文档

深度研究

AI帮你快速写综述,25分钟生成高质量综述,智能提取关键信息,辅助科研写作。

立即免费体验

甲状腺内胸腺癌与甲状腺乳头状癌并存:一例报告及文献复习

Coexistence of intrathyroid thymic carcinoma and papillary thyroid carcinoma: a case report and literature review.

作者信息

Vajihinejad Maryam, Ataei Ali, Pashmchi Mohammad, Aledavoud Ali, Zand Vahid, Broomand Mohammad Ali, Mohammadi Mohammad, Reshkuiyeh Niloofar Zare

机构信息

Department of Pathology, Shahid Sadoughi University of Medical Sciences, Yazd, Iran.

School of Medicine, Bam University of Medical Sciences, Bam, Iran.

出版信息

Front Oncol. 2024 May 3;14:1394020. doi: 10.3389/fonc.2024.1394020. eCollection 2024.

DOI:10.3389/fonc.2024.1394020
PMID:38764579
原文链接:https://pmc.ncbi.nlm.nih.gov/articles/PMC11099278/
Abstract

BACKGROUND

Intrathyroid thymic carcinoma (ITTC) is a rare neoplasm of the thyroid, which accounts for less than 0.15% of all thyroid malignancies. The coexistence of ITTC and papillary thyroid carcinoma (PTC) is an extremely rare condition reported only in a limited number of cases.

CASE SUMMARY

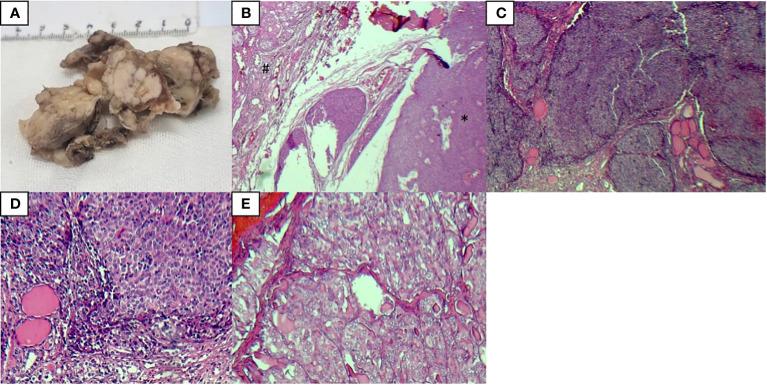
A 26-year-old female presented with a growing neck mass, hoarseness, and dysphagia over four months. Ultrasonography revealed that the entire left lobe and the isthmus of the thyroid were replaced with a hypoechoic mass. Moreover, it revealed two hypoechoic nodules in the right thyroid. The patient underwent a total thyroidectomy and paratracheal lymph node dissection. Histopathological examinations revealed the coexistence of ITTC and PTC in the same thyroid. In immunohistochemical analyses, the ITTC was positive for CD5, P63, CD117, and CK 5/6 and negative for thyroglobulin, calcitonin, and TTF 1. At the same time, PTC was positive for TTF 1 and thyroglobulin and negative for CD5, P63, and CK 5/6. The patient received postoperative radiotherapy and remained well with no evidence of recurrence during one month follow-up.

CONCLUSION

Distinguishing ITTC from other thyroid malignancies before the surgery is challenging due to its non-specific presentations. Therefore, the diagnosis relies on postoperative studies, especially immunohistochemistry. The recommended treatment approach to improve survival in ITTC cases is total thyroidectomy combined with cervical lymph node dissection, followed by postoperative radiotherapy. The coexistence of ITTC and PTC may indicate the similarity in the underlying mechanisms of these tumors. However, further investigations are needed to understand this potential correlation.

摘要

背景

甲状腺内胸腺癌(ITTC)是一种罕见的甲状腺肿瘤,占所有甲状腺恶性肿瘤的比例不到0.15%。ITTC与甲状腺乳头状癌(PTC)共存是一种极为罕见的情况,仅在少数病例中有报道。

病例摘要

一名26岁女性在四个月内出现颈部肿块增大、声音嘶哑和吞咽困难。超声检查显示甲状腺的整个左叶和峡部被一个低回声肿块取代。此外,还发现右侧甲状腺有两个低回声结节。患者接受了甲状腺全切术和气管旁淋巴结清扫术。组织病理学检查显示同一甲状腺内存在ITTC和PTC共存。免疫组化分析中,ITTC对CD5、P63、CD117和CK 5/6呈阳性,对甲状腺球蛋白、降钙素和TTF 1呈阴性。同时,PTC对TTF 1和甲状腺球蛋白呈阳性,对CD5、P63和CK 5/6呈阴性。患者接受了术后放疗,在一个月的随访期间情况良好,无复发迹象。

结论

由于ITTC的表现不具有特异性,术前将其与其他甲状腺恶性肿瘤区分开来具有挑战性。因此,诊断依赖于术后检查,尤其是免疫组化。提高ITTC病例生存率的推荐治疗方法是甲状腺全切术联合颈部淋巴结清扫术,随后进行术后放疗。ITTC和PTC的共存可能表明这些肿瘤在潜在机制上具有相似性。然而,需要进一步研究来了解这种潜在的相关性。

https://cdn.ncbi.nlm.nih.gov/pmc/blobs/b42c/11099278/fe18806fe5f3/fonc-14-1394020-g002.jpg
https://cdn.ncbi.nlm.nih.gov/pmc/blobs/b42c/11099278/6b96fa0867b0/fonc-14-1394020-g001.jpg
https://cdn.ncbi.nlm.nih.gov/pmc/blobs/b42c/11099278/fe18806fe5f3/fonc-14-1394020-g002.jpg
https://cdn.ncbi.nlm.nih.gov/pmc/blobs/b42c/11099278/6b96fa0867b0/fonc-14-1394020-g001.jpg
https://cdn.ncbi.nlm.nih.gov/pmc/blobs/b42c/11099278/fe18806fe5f3/fonc-14-1394020-g002.jpg

相似文献

1
Coexistence of intrathyroid thymic carcinoma and papillary thyroid carcinoma: a case report and literature review.甲状腺内胸腺癌与甲状腺乳头状癌并存:一例报告及文献复习
Front Oncol. 2024 May 3;14:1394020. doi: 10.3389/fonc.2024.1394020. eCollection 2024.
2
Case Reports: A role of postoperative radiation therapy in completely resected early stage intrathyroid thymic carcinoma: a case report and literature review of the diagnosis and treatment.病例报告:术后放疗在完全切除的早期甲状腺内胸腺癌中的作用:一例病例报告及诊断与治疗的文献综述
Front Oncol. 2023 Oct 2;13:1234961. doi: 10.3389/fonc.2023.1234961. eCollection 2023.
3
Intrathyroid thymic carcinoma: A clinicopathological analysis of 22 cases.甲状腺内胸腺癌:22 例临床病理分析。
Ann Diagn Pathol. 2023 Dec;67:152221. doi: 10.1016/j.anndiagpath.2023.152221. Epub 2023 Oct 28.
4
Robot-assisted Sistrunk's operation, total thyroidectomy, and neck dissection via a transaxillary and retroauricular (TARA) approach in papillary carcinoma arising in thyroglossal duct cyst and thyroid gland.经腋后(TARA)入路机器人辅助施行 Sistrunk 手术、甲状腺全切除术和颈淋巴结清扫术治疗甲状舌管囊肿和甲状腺起源的乳头状癌
Ann Surg Oncol. 2012 Dec;19(13):4259-61. doi: 10.1245/s10434-012-2674-y. Epub 2012 Oct 16.
5
[Clinicopathological Features of Intrathyroid Thymic Carcinoma].[甲状腺内胸腺癌的临床病理特征]
Zhongguo Yi Xue Ke Xue Yuan Xue Bao. 2021 Feb 28;43(1):42-46. doi: 10.3881/j.issn.1000-503X.12609.
6
Intermixed medullary and papillary thyroid cancer in a patient with renal cell carcinoma.一名肾细胞癌患者合并有髓样和乳头状甲状腺癌。
Endocrinol Diabetes Metab Case Rep. 2020 Jun 4;2020. doi: 10.1530/EDM-20-0025.
7
[A Case of Carcinoma Showing Thymus-Like Differentiation (CASTLE) of the Thyroid].[1例甲状腺呈现胸腺样分化的癌(CASTLE)]
J UOEH. 2018;40(3):259-266. doi: 10.7888/juoeh.40.259.
8
Identification of Recurrent TERT Promoter Mutations in Intrathyroid Thymic Carcinomas.甲状腺内胸腺癌中 TERT 启动子突变的鉴定。
Endocr Pathol. 2020 Sep;31(3):274-282. doi: 10.1007/s12022-020-09635-0.
9
Identification of a neck lump as a lymph node metastasis from an occult contralateral papillary microcarcinoma of the thyroid: key role of thyroglobulin assay in the fine-needle aspirate.将颈部肿块鉴定为隐匿性对侧甲状腺乳头状微小癌的淋巴结转移:甲状腺球蛋白检测在细针穿刺抽吸中的关键作用
Thyroid. 2009 May;19(5):531-3. doi: 10.1089/thy.2009.0049.
10
Clinicopathological features and outcomes of intrathyroidal thymic carcinoma: a single institution study.甲状腺内胸腺癌的临床病理特征和结局:单机构研究。
Endocr J. 2022 Nov 28;69(11):1351-1356. doi: 10.1507/endocrj.EJ22-0141. Epub 2022 Jun 29.

本文引用的文献

1
Two cases of concurrent carcinoma showing thymus-like differentiation (CASTLE) coexisting with papillary thyroid carcinoma.两例同时存在的具有胸腺样分化的癌(CASTLE)与甲状腺乳头状癌共存。
J Surg Case Rep. 2023 Sep 24;2023(9):rjad527. doi: 10.1093/jscr/rjad527. eCollection 2023 Sep.
2
Intrathyroid thymic carcinoma: clinicopathological features and whole exome sequencing analysis.甲状腺内胸腺癌:临床病理特征和全外显子组测序分析。
Virchows Arch. 2023 May;482(5):813-822. doi: 10.1007/s00428-023-03536-3. Epub 2023 Apr 5.
3
A case of concurrent occurrence of carcinoma showing thymus-like differentiation and follicular variant of papillary thyroid cancer in the same thyroid.
同一甲状腺内同时发生具有胸腺样分化的癌和甲状腺乳头状癌滤泡变体的病例。
J Surg Case Rep. 2022 Jan 15;2022(1):rjab570. doi: 10.1093/jscr/rjab570. eCollection 2022 Jan.
4
Carcinoma Showing Thymus-like Differentiation (CASTLE) with Synchronous Papillary Thyroid Carcinoma: A Case Report and Review.具有胸腺样分化特征的癌(CASTLE)伴发甲状腺乳头状癌:病例报告及文献复习。
Ear Nose Throat J. 2024 Jul;103(7):NP411-NP421. doi: 10.1177/01455613211060167. Epub 2021 Dec 6.
5
Recurrence of carcinoma showing thymus-like differentiation (CASTLE) involving the thyroid gland.表现为胸腺样分化的癌(CASTLE)累及甲状腺的复发。
Thyroid Res. 2021 Aug 16;14(1):20. doi: 10.1186/s13044-021-00111-3.
6
Outcome of patients with intrathyroidal thymic carcinoma: a pooled analysis.甲状腺内胸腺癌患者的预后:一项汇总分析。
Endocr Relat Cancer. 2021 Jul 5;28(8):593-604. doi: 10.1530/ERC-21-0123.
7
Updates in the Pathologic Classification of Thyroid Neoplasms: A Review of the World Health Organization Classification.甲状腺肿瘤病理学分类的更新:对世界卫生组织分类的综述。
Endocrinol Metab (Seoul). 2020 Dec;35(4):696-715. doi: 10.3803/EnM.2020.807. Epub 2020 Dec 2.
8
Identification of Recurrent TERT Promoter Mutations in Intrathyroid Thymic Carcinomas.甲状腺内胸腺癌中 TERT 启动子突变的鉴定。
Endocr Pathol. 2020 Sep;31(3):274-282. doi: 10.1007/s12022-020-09635-0.
9
The 'CASTLE' tumour: An extremely rare presentation of a thyroid malignancy. A case report.“CASTLE”肿瘤:一种极其罕见的甲状腺恶性肿瘤表现。病例报告。
Ann Med Surg (Lond). 2019 Jun 30;44:57-61. doi: 10.1016/j.amsu.2019.06.013. eCollection 2019 Aug.
10
Management and Prognostic Factors for Thyroid Carcinoma Showing Thymus-Like Elements (CASTLE): A Case Series Study.具有胸腺样成分的甲状腺癌(CASTLE)的管理与预后因素:一项病例系列研究
Front Oncol. 2018 Oct 26;8:477. doi: 10.3389/fonc.2018.00477. eCollection 2018.