Suppr超能文献

Primary leiomyosarcoma of the thyroid gland: A rare case report and literature review.

作者信息

Huang Ziwei, Yu Xiping, Yan Jialang, Yin Yuanxiao, Li Junhao, Zheng Yixiong

机构信息

Department of General Surgery, School of Medicine, The Fourth Affiliated Hospital, Zhejiang University, Yiwu 322000, China.

Department of Pathology, School of Medicine, The Fourth Affiliated Hospital, Zhejiang University, Yiwu 322000, China.

出版信息

Int J Surg Case Rep. 2024 Jun;119:109773. doi: 10.1016/j.ijscr.2024.109773. Epub 2024 May 17.

Abstract

INTRODUCTION

Primary thyroid leiomyosarcoma is an extremely rare soft tissue sarcoma, characterized by high malignancy and poor prognosis. Currently, only 13 cases of primary thyroid leiomyosarcoma have been described in the medical literature (limited to English).

CASE PRESENTATION

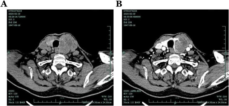
A 76-year-old female presented with a giant neck mass. Physical examination revealed a large, firm mass in the left thyroid gland. No symptoms such as hoarseness or dysphagia were noted at the time of presentation. The patient underwent unilateral thyroidectomy and cervical lymph node dissection.

CLINICAL DISCUSSION

Pathologic findings revealed a low-grade sarcoma with spindle-shaped tumor cells in an interwoven, sheet-like distribution. Immunohistochemistry showed positivity for desmin, SMMHC, STAT6, CK19, and Galectin3, but negativity for S-100, MyoD1, CD34, CK (AE1/AE3), CD117, and CD56. The findings were consistent with thyroid leiomyosarcoma.

CONCLUSION

The treatment of primary thyroid LMS presents challenges due to its atypical symptoms and high malignance, highlighting the imperative for further exploration of therapeutic strategies to improve the outcomes.

摘要
https://cdn.ncbi.nlm.nih.gov/pmc/blobs/4833/11128507/afd064617a57/gr1.jpg

相似文献

1
Primary leiomyosarcoma of the thyroid gland: A rare case report and literature review.
Int J Surg Case Rep. 2024 Jun;119:109773. doi: 10.1016/j.ijscr.2024.109773. Epub 2024 May 17.
2
A rare primary leiomyosarcoma of the parotid gland: A case report and literature review.
Am J Otolaryngol. 2018 May-Jun;39(3):345-348. doi: 10.1016/j.amjoto.2018.01.010. Epub 2018 Feb 1.
3
Pulmonary leiomyosarcoma metastatic to the thyroid gland: case report and review of the literature.
Ann Endocrinol (Paris). 2011 Sep;72(4):314-316. doi: 10.1016/j.ando.2011.06.001. Epub 2011 Jul 23.
4
Leiomyosarcoma with osteoclast-like (LMS-OGC) giant cells the breast: A report of a rare case.
Thorac Cancer. 2019 Oct;10(10):2054-2056. doi: 10.1111/1759-7714.13190. Epub 2019 Sep 1.
8
An unusual clinical presentation of a rare tumor of the thyroid gland: report on one case of leiomyosarcoma and review of literature.
Ann Diagn Pathol. 2008 Feb;12(1):50-6. doi: 10.1016/j.anndiagpath.2006.06.006. Epub 2007 Jul 24.
9
Primary adrenal leiomyosarcoma: case report and review of the literature.
Int J Surg Pathol. 2014 Dec;22(8):722-6. doi: 10.1177/1066896914526777. Epub 2014 Mar 11.
10
Primary leiomyosarcoma of the thyroid gland.
Surg Today. 1997;27(2):177-80. doi: 10.1007/BF02385912.

引用本文的文献

1
A Case Report of Metastatic Primary Thyroid Sarcoma Evaluated by F-FDG PET/CT.
Indian J Nucl Med. 2025 Mar-Apr;40(2):95-98. doi: 10.4103/ijnm.ijnm_147_24. Epub 2025 Jun 27.
2
Primary Leiomyosarcoma of the Thyroid.
Head Neck Pathol. 2025 Jan 30;19(1):11. doi: 10.1007/s12105-024-01729-z.

文献AI研究员

20分钟写一篇综述,助力文献阅读效率提升50倍。

立即体验

用中文搜PubMed

大模型驱动的PubMed中文搜索引擎

马上搜索

文档翻译

学术文献翻译模型,支持多种主流文档格式。

立即体验