Suppr超能文献

新型成像方法在肾细胞癌诊断中的进展

Update on Renal Cell Carcinoma Diagnosis with Novel Imaging Approaches.

作者信息

Bellin Marie-France, Valente Catarina, Bekdache Omar, Maxwell Florian, Balasa Cristina, Savignac Alexia, Meyrignac Olivier

机构信息

Service de Radiologie Diagnostique et Interventionnelle, Hôpital de Bicêtre AP-HP, 78 Rue du Général Leclerc, 94275 Le Kremlin-Bicêtre, France.

Faculté de Médecine, University of Paris-Saclay, 63 Rue Gabriel Péri, 94276 Le Kremlin-Bicêtre, France.

出版信息

Cancers (Basel). 2024 May 18;16(10):1926. doi: 10.3390/cancers16101926.

Abstract

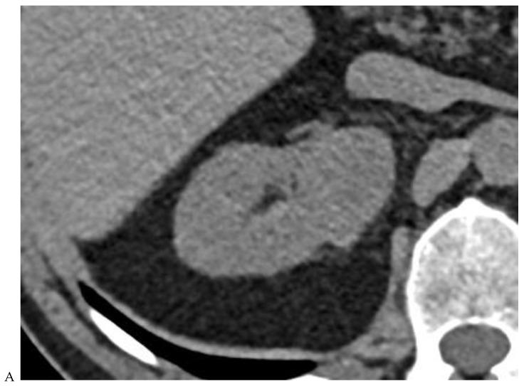
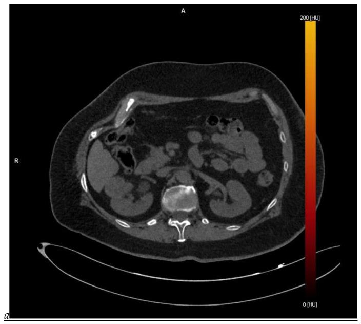
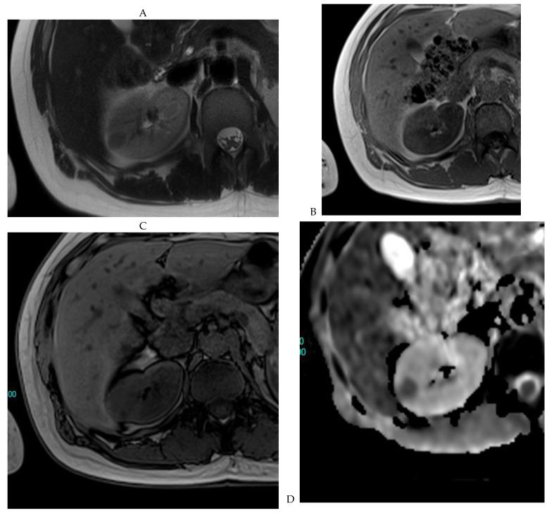
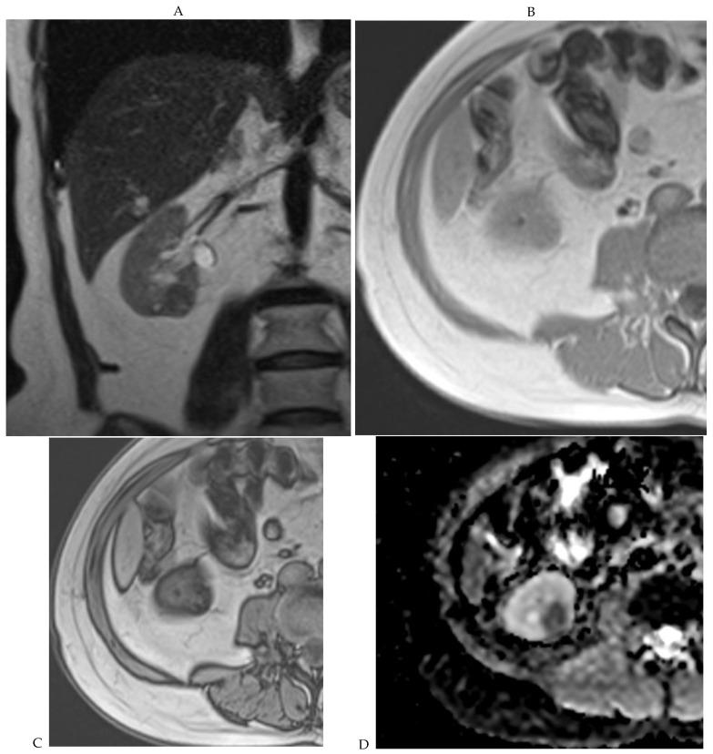
This review highlights recent advances in renal cell carcinoma (RCC) imaging. It begins with dual-energy computed tomography (DECT), which has demonstrated a high diagnostic accuracy in the evaluation of renal masses. Several studies have suggested the potential benefits of iodine quantification, particularly for distinguishing low-attenuation, true enhancing solid masses from hyperdense cysts. By determining whether or not a renal mass is present, DECT could avoid the need for additional imaging studies, thereby reducing healthcare costs. DECT can also provide virtual unenhanced images, helping to reduce radiation exposure. The review then provides an update focusing on the advantages of multiparametric magnetic resonance (MR) imaging performance in the histological subtyping of RCC and in the differentiation of benign from malignant renal masses. A proposed standardized stepwise reading of images helps to identify clear cell RCC and papillary RCC with a high accuracy. Contrast-enhanced ultrasound may represent a promising diagnostic tool for the characterization of solid and cystic renal masses. Several combined pharmaceutical imaging strategies using both sestamibi and PSMA offer new opportunities in the diagnosis and staging of RCC, but their role in risk stratification needs to be evaluated. Although radiomics and tumor texture analysis are hampered by poor reproducibility and need standardization, they show promise in identifying new biomarkers for predicting tumor histology, clinical outcomes, overall survival, and the response to therapy. They have a wide range of potential applications but are still in the research phase. Artificial intelligence (AI) has shown encouraging results in tumor classification, grade, and prognosis. It is expected to play an important role in assessing the treatment response and advancing personalized medicine. The review then focuses on recently updated algorithms and guidelines. The Bosniak classification version 2019 incorporates MRI, precisely defines previously vague imaging terms, and allows a greater proportion of masses to be placed in lower-risk classes. Recent studies have reported an improved specificity of the higher-risk categories and better inter-reader agreement. The clear cell likelihood score, which adds standardization to the characterization of solid renal masses on MRI, has been validated in recent studies with high interobserver agreement. Finally, the review discusses the key imaging implications of the 2017 AUA guidelines for renal masses and localized renal cancer.

摘要

本综述重点介绍了肾细胞癌(RCC)成像的最新进展。首先是双能计算机断层扫描(DECT),它在评估肾肿块方面已显示出较高的诊断准确性。多项研究表明碘定量具有潜在益处,特别是在区分低衰减、真正强化的实性肿块与高密度囊肿方面。通过确定是否存在肾肿块,DECT可以避免进行额外的影像学检查,从而降低医疗成本。DECT还可以提供虚拟平扫图像,有助于减少辐射暴露。该综述接着介绍了最新进展,重点是多参数磁共振(MR)成像在RCC组织学亚型分类以及肾良性与恶性肿块鉴别方面的优势。一种提议的标准化图像逐步解读方法有助于高精度地识别透明细胞RCC和乳头状RCC。对比增强超声可能是一种用于实性和囊性肾肿块特征化的有前景的诊断工具。几种同时使用锝[99mTc]甲氧基异丁基异腈(sestamibi)和前列腺特异性膜抗原(PSMA)的联合药物成像策略为RCC的诊断和分期提供了新机会,但其在风险分层中的作用有待评估。尽管放射组学和肿瘤纹理分析因可重复性差且需要标准化而受到阻碍,但它们在识别预测肿瘤组织学、临床结果、总生存期和治疗反应的新生物标志物方面显示出前景。它们有广泛的潜在应用,但仍处于研究阶段。人工智能(AI)在肿瘤分类、分级和预后方面已取得令人鼓舞的结果。预计其在评估治疗反应和推进个性化医疗方面将发挥重要作用。该综述接着重点介绍了最近更新的算法和指南。2019年版的博斯尼亚克分类纳入了MRI,精确定义了以前模糊的影像学术语,并允许将更大比例的肿块归类为低风险类别。最近的研究报告称,高风险类别的特异性有所提高,阅片者之间的一致性也更好。透明细胞可能性评分在MRI上对实性肾肿块的特征化增加了标准化,最近的研究已验证其具有较高的观察者间一致性。最后,该综述讨论了2017年美国泌尿协会(AUA)肾肿块和局限性肾癌指南的关键影像学意义。

https://cdn.ncbi.nlm.nih.gov/pmc/blobs/a912/11120239/3cec1c560cd5/cancers-16-01926-g001a.jpg

文献检索

告别复杂PubMed语法,用中文像聊天一样搜索,搜遍4000万医学文献。AI智能推荐,让科研检索更轻松。

立即免费搜索

文件翻译

保留排版,准确专业,支持PDF/Word/PPT等文件格式,支持 12+语言互译。

免费翻译文档

深度研究

AI帮你快速写综述,25分钟生成高质量综述,智能提取关键信息,辅助科研写作。

立即免费体验