• 文献检索
  • 文档翻译
  • 深度研究
  • 学术资讯
  • Suppr Zotero 插件Zotero 插件
  • 邀请有礼
  • 套餐&价格
  • 历史记录
应用&插件
Suppr Zotero 插件Zotero 插件浏览器插件Mac 客户端Windows 客户端微信小程序
定价
高级版会员购买积分包购买API积分包
服务
文献检索文档翻译深度研究API 文档MCP 服务
关于我们
关于 Suppr公司介绍联系我们用户协议隐私条款
关注我们

Suppr 超能文献

核心技术专利:CN118964589B侵权必究
粤ICP备2023148730 号-1Suppr @ 2026

文献检索

告别复杂PubMed语法,用中文像聊天一样搜索,搜遍4000万医学文献。AI智能推荐,让科研检索更轻松。

立即免费搜索

文件翻译

保留排版,准确专业,支持PDF/Word/PPT等文件格式,支持 12+语言互译。

免费翻译文档

深度研究

AI帮你快速写综述,25分钟生成高质量综述,智能提取关键信息,辅助科研写作。

立即免费体验

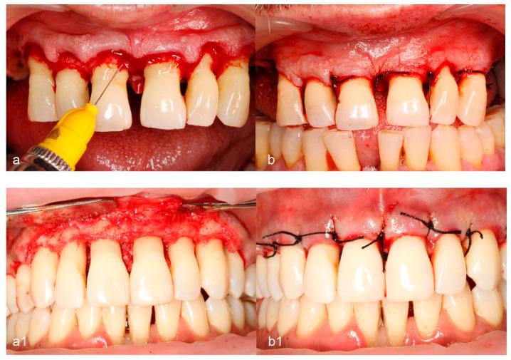
牙周袋骨上缺损经翻瓣清创术联合或不联合透明质酸(HA)治疗后的愈合。

Healing of Periodontal Suprabony Defects following Treatment with Open Flap Debridement with or without Hyaluronic Acid (HA) Application.

机构信息

Department of Periodontology, Faculty of Dental Medicine, Anton Sculean Research Center for Periodontal and Peri-Implant Diseases, Victor Babes University of Medicine and Pharmacy, 300041 Timisoara, Romania.

Department of Endodontics, Faculty of Dental Medicine, TADERP Research Center, Victor Babes University of Medicine and Pharmacy, 300041 Timisoara, Romania.

出版信息

Medicina (Kaunas). 2024 May 17;60(5):829. doi: 10.3390/medicina60050829.

DOI:10.3390/medicina60050829
PMID:38793012
原文链接:https://pmc.ncbi.nlm.nih.gov/articles/PMC11122748/
Abstract

This randomized, double-arm, multicentric clinical trial aims to compare the clinical outcomes following the treatment of suprabony periodontal defects using open flap debridement (OFD) with or without the application of hyaluronic acid (HA). Sixty systemically healthy patients with at least two teeth presenting suprabony periodontal defects were randomly assigned with a 1:1 allocation ratio using computer-generated tables into a test (OFD + HA) or control group (OFD). The main outcome variable was clinical attachment level (CAL). The secondary outcome variables were changes in mean probing pocket depth (PPD), gingival recession (GR), full-mouth plaque score (FMPS), and full-mouth bleeding score (FMBS). All clinical measurements were carried out at baseline and 12 months. Sixty patients, thirty in each group, were available for statistical analysis. The mean CAL gain was statistically significantly different ( < 0.001) in the test group compared with the control group (3.06 ± 1.13 mm vs. 1.44 ± 1.07 mm). PPD reduction of test group measurements (3.28 ± 1.14 mm) versus the control group measurements (2.61 ± 1.22 mm) were statistically significant ( = 0.032). GR changes were statistically significant only in the test group 0.74 ± 1.03 mm ( < 0.001). FMBS and FMPS revealed a statistically significant improvement mostly in the test group. Suprabony periodontal defects could benefit from the additional application of HA in conjunction with OFD in terms of improvement of the clinical parameters compared with OFD alone.

摘要

这项随机、双臂、多中心临床试验旨在比较使用开放式翻瓣清创术(OFD)联合或不联合透明质酸(HA)治疗骨上牙周缺损的临床疗效。 60 名系统健康的患者至少有两颗牙齿存在骨上牙周缺损,采用计算机生成的表格按 1:1 的比例随机分为试验组(OFD+HA)和对照组(OFD)。主要观察变量为临床附着水平(CAL)。次要观察变量为平均探诊牙周袋深度(PPD)、牙龈退缩(GR)、全口菌斑指数(FMPS)和全口出血指数(FMBS)的变化。所有临床测量均在基线和 12 个月时进行。60 名患者,每组 30 名,可进行统计学分析。与对照组相比,试验组的平均 CAL 增益有统计学显著差异(<0.001)(3.06±1.13mm 比 1.44±1.07mm)。试验组测量的 PPD 减少(3.28±1.14mm)与对照组测量的 PPD 减少(2.61±1.22mm)有统计学显著差异(=0.032)。GR 变化仅在试验组有统计学意义(0.74±1.03mm)(<0.001)。FMBS 和 FMPS 显示,与单独使用 OFD 相比,联合使用 OFD 和 HA 可显著改善大多数临床参数。 在改善临床参数方面,与单独使用 OFD 相比,骨上牙周缺损可能受益于 HA 的额外应用。

https://cdn.ncbi.nlm.nih.gov/pmc/blobs/b6ad/11122748/fa369a1b06f2/medicina-60-00829-g004.jpg
https://cdn.ncbi.nlm.nih.gov/pmc/blobs/b6ad/11122748/44882a1b5d6c/medicina-60-00829-g001.jpg
https://cdn.ncbi.nlm.nih.gov/pmc/blobs/b6ad/11122748/e0f0460c9914/medicina-60-00829-g002.jpg
https://cdn.ncbi.nlm.nih.gov/pmc/blobs/b6ad/11122748/152196001523/medicina-60-00829-g003.jpg
https://cdn.ncbi.nlm.nih.gov/pmc/blobs/b6ad/11122748/fa369a1b06f2/medicina-60-00829-g004.jpg
https://cdn.ncbi.nlm.nih.gov/pmc/blobs/b6ad/11122748/44882a1b5d6c/medicina-60-00829-g001.jpg
https://cdn.ncbi.nlm.nih.gov/pmc/blobs/b6ad/11122748/e0f0460c9914/medicina-60-00829-g002.jpg
https://cdn.ncbi.nlm.nih.gov/pmc/blobs/b6ad/11122748/152196001523/medicina-60-00829-g003.jpg
https://cdn.ncbi.nlm.nih.gov/pmc/blobs/b6ad/11122748/fa369a1b06f2/medicina-60-00829-g004.jpg

相似文献

1
Healing of Periodontal Suprabony Defects following Treatment with Open Flap Debridement with or without Hyaluronic Acid (HA) Application.牙周袋骨上缺损经翻瓣清创术联合或不联合透明质酸(HA)治疗后的愈合。
Medicina (Kaunas). 2024 May 17;60(5):829. doi: 10.3390/medicina60050829.
2
Healing of periodontal suprabony defects following treatment with open flap debridement with or without an enamel matrix derivative: A randomized controlled clinical study.翻瓣清创术联合或不联合 enamel matrix derivative 治疗牙周骨上缺损的愈合效果:一项随机对照临床研究。
Clin Oral Investig. 2021 Mar;25(3):1019-1027. doi: 10.1007/s00784-020-03392-4. Epub 2020 Jun 19.
3
Clinical and radiographic evaluation of 0.8% hyaluronic acid as an adjunct to open flap debridement in the treatment of periodontal intrabony defects: randomized controlled clinical trial.0.8%透明质酸作为辅助手段联合开放式清创术治疗牙周内骨缺损的临床和影像学评价:随机对照临床试验。
Clin Oral Investig. 2021 Sep;25(9):5257-5271. doi: 10.1007/s00784-021-03834-7. Epub 2021 Feb 17.
4
Surgical treatment of periodontal intrabony defects with calcium sulfate implant and barrier versus collagen barrier or open flap debridement alone: a 12-month randomized controlled clinical trial.硫酸钙植入物和屏障膜与胶原屏障膜或单纯开放性龈瓣清创术治疗牙周骨内缺损的比较:一项为期12个月的随机对照临床试验
J Periodontol. 2008 Oct;79(10):1886-93. doi: 10.1902/jop.2008.080076.
5
The role of surgical flap design (minimally invasive flap vs. extended flap with papilla preservation) on the healing of intrabony defects treated with an enamel matrix derivative: a 12-month two-center randomized controlled clinical trial.手术皮瓣设计(微创皮瓣与保留乳头的扩展皮瓣)对应用釉基质衍生物治疗的骨内缺损愈合的影响:一项为期 12 个月的双中心随机对照临床试验。
Clin Oral Investig. 2022 Feb;26(2):1811-1821. doi: 10.1007/s00784-021-04155-5. Epub 2021 Sep 7.
6
Clinical and radiographic evaluation of low-speed platelet-rich fibrin (PRF) for the treatment of intra-osseous defects of stage-III periodontitis patients: a randomized controlled clinical trial.临床和影像学评估低速富血小板纤维蛋白(PRF)治疗 III 期牙周炎患者的骨内缺损:一项随机对照临床试验。
Clin Oral Investig. 2022 Nov;26(11):6671-6680. doi: 10.1007/s00784-022-04627-2. Epub 2022 Jul 25.
7
Gingival crevicular fluid vascular endothelial cell growth factor and platelet-derived growth factor-BB release profile following the use of perforated barrier membranes during treatment of intrabony defects: a randomized clinical trial.骨内缺损治疗期间使用穿孔屏障膜后龈沟液中血管内皮生长因子和血小板衍生生长因子-BB的释放情况:一项随机临床试验
J Periodontal Res. 2016 Jun;51(3):407-16. doi: 10.1111/jre.12321. Epub 2015 Nov 9.
8
Guided tissue regeneration for periodontal infra-bony defects.牙周骨下袋缺损的引导组织再生术。
Cochrane Database Syst Rev. 2006 Apr 19(2):CD001724. doi: 10.1002/14651858.CD001724.pub2.
9
Impaired healing response of periodontal furcation defects following flap debridement surgery in smokers. A controlled clinical trial.吸烟者翻瓣清创术后牙周根分叉病变愈合反应受损。一项对照临床试验。
J Clin Periodontol. 2003 Jan;30(1):81-7. doi: 10.1034/j.1600-051x.2003.10182.x.
10
Does enamel matrix derivative application provide additional clinical benefits in residual periodontal pockets associated with suprabony defects? A systematic review and meta-analysis of randomized clinical trials.釉基质衍生物应用在伴有骨上缺损的牙周袋剩余治疗中是否提供了额外的临床益处?一项随机临床试验的系统评价和荟萃分析。
J Clin Periodontol. 2014 Apr;41(4):377-86. doi: 10.1111/jcpe.12218. Epub 2014 Jan 22.

引用本文的文献

1
Recent Use of Hyaluronic Acid in Dental Medicine.透明质酸在牙科医学中的近期应用。
Materials (Basel). 2025 Apr 18;18(8):1863. doi: 10.3390/ma18081863.

本文引用的文献

1
Complications and treatment errors related to regenerative periodontal surgery.与牙周再生手术相关的并发症及治疗失误。
Periodontol 2000. 2023 Jun;92(1):120-134. doi: 10.1111/prd.12504. Epub 2023 Jul 12.
2
Local delivery of hyaluronic acid as an adjunct to scaling and root planing in the treatment of chronic periodontitis in smokers and non-smokers: A clinical and microbiological study.透明质酸局部给药作为吸烟者和非吸烟者慢性牙周炎龈下刮治及根面平整辅助治疗的临床和微生物学研究
J Indian Soc Periodontol. 2022 Sep-Oct;26(5):471-477. doi: 10.4103/jisp.jisp_308_21. Epub 2022 Sep 1.
3
Adjunctive Application of Hyaluronic Acid in Combination with a Sodium Hypochlorite Gel for Non-Surgical Treatment of Residual Pockets Reduces the Need for Periodontal Surgery-Retrospective Analysis of a Clinical Case Series.
透明质酸联合次氯酸钠凝胶辅助应用于非手术治疗残余牙周袋可减少牙周手术需求——临床病例系列回顾性分析
Materials (Basel). 2022 Sep 20;15(19):6508. doi: 10.3390/ma15196508.
4
Comparison of three full-mouth concepts for the non-surgical treatment of stage III and IV periodontitis: A randomized controlled trial.三种全口概念在牙周炎 III 期和 IV 期非手术治疗中的比较:一项随机对照试验。
J Clin Periodontol. 2021 Dec;48(12):1516-1527. doi: 10.1111/jcpe.13548. Epub 2021 Oct 4.
5
Treatment of Residual Periodontal Pockets Using a Hyaluronic Acid-Based Gel: A 12 Month Multicenter Randomized Triple-Blinded Clinical Trial.使用基于透明质酸的凝胶治疗残留牙周袋:一项为期12个月的多中心随机三盲临床试验。
Antibiotics (Basel). 2021 Jul 30;10(8):924. doi: 10.3390/antibiotics10080924.
6
Clinical and radiographic evaluation of 0.8% hyaluronic acid as an adjunct to open flap debridement in the treatment of periodontal intrabony defects: randomized controlled clinical trial.0.8%透明质酸作为辅助手段联合开放式清创术治疗牙周内骨缺损的临床和影像学评价:随机对照临床试验。
Clin Oral Investig. 2021 Sep;25(9):5257-5271. doi: 10.1007/s00784-021-03834-7. Epub 2021 Feb 17.
7
Healing of intrabony defects following regenerative surgery by means of single-flap approach in conjunction with either hyaluronic acid or an enamel matrix derivative: a 24-month randomized controlled clinical trial.引导组织再生术联合应用透明质酸或釉基质衍生物单瓣法治疗骨内缺损的 24 个月随机对照临床试验。
Clin Oral Investig. 2021 Aug;25(8):5095-5107. doi: 10.1007/s00784-021-03822-x. Epub 2021 Feb 10.
8
Treatment of multiple adjacent recessions with the modified coronally advanced tunnel or laterally closed tunnel in conjunction with cross-linked hyaluronic acid and subepithelial connective tissue graft: a report of 15 cases.改良冠状推进隧道或侧向封闭隧道联合交联透明质酸及上皮下结缔组织移植治疗多个相邻牙龈退缩:15例报告
Quintessence Int. 2020;51(9):710-719. doi: 10.3290/j.qi.a44808.
9
Healing of periodontal suprabony defects following treatment with open flap debridement with or without an enamel matrix derivative: A randomized controlled clinical study.翻瓣清创术联合或不联合 enamel matrix derivative 治疗牙周骨上缺损的愈合效果:一项随机对照临床研究。
Clin Oral Investig. 2021 Mar;25(3):1019-1027. doi: 10.1007/s00784-020-03392-4. Epub 2020 Jun 19.
10
Treatment of stage I-III periodontitis-The EFP S3 level clinical practice guideline.牙周炎 I-III 期的治疗——EFP S3 级临床实践指南。
J Clin Periodontol. 2020 Jul;47 Suppl 22(Suppl 22):4-60. doi: 10.1111/jcpe.13290.