Suppr超能文献

水果提取物对……的抗真菌活性及研究

Antifungal activity of fruit extract against : and study.

作者信息

Aljuhani Salma, Rizwana Humaira, Aloufi Abeer S, Alkahtani Saad, Albasher Gadah, Almasoud Hadeel, Elsayim Rasha

机构信息

Department of Botany and Microbiology, College of Science, King Saud University, Riyadh, Saudi Arabia.

Department of Biology, College of Science, Princess Nourah bint Abdulrahman University, Riyadh, Saudi Arabia.

出版信息

Front Microbiol. 2024 May 13;15:1399671. doi: 10.3389/fmicb.2024.1399671. eCollection 2024.

Abstract

BACKGROUND

T (), commonly known as scalp ringworm, is a fungal infection affecting the scalp and hair. Among the causative agents, () stands out, often transmitted from cats to humans (). In this study, we investigated the efficacy of (), fruit extract against dermatophytes, particularly , both and . Additionally, we aimed to identify the active compounds responsible for suppressing fungal growth and assess the toxicity of on human cells.

METHODOLOGY

It conducted in two parts. First, Study include the preparation of fruit extract using methanol as the solvent, Phytochemical analysis of the plant extract including Gas chromatography-mass spectrometry (GC-MS) and Fourier-transform infrared spectroscopy (FTIR) was conducted, Cytotoxicity assays were performed using HUH-7 cells, employing the MTT assay (1-(3-(4,5-dimethylthiazol-2-yl)-2,5-diphenyl tetrazolium bromide), Antimicrobial activity against was evaluated, including: Zone of inhibition (ZI), Minimum inhibitory concentration (MIC), Minimum fungicidal concentration (MFC), cell alterations were observed using scanning electron microscopy (SEM) and transmission electron microscopy (TEM). Second, , Albino Wistar male rats were included.

RESULTS

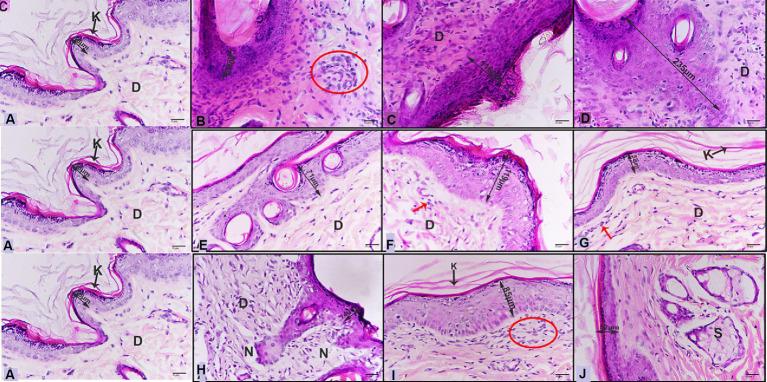
The phytochemical analysis of the methanolic extract from papaya revealed several functional groups, including hydroxyl, ammonia, alkane, carbonate, and alcohol. Additionally, the GC-MS analysis identified 15 compounds, with xanthosine and decanoic acid being the predominant components. The methanolic extract of papaya fruits demonstrated potent antifungal activity: ZI = 37 mm, MIC = 1,000 μg/mL, MFC = 1900 μg/mL, MTT results indicated lower cytotoxicity of the fruit extract at concentrations of 20 μg/mL, 50 μg/mL, 100 μg/mL, 150 μg/mL, and 200 μg/mL, The IC50 revealed a significant decrease in cell viability with increasing extract concentration. Notably, papaya extract induced considerable alterations in the morphology of hyphae and spores. In animal tissue, improvements were observed among the group of rats which treated with Papaya extract. This study highlights the potential of fruits as a natural antifungal agent, warranting further exploration for clinical applications.

摘要

背景

头癣,俗称头皮癣,是一种影响头皮和头发的真菌感染。在致病因素中,犬小孢子菌尤为突出,它常从猫传播给人类。在本研究中,我们调查了番木瓜果实提取物对皮肤癣菌,特别是犬小孢子菌和石膏样小孢子菌的疗效。此外,我们旨在确定抑制真菌生长的活性化合物,并评估番木瓜提取物对人类细胞的毒性。

方法

研究分两部分进行。第一部分,番木瓜研究包括用甲醇作为溶剂制备番木瓜果实提取物,对植物提取物进行植物化学分析,包括气相色谱 - 质谱联用(GC - MS)和傅里叶变换红外光谱(FTIR),使用HUH - 7细胞进行细胞毒性测定,采用MTT法(1 - (3 - (4,5 - 二甲基噻唑 - 2 - 基) - 2,5 - 二苯基溴化四氮唑),评估对犬小孢子菌的抗菌活性,包括:抑菌圈(ZI)、最低抑菌浓度(MIC)、最低杀菌浓度(MFC),使用扫描电子显微镜(SEM)和透射电子显微镜(TEM)观察细胞变化。第二部分,纳入白化Wistar雄性大鼠。

结果

番木瓜甲醇提取物的植物化学分析显示了几个官能团,包括羟基、氨基、烷烃、碳酸盐和醇。此外,GC - MS分析鉴定出15种化合物,其中黄苷和癸酸为主要成分。番木瓜果实的甲醇提取物表现出强大的抗真菌活性:抑菌圈 = 37毫米,最低抑菌浓度 = 1000微克/毫升,最低杀菌浓度 = 1900微克/毫升,MTT结果表明在20微克/毫升、50微克/毫升、100微克/毫升、150微克/毫升和200微克/毫升浓度下果实提取物的细胞毒性较低,半数抑制浓度(IC50)显示随着提取物浓度增加细胞活力显著下降。值得注意的是,番木瓜提取物引起犬小孢子菌菌丝和孢子形态的显著改变。在动物组织中,用番木瓜提取物处理的大鼠组观察到了改善。本研究突出了番木瓜果实作为天然抗真菌剂的潜力,值得进一步探索其临床应用。

https://cdn.ncbi.nlm.nih.gov/pmc/blobs/d742/11128596/2b129ae5264b/fmicb-15-1399671-g001.jpg

文献AI研究员

20分钟写一篇综述,助力文献阅读效率提升50倍。

立即体验

用中文搜PubMed

大模型驱动的PubMed中文搜索引擎

马上搜索

文档翻译

学术文献翻译模型,支持多种主流文档格式。

立即体验