Suppr超能文献

炎性关节炎累及颅颈交界区:单中心放射学研究。

Craniocervical junction involvement in inflammatory arthritis: a single-center radiologic study.

机构信息

Department of Internal Medicine, Hacettepe University Faculty of Medicine, Ankara, Turkiye.

Department of Radiology, Hacettepe University Faculty of Medicine, Ankara, Turkiye.

出版信息

Turk J Med Sci. 2023 Nov 11;53(6):1713-1721. doi: 10.55730/1300-0144.5740. eCollection 2023.

Abstract

BACKGROUND/AIM: Craniocervical junction (CCJ) can be involved in inflammatory arthritis. We aimed to define types of CCJ involvement in rheumatoid arthritis (RA), spondyloarthritis (SpA), and psoriatic arthritis (PsA) and compare them with patients without inflammatory arthritides.

MATERIALS AND METHODS

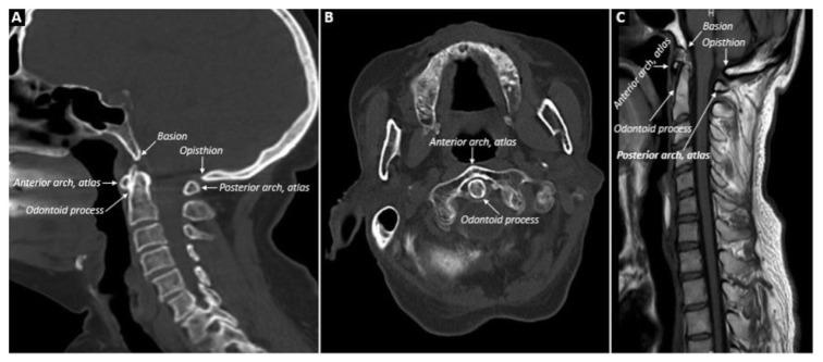
In this retrospective analysis, cervical CT or MRIs of patients with RA, SpA, or PsA, taken for any reason between 2010 and 2020, according to ICD-10 codes, were scanned. Demographic data of the patients were recorded. CCJ involvements (atlantoaxial, vertical, or subaxial subluxation, odontoid process involvement) were reevaluated by an experienced radiologist. The control group consisted of consecutive patients without inflammatory arthritis.

RESULTS

Exactly 459 patients (204 RA, 200 SpA, and 55 PsA) and 78 patients in the control group were included in the study. CCJ involvement was detected in 101 (49.5%) RA, 53 (26.5%) SpA, 10 (18.2%) PsA, and 4 patients (5.1%) in the control group (p < 0.001). The odontoid process was one of the main targets, especially in RA patients (69 (33.8%)), which was significantly higher than in the SpA, PsA, and control groups. Although vertical subluxation (VS) was numerically higher in the RA and SpA groups compared to the control group, VS-related brainstem compression was relatively uncommon: 6 (2.9%) in RA, 1 (0.5%) in AS, and none in the PsA and control groups.

CONCLUSION

CCJ involvement can often be detected in patients with inflammatory arthritis, especially in RA and SpA patients. The odontoid process is the main target of inflammation.

摘要

背景/目的:颅颈交界区(CCJ)可累及炎性关节炎。我们旨在确定类风湿关节炎(RA)、脊柱关节炎(SpA)和银屑病关节炎(PsA)患者 CCJ 受累的类型,并与无炎性关节炎患者进行比较。

材料和方法

在这项回顾性分析中,根据 ICD-10 编码,扫描了 2010 年至 2020 年间因任何原因接受 RA、SpA 或 PsA 颈椎 CT 或 MRI 的患者。记录患者的人口统计学数据。由一位有经验的放射科医生重新评估 CCJ 受累(寰枢关节、垂直或下颈椎半脱位、齿状突受累)。对照组由连续无炎性关节炎的患者组成。

结果

共纳入 459 例患者(204 例 RA、200 例 SpA 和 55 例 PsA)和 78 例对照组患者。RA、SpA、PsA 和对照组患者中分别有 101 例(49.5%)、53 例(26.5%)、10 例(18.2%)和 4 例(5.1%)存在 CCJ 受累(p < 0.001)。齿状突是主要的受累部位之一,尤其是在 RA 患者中(69 例,33.8%),明显高于 SpA、PsA 和对照组。虽然 RA 和 SpA 组的垂直半脱位(VS)数值高于对照组,但 VS 相关的脑干压迫相对少见:RA 组 6 例(2.9%),AS 组 1 例(0.5%),PsA 和对照组均无。

结论

炎性关节炎患者常可检测到 CCJ 受累,尤其是 RA 和 SpA 患者。齿状突是炎症的主要靶标。

https://cdn.ncbi.nlm.nih.gov/pmc/blobs/4e71/10760572/374853e4a78b/turkjmedsci-53-6-1713f1.jpg

文献AI研究员

20分钟写一篇综述,助力文献阅读效率提升50倍。

立即体验

用中文搜PubMed

大模型驱动的PubMed中文搜索引擎

马上搜索

文档翻译

学术文献翻译模型,支持多种主流文档格式。

立即体验