• 文献检索
  • 文档翻译
  • 深度研究
  • 学术资讯
  • Suppr Zotero 插件Zotero 插件
  • 邀请有礼
  • 套餐&价格
  • 历史记录
应用&插件
Suppr Zotero 插件Zotero 插件浏览器插件Mac 客户端Windows 客户端微信小程序
定价
高级版会员购买积分包购买API积分包
服务
文献检索文档翻译深度研究API 文档MCP 服务
关于我们
关于 Suppr公司介绍联系我们用户协议隐私条款
关注我们

Suppr 超能文献

核心技术专利:CN118964589B侵权必究
粤ICP备2023148730 号-1Suppr @ 2026

文献检索

告别复杂PubMed语法,用中文像聊天一样搜索,搜遍4000万医学文献。AI智能推荐,让科研检索更轻松。

立即免费搜索

文件翻译

保留排版,准确专业,支持PDF/Word/PPT等文件格式,支持 12+语言互译。

免费翻译文档

深度研究

AI帮你快速写综述,25分钟生成高质量综述,智能提取关键信息,辅助科研写作。

立即免费体验

有氧运动对冠心病大鼠心肌损伤、NF-B 表达、糖脂代谢及炎症因子的影响。

Effects of aerobic exercise on myocardial injury, NF-B expression, glucolipid metabolism and inflammatory factors in rats with coronary heart disease.

机构信息

Department of Rehabilitation Medicine, Wuhan Hanyang Hospital, Wuhan City, Hubei Province, China.

Department of Rehabilitation Medicine, Wuhan Hanyang Hospital, Wuhan City, Hubei Province, China.

出版信息

Clinics (Sao Paulo). 2024 May 29;79:100386. doi: 10.1016/j.clinsp.2024.100386. eCollection 2024.

DOI:10.1016/j.clinsp.2024.100386
PMID:38815541
原文链接:https://pmc.ncbi.nlm.nih.gov/articles/PMC11177061/
Abstract

OBJECTIVE

To investigate the influence of aerobic exercise on myocardial injury, NF-B expression, glucolipid metabolism and inflammatory factors in rats with Coronary Heart Disease (CHD) and explore the possible causative role.

METHODS

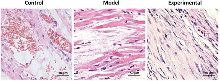
45 Sprague Dawley® rats were randomized into model, control and experimental groups. A high-fat diet was adopted for generating a rat CHD model, and the experimental group was given a 4-week aerobic exercise intervention. ECG was utilized to evaluate the cardiac function of the rats; HE staining to evaluate the damage of myocardial tissue; TUNEL staining to evaluate cardiomyocyte apoptosis level; ELISA to assay the contents of inflammatory factors and glucolipid metabolism in cardiomyocytes; qPCR to assay IB- and NF-B mRNA expression; Western-blot to assay the apoptosis-related proteins and NF-B signaling pathway-related proteins expressions in myocardial tissue.

RESULTS

In contrast to the model group, aerobic exercise strongly improved the rat's cardiac function and glucolipid metabolism (p < 0.01), enhanced IL-10 content, Bcl-2/Bax level as well as IB- protein and mRNA expression (p < 0.01), and reduced myocardial injury and cardiomyocyte apoptosis, the contents of IL-6, IL-1 and TNF-, Caspase 3 level, NF-B mRNA and protein expression and p-p38 and p-STAT3 expressions (p < 0.01).

CONCLUSION

Aerobic exercise can not only effectively reduce myocardial injury, the release of inflammatory factors and NF-B expression in CHD rats, but also improve cardiac function and glucolipid metabolism. Its mechanism is likely to be related to the inhibition of the NF-B signaling pathway.

摘要

目的

探讨有氧运动对冠心病(CHD)大鼠心肌损伤、NF-B 表达、糖脂代谢及炎症因子的影响,探索其可能的致病作用。

方法

45 只 Sprague Dawley®大鼠随机分为模型组、对照组和实验组。采用高脂饮食构建大鼠 CHD 模型,实验组给予 4 周有氧运动干预。心电图评估大鼠心功能;HE 染色评估心肌组织损伤;TUNEL 染色评估心肌细胞凋亡水平;ELISA 法检测心肌细胞炎症因子和糖脂代谢产物含量;qPCR 法检测 IB-和 NF-B mRNA 表达;Western-blot 法检测心肌组织中凋亡相关蛋白和 NF-B 信号通路相关蛋白的表达。

结果

与模型组相比,有氧运动显著改善了大鼠的心脏功能和糖脂代谢(p<0.01),增加了 IL-10 含量、Bcl-2/Bax 水平以及 IB-蛋白和 mRNA 表达(p<0.01),减轻了心肌损伤和心肌细胞凋亡,降低了 IL-6、IL-1 和 TNF-、Caspase 3 水平、NF-B mRNA 和蛋白表达以及 p-p38 和 p-STAT3 表达(p<0.01)。

结论

有氧运动不仅能有效减轻 CHD 大鼠心肌损伤、炎症因子释放和 NF-B 表达,还能改善心功能和糖脂代谢。其机制可能与抑制 NF-B 信号通路有关。

https://cdn.ncbi.nlm.nih.gov/pmc/blobs/55dd/11177061/3a85091b9ea2/gr8.jpg
https://cdn.ncbi.nlm.nih.gov/pmc/blobs/55dd/11177061/aa27d58f663e/gr1.jpg
https://cdn.ncbi.nlm.nih.gov/pmc/blobs/55dd/11177061/243bc5ed6947/gr2.jpg
https://cdn.ncbi.nlm.nih.gov/pmc/blobs/55dd/11177061/53993154f657/gr3.jpg
https://cdn.ncbi.nlm.nih.gov/pmc/blobs/55dd/11177061/f7a9c905041c/gr4.jpg
https://cdn.ncbi.nlm.nih.gov/pmc/blobs/55dd/11177061/7cac2c718238/gr5.jpg
https://cdn.ncbi.nlm.nih.gov/pmc/blobs/55dd/11177061/5972d6b08d14/gr6.jpg
https://cdn.ncbi.nlm.nih.gov/pmc/blobs/55dd/11177061/4984feda35f5/gr7.jpg
https://cdn.ncbi.nlm.nih.gov/pmc/blobs/55dd/11177061/3a85091b9ea2/gr8.jpg
https://cdn.ncbi.nlm.nih.gov/pmc/blobs/55dd/11177061/aa27d58f663e/gr1.jpg
https://cdn.ncbi.nlm.nih.gov/pmc/blobs/55dd/11177061/243bc5ed6947/gr2.jpg
https://cdn.ncbi.nlm.nih.gov/pmc/blobs/55dd/11177061/53993154f657/gr3.jpg
https://cdn.ncbi.nlm.nih.gov/pmc/blobs/55dd/11177061/f7a9c905041c/gr4.jpg
https://cdn.ncbi.nlm.nih.gov/pmc/blobs/55dd/11177061/7cac2c718238/gr5.jpg
https://cdn.ncbi.nlm.nih.gov/pmc/blobs/55dd/11177061/5972d6b08d14/gr6.jpg
https://cdn.ncbi.nlm.nih.gov/pmc/blobs/55dd/11177061/4984feda35f5/gr7.jpg
https://cdn.ncbi.nlm.nih.gov/pmc/blobs/55dd/11177061/3a85091b9ea2/gr8.jpg

相似文献

1
Effects of aerobic exercise on myocardial injury, NF-B expression, glucolipid metabolism and inflammatory factors in rats with coronary heart disease.有氧运动对冠心病大鼠心肌损伤、NF-B 表达、糖脂代谢及炎症因子的影响。
Clinics (Sao Paulo). 2024 May 29;79:100386. doi: 10.1016/j.clinsp.2024.100386. eCollection 2024.
2
Divergent splicing factor SRSF1 signaling promotes inflammation post-CME: the SRSF1/ENPP3 axis acts via inhibition of BRD4 O-GlcNAcylation to enhance NF-κB activation and accelerate heart failure.可变剪接因子SRSF1信号通路促进CME后炎症反应:SRSF1/ENPP3轴通过抑制BRD4的O-连接N-乙酰葡糖胺化作用来增强NF-κB激活并加速心力衰竭。
Theranostics. 2025 Jun 9;15(14):6839-6856. doi: 10.7150/thno.115402. eCollection 2025.
3
E3 ubiquitin ligase Smurf1 promotes cardiomyocyte pyroptosis by mediating ubiquitin-dependent degradation of TRIB2 in a rat model of heart failure.在心力衰竭大鼠模型中,E3泛素连接酶Smurf1通过介导TRIB2的泛素依赖性降解来促进心肌细胞焦亡。
Int Rev Immunol. 2025;44(4):165-179. doi: 10.1080/08830185.2024.2434058. Epub 2025 Jan 3.
4
Mahonia bealei (Fort.) Carr. Leaf extract modulates the TLR2/MyD88/NF-κB signaling pathway to inhibit PGN-induced inflammation in RAW264.7 cells.阔叶十大功劳叶提取物通过调节TLR2/MyD88/NF-κB信号通路抑制PGN诱导的RAW264.7细胞炎症反应。
J Ethnopharmacol. 2025 Mar 26;344:119510. doi: 10.1016/j.jep.2025.119510. Epub 2025 Feb 17.
5
[Mechanisms of Neiyiting Decoction in Preventing Postoperative Recurrence of Endometriosis by Inhibiting Macrophage M1 Polarization Through the TREM1/TLR4/NF-κB Signaling Pathway].[内异停方通过TREM1/TLR4/NF-κB信号通路抑制巨噬细胞M1极化预防子宫内膜异位症术后复发的机制]
Sichuan Da Xue Xue Bao Yi Xue Ban. 2025 Mar 20;56(2):371-381. doi: 10.12182/20250360601.
6
[Mechanism of regulating PI3K-Akt signaling pathway and inhibiting chondrocyte apoptosis to improve inflammation levels in rats with knee osteoarthritis by Shenzhuo Decoction].[伸茁汤调控PI3K-Akt信号通路并抑制软骨细胞凋亡以改善膝骨关节炎大鼠炎症水平的机制]
Zhongguo Zhong Yao Za Zhi. 2025 Jun;50(12):3389-3398. doi: 10.19540/j.cnki.cjcmm.20250213.704.
7
[Exploration of the mechanism of electroacupuncture at "Jiaji" (EX-B2) in treating neuronal apoptosis in rats with spinal cord injury based on the JAK2/STAT3 pathway].基于JAK2/STAT3通路探讨电针“夹脊”(EX - B2)治疗脊髓损伤大鼠神经元凋亡的机制
Zhen Ci Yan Jiu. 2025 Jun 25;50(6):633-640. doi: 10.13702/j.1000-0607.20240070.
8
[Formononetin improves cognitive behavior in aging rats with chronic unpredictable mild in hippocampal tissue stress by blocking the NF-κB pathway and inhibiting the release of inflammatory factors].[大豆苷元通过阻断NF-κB通路并抑制炎症因子释放改善慢性不可预测轻度应激衰老大鼠海马组织的认知行为]
Xi Bao Yu Fen Zi Mian Yi Xue Za Zhi. 2023 Jul;39(7):610-616.
9
Study on the modulation of kidney and liver function of rats with diabetic nephropathy by Huidouba through metabolomics.回豆巴通过代谢组学对糖尿病肾病大鼠肝肾功 能的调节作用研究
J Ethnopharmacol. 2025 Jun 11;351:120136. doi: 10.1016/j.jep.2025.120136.
10
Genistein Enhances the Beneficial Effects of Exercise on Antioxidant and Anti-inflammatory Balance and Cardiomyopathy in Ovariectomized Diabetic Rats.金雀异黄素增强运动对去卵巢糖尿病大鼠抗氧化与抗炎平衡及心肌病的有益作用。
Antiinflamm Antiallergy Agents Med Chem. 2025;24(2):103-113. doi: 10.2174/0118715230305886240916105248.

本文引用的文献

1
Pivotal role of NF-κB in cellular senescence of experimental pituitary tumours.NF-κB 在实验性垂体肿瘤细胞衰老中的关键作用。
J Endocrinol. 2020 May;245(2):179-191. doi: 10.1530/JOE-19-0506.
2
Dexmedetomidine prevents desflurane-induced motor neuron death through NF-KappaB pathway.右美托咪定通过 NF-κB 通路预防七氟醚诱导的运动神经元死亡。
Cell Biochem Funct. 2020 Jan;38(1):21-27. doi: 10.1002/cbf.3439. Epub 2019 Nov 27.
3
Essential role of STAT-3 dependent NF-κB activation on IL-6-mediated downregulation of hepatic transporters.
STAT-3 依赖性 NF-κB 激活在 IL-6 介导的肝转运体下调中的必需作用。
Eur J Pharm Sci. 2020 Feb 15;143:105151. doi: 10.1016/j.ejps.2019.105151. Epub 2019 Nov 15.
4
Role of the NF-κB signaling pathway in the pathogenesis of colorectal cancer.NF-κB 信号通路在结直肠癌发病机制中的作用。
Gene. 2020 Feb 5;726:144132. doi: 10.1016/j.gene.2019.144132. Epub 2019 Dec 3.
5
Patchouli alcohol activates PXR and suppresses the NF-κB-mediated intestinal inflammatory.香豆素醇激活 PXR 并抑制 NF-κB 介导的肠道炎症。
J Ethnopharmacol. 2020 Feb 10;248:112302. doi: 10.1016/j.jep.2019.112302. Epub 2019 Oct 12.
6
The effects of resveratrol on metabolic status in patients with type 2 diabetes mellitus and coronary heart disease.白藜芦醇对 2 型糖尿病合并冠心病患者代谢状态的影响。
Food Funct. 2019 Sep 1;10(9):6042-6051. doi: 10.1039/c9fo01075k. Epub 2019 Sep 5.
7
Treatment models of cardiac rehabilitation in patients with coronary heart disease and related factors affecting patient compliance.冠心病患者心脏康复治疗模式及影响患者依从性的相关因素。
Rev Cardiovasc Med. 2019 Mar 30;20(1):27-33. doi: 10.31083/j.rcm.2019.01.53.
8
A Randomized Placebo-Controlled Trial of Omega-3 and Sertraline in Depressed Patients With or at Risk for Coronary Heart Disease.ω-3 脂肪酸与舍曲林治疗冠心病伴或伴发抑郁患者的随机安慰剂对照试验
J Clin Psychiatry. 2019 Jun 4;80(4):19m12742. doi: 10.4088/JCP.19m12742.
9
Clinical study of chlamydia pneumoniae infection in patients with coronary heart disease.冠心病患者肺炎衣原体感染的临床研究。
BMC Cardiovasc Disord. 2019 May 14;19(1):110. doi: 10.1186/s12872-019-1099-y.
10
The Role of Traditional Chinese Medicine in the Regulation of Oxidative Stress in Treating Coronary Heart Disease.中医药在调节氧化应激治疗冠心病中的作用。
Oxid Med Cell Longev. 2019 Feb 24;2019:3231424. doi: 10.1155/2019/3231424. eCollection 2019.