• 文献检索
  • 文档翻译
  • 深度研究
  • 学术资讯
  • Suppr Zotero 插件Zotero 插件
  • 邀请有礼
  • 套餐&价格
  • 历史记录
应用&插件
Suppr Zotero 插件Zotero 插件浏览器插件Mac 客户端Windows 客户端微信小程序
定价
高级版会员购买积分包购买API积分包
服务
文献检索文档翻译深度研究API 文档MCP 服务
关于我们
关于 Suppr公司介绍联系我们用户协议隐私条款
关注我们

Suppr 超能文献

核心技术专利:CN118964589B侵权必究
粤ICP备2023148730 号-1Suppr @ 2026

文献检索

告别复杂PubMed语法,用中文像聊天一样搜索,搜遍4000万医学文献。AI智能推荐,让科研检索更轻松。

立即免费搜索

文件翻译

保留排版,准确专业,支持PDF/Word/PPT等文件格式,支持 12+语言互译。

免费翻译文档

深度研究

AI帮你快速写综述,25分钟生成高质量综述,智能提取关键信息,辅助科研写作。

立即免费体验

诊断Tenon囊下注射类固醇后罕见的眼眶脓肿:一例报告。

Diagnosis of an unusual orbital abscess following sub-Tenon's steroid injection: a case report.

作者信息

Gupta Isha, Moussa Elliott, Motupally Karun, Morris Sharon

机构信息

Department of Ophthalmology, Gold Coast University Hospital, Hospital Blvd, Southport 4215, Queensland, Australia.

Department of Radiology, Gold Coast University Hospital, Hospital Blvd, Southport 4215, Queensland, Australia.

出版信息

J Surg Case Rep. 2024 May 30;2024(5):rjae339. doi: 10.1093/jscr/rjae339. eCollection 2024 May.

DOI:10.1093/jscr/rjae339
PMID:38817784
原文链接:https://pmc.ncbi.nlm.nih.gov/articles/PMC11138107/
Abstract

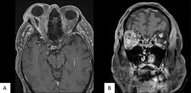
Orbital abscesses are caused by infection within or near the orbit and show obvious signs of pain, proptosis and raised inflammatory markers. Diagnosis is based on clinical features and radiological imaging, and requires early antibiotics and often surgical drainage to save vision. Sub-Tenon's injections of triamcinolone acetonide (TA) have caused localized infections in previous reports, which have responded to therapeutic interventions. Here we report a case where a delayed presentation of an orbital abscess secondary to sub-Tenon's TA for persistent post-operative cystoid macular oedema, without obvious signs of infection, rapidly progressed to cause orbital compartment syndrome. Despite treatment, the patient lost complete vision in the affected eye. This case discusses the rare and unusual cause of abscess formation and a diagnostic dilemma.

摘要

眶脓肿由眶内或眶周感染引起,表现出明显的疼痛、眼球突出和炎症指标升高的症状。诊断基于临床特征和影像学检查,需要早期使用抗生素,且常常需要手术引流以挽救视力。既往报道显示,球后注射曲安奈德(TA)可导致局部感染,这些感染对治疗干预有反应。在此,我们报告一例病例,该患者因持续性术后黄斑囊样水肿接受球后TA注射,在无明显感染迹象的情况下,眶脓肿延迟出现,并迅速进展为眶间隔综合征。尽管进行了治疗,患者患眼仍完全失明。本病例讨论了脓肿形成的罕见且不寻常的原因以及诊断难题。

https://cdn.ncbi.nlm.nih.gov/pmc/blobs/39ff/11138107/c586cbae14ff/rjae339f5.jpg
https://cdn.ncbi.nlm.nih.gov/pmc/blobs/39ff/11138107/714a705d176f/rjae339f1.jpg
https://cdn.ncbi.nlm.nih.gov/pmc/blobs/39ff/11138107/02f1a742a446/rjae339f2.jpg
https://cdn.ncbi.nlm.nih.gov/pmc/blobs/39ff/11138107/43b83ecfc1b1/rjae339f3.jpg
https://cdn.ncbi.nlm.nih.gov/pmc/blobs/39ff/11138107/9994e490da67/rjae339f4.jpg
https://cdn.ncbi.nlm.nih.gov/pmc/blobs/39ff/11138107/c586cbae14ff/rjae339f5.jpg
https://cdn.ncbi.nlm.nih.gov/pmc/blobs/39ff/11138107/714a705d176f/rjae339f1.jpg
https://cdn.ncbi.nlm.nih.gov/pmc/blobs/39ff/11138107/02f1a742a446/rjae339f2.jpg
https://cdn.ncbi.nlm.nih.gov/pmc/blobs/39ff/11138107/43b83ecfc1b1/rjae339f3.jpg
https://cdn.ncbi.nlm.nih.gov/pmc/blobs/39ff/11138107/9994e490da67/rjae339f4.jpg
https://cdn.ncbi.nlm.nih.gov/pmc/blobs/39ff/11138107/c586cbae14ff/rjae339f5.jpg

相似文献

1
Diagnosis of an unusual orbital abscess following sub-Tenon's steroid injection: a case report.诊断Tenon囊下注射类固醇后罕见的眼眶脓肿:一例报告。
J Surg Case Rep. 2024 May 30;2024(5):rjae339. doi: 10.1093/jscr/rjae339. eCollection 2024 May.
2
Comparison of intravitreal versus posterior sub-Tenon's capsule injection of triamcinolone acetonide for diffuse diabetic macular edema.玻璃体内注射与后Tenon囊下注射曲安奈德治疗弥漫性糖尿病性黄斑水肿的比较。
Ophthalmology. 2005 Sep;112(9):1557-63. doi: 10.1016/j.ophtha.2005.03.023.
3
A rabbit model for assessing the ocular barriers to the transscleral delivery of triamcinolone acetonide.一种用于评估曲安奈德经巩膜给药眼部屏障的兔模型。
Exp Eye Res. 2006 Mar;82(3):479-87. doi: 10.1016/j.exer.2005.08.007. Epub 2005 Sep 15.
4
Trans-Tenon's retrobulbar triamcinolone acetonide infusion for refractory diabetic macular edema after vitrectomy.经巩膜Tenon囊下注射曲安奈德治疗玻璃体切除术后难治性糖尿病性黄斑水肿
Graefes Arch Clin Exp Ophthalmol. 2005 Dec;243(12):1247-52. doi: 10.1007/s00417-005-0045-0. Epub 2005 Jul 15.
5
Posterior sub-Tenon's capsule injection of triamcinolone acetonide prevents panretinal photocoagulation-induced visual dysfunction in patients with severe diabetic retinopathy and good vision.后Tenon囊下注射曲安奈德可预防严重糖尿病视网膜病变且视力良好患者的全视网膜光凝所致视觉功能障碍。
Ophthalmology. 2006 Mar;113(3):381-7. doi: 10.1016/j.ophtha.2005.10.035. Epub 2006 Feb 3.
6
A single intraoperative sub-Tenon's capsule triamcinolone acetonide injection for the treatment of post-cataract surgery inflammation.术中单次球结膜下注射曲安奈德治疗白内障术后炎症。
Ophthalmology. 2004 Nov;111(11):2102-8. doi: 10.1016/j.ophtha.2004.04.026.
7
A comparison of retrobulbar versus sub-Tenon's corticosteroid therapy for cystoid macular edema refractory to topical medications.球后注射与特农囊下注射皮质类固醇疗法治疗对局部用药难治的黄斑囊样水肿的比较
Ophthalmology. 1997 Dec;104(12):2003-8. doi: 10.1016/s0161-6420(97)30065-7.
8
Sub-Tenon's Steroid Irrigation for Treatment of Intraorbital Capillary Hemangioma.球后类固醇注射冲洗治疗眶内毛细血管瘤
Interv Neuroradiol. 2007 Dec;13(4):395-8. doi: 10.1177/159101990701300412. Epub 2008 Feb 1.
9
Trans-Tenon's retrobulbar triamcinolone acetonide injection for macular oedema related to branch retinal vein occlusion.经巩膜Tenon囊下注射曲安奈德治疗视网膜分支静脉阻塞相关黄斑水肿
Br J Ophthalmol. 2008 Jan;92(1):81-3. doi: 10.1136/bjo.2007.124578. Epub 2007 Oct 26.
10
Pharmacokinetic study of vitreous and serum concentrations of triamcinolone acetonide after posterior sub-tenon's injection.经睫状体平坦部玻璃体腔注射后曲安奈德的玻璃体液和血清浓度的药代动力学研究。
Am J Ophthalmol. 2012 May;153(5):939-48. doi: 10.1016/j.ajo.2011.10.021. Epub 2012 Feb 4.

本文引用的文献

1
Orbital abscess: 20 years' experience at a tertiary eye care center.眼眶脓肿:在一家三级眼科护理中心的20年经验
Orbit. 2022 Dec;41(6):751-758. doi: 10.1080/01676830.2021.2013901. Epub 2022 Feb 23.
2
Fungal abscess after intra-orbital steroid injection: a case report.球内类固醇注射后真菌性脓肿:病例报告。
Orbit. 2022 Oct;41(5):611-615. doi: 10.1080/01676830.2021.1903043. Epub 2021 Mar 26.
3
Orbital abscess caused by Exophiala dermatitidis following posterior subtenon injection of triamcinolone acetonide: a case report and a review of literature related to Exophiala eye infections.
外瓶霉属致眼眶脓肿 1 例报告及相关眼内感染文献复习
BMC Infect Dis. 2020 Aug 3;20(1):566. doi: 10.1186/s12879-020-05294-y.
4
Orbital abscess following posterior subtenon injection of triamcinolone acetonide.曲安奈德后Tenon囊下注射后眶内脓肿
Orbit. 2017 Jun;36(3):135-136. doi: 10.1080/01676830.2017.1279668. Epub 2017 Mar 3.
5
Intraorbital Cystic Lesions: An Imaging Spectrum.眶内囊性病变:影像学表现谱
Curr Probl Diagn Radiol. 2015 Sep-Oct;44(5):437-48. doi: 10.1067/j.cpradiol.2015.03.003. Epub 2015 Mar 17.
6
Orbital abscess with unusual features.具有不典型特征的眶脓肿。
Ophthalmic Plast Reconstr Surg. 2009 Nov-Dec;25(6):450-4. doi: 10.1097/IOP.0b013e3181b80b27.
7
Peribulbar fungal abscess and endophthalmitis following posterior subtenon injection of triamcinolone acetonide.曲安奈德球后注射后发生的球周真菌性脓肿和眼内炎。
Acta Ophthalmol. 2009 Feb;87(1):102-4. doi: 10.1111/j.1755-3768.2007.01166.x. Epub 2008 May 27.
8
Acute orbital abscess complicating deep posterior subtenon triamcinolone injection.深部后Tenon囊下注射曲安奈德并发急性眼眶脓肿
Indian J Ophthalmol. 2008 May-Jun;56(3):246-7. doi: 10.4103/0301-4738.40370.
9
Triamcinolone acetonide in ocular therapeutics.曲安奈德在眼部治疗中的应用
Surv Ophthalmol. 2007 Sep-Oct;52(5):503-22. doi: 10.1016/j.survophthal.2007.06.004.
10
Frontal mucocele with an accompanying orbital abscess mimicking a fronto-orbital mucocele: case report.伴有眶脓肿的额窦黏液囊肿酷似额眶黏液囊肿:病例报告
BMC Ear Nose Throat Disord. 2006 Apr 18;6:6. doi: 10.1186/1472-6815-6-6.