Suppr超能文献

外阴血管肌成纤维细胞瘤:一例病例报告并文献复习

Angiomyofibroblastoma of the vulva: A case report and review of the literature.

作者信息

Sassi Samia, Nadim Chaimaa, El Mohtarim Rihane, Rouas Lamiae, Yousfi Mounia, Lamalmi Najat, Hassouni Fatima El

机构信息

Department of Pathology, Ibn Sina Teaching Hospital, Abderrahim Bouabid Avenue, University Mohammed V, 12000 Rabat, Morocco.

Department of Obstetrics and Gynecology, Oncology and High-Risk Pregnancies, Maternity Hospital Souissi, Ibn Sina Teaching Hospital, University Mohammed V, 12000 Rabat, Morocco.

出版信息

Case Rep Womens Health. 2024 May 17;42:e00617. doi: 10.1016/j.crwh.2024.e00617. eCollection 2024 Jun.

Abstract

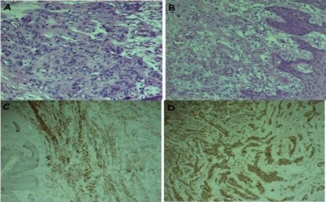
Angiomyofibroblastoma (AMFB) represents a rare, benign mesenchymal tumor with a predilection for the vulvovaginal region. It is usually diagnosed in middle-aged women. Histopathology and immunohistochemical study remain the key to diagnosis. Like other benign mesenchymal vulval tumors, AMFB shows indolent behavior and rarely recurs after complete surgical excision. Herein, we present a case of vulvar AMFB in a 51-year-old woman to highlight the diagnostic difficulties when considering this rare entity.

摘要

血管肌成纤维细胞瘤(AMFB)是一种罕见的良性间叶性肿瘤,好发于外阴阴道区域。通常在中年女性中被诊断出来。组织病理学和免疫组化研究仍然是诊断的关键。与其他良性间叶性外阴肿瘤一样,AMFB表现为惰性生长,完整手术切除后很少复发。在此,我们报告一例51岁女性的外阴AMFB病例,以强调在考虑这种罕见疾病时的诊断困难。

https://cdn.ncbi.nlm.nih.gov/pmc/blobs/9f83/11141263/6bf8a3f5f445/gr1.jpg

文献AI研究员

20分钟写一篇综述,助力文献阅读效率提升50倍。

立即体验

用中文搜PubMed

大模型驱动的PubMed中文搜索引擎

马上搜索

文档翻译

学术文献翻译模型,支持多种主流文档格式。

立即体验