• 文献检索
  • 文档翻译
  • 深度研究
  • 学术资讯
  • Suppr Zotero 插件Zotero 插件
  • 邀请有礼
  • 套餐&价格
  • 历史记录
应用&插件
Suppr Zotero 插件Zotero 插件浏览器插件Mac 客户端Windows 客户端微信小程序
定价
高级版会员购买积分包购买API积分包
服务
文献检索文档翻译深度研究API 文档MCP 服务
关于我们
关于 Suppr公司介绍联系我们用户协议隐私条款
关注我们

Suppr 超能文献

核心技术专利:CN118964589B侵权必究
粤ICP备2023148730 号-1Suppr @ 2026

文献检索

告别复杂PubMed语法,用中文像聊天一样搜索,搜遍4000万医学文献。AI智能推荐,让科研检索更轻松。

立即免费搜索

文件翻译

保留排版,准确专业,支持PDF/Word/PPT等文件格式,支持 12+语言互译。

免费翻译文档

深度研究

AI帮你快速写综述,25分钟生成高质量综述,智能提取关键信息,辅助科研写作。

立即免费体验

S1PR2 通过调节巨噬细胞焦亡参与重症急性胰腺炎肠损伤。

S1PR2 participates in intestinal injury in severe acute pancreatitis by regulating macrophage pyroptosis.

机构信息

Emergency Intensive Care Unit, The Affiliated Hospital of Qingdao University, Qingdao, Shandong, China.

出版信息

Front Immunol. 2024 May 17;15:1405622. doi: 10.3389/fimmu.2024.1405622. eCollection 2024.

DOI:10.3389/fimmu.2024.1405622
PMID:38827741
原文链接:https://pmc.ncbi.nlm.nih.gov/articles/PMC11140028/
Abstract

BACKGROUND

Severe acute pancreatitis (SAP) is an inflammatory disorder affecting the gastrointestinal system. Intestinal injury plays an important role in the treatment of severe acute pancreatitis. In this study, we mainly investigated the role of S1PR2 in regulating macrophage pyroptosis in the intestinal injury of severe acute pancreatitis.

METHODS

The SAP model was constructed using cerulein and lipopolysaccharide, and the expression of S1PR2 was inhibited by JTE-013 to detect the degree of pancreatitis and intestinal tissue damage in mice. Meanwhile, the level of pyroptosis-related protein was detected by western blot, the level of related mRNA was detected by PCR, and the level of serum inflammatory factors was detected by ELISA. experiments, LPS+ATP was used to construct the pyroptosis model of THP-1. After knockdown and overexpression of S1PR2, the pyroptosis proteins level was detected by western blot, the related mRNA level was detected by PCR, and the level of cell supernatant inflammatory factors were detected by ELISA. A rescue experiment was used to verify the sufficient necessity of the RhoA/ROCK pathway in S1PR2-induced pyroptosis. Meanwhile, THP-1 and FHC were co-cultured to verify that cytokines released by THP-1 after damage could regulate FHC damage.

RESULTS

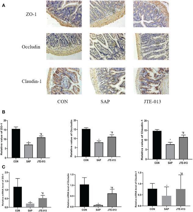
Our results demonstrated that JTE-013 effectively attenuated intestinal injury and inflammation in mice with SAP. Furthermore, we observed a significant reduction in the expression of pyroptosis-related proteins within the intestinal tissue of SAP mice upon treatment with JTE-013. We confirmed the involvement of S1PR2 in THP-1 cell pyroptosis . Specifically, activation of S1PR2 triggered pyroptosis in THP-1 cells through the RhoA/ROCK signaling pathway. Moreover, it was observed that inflammatory factors released during THP-1 cell pyroptosis exerted an impact on cohesin expression in FHC cells.

CONCLUSION

The involvement of S1PR2 in SAP-induced intestinal mucosal injury may be attributed to its regulation of macrophage pyroptosis.

摘要

背景

重症急性胰腺炎(SAP)是一种影响胃肠道系统的炎症性疾病。肠道损伤在重症急性胰腺炎的治疗中起着重要作用。在这项研究中,我们主要研究了 S1PR2 在调节重症急性胰腺炎肠道损伤中巨噬细胞细胞焦亡中的作用。

方法

使用 Cerulein 和脂多糖构建 SAP 模型,并用 JTE-013 抑制 S1PR2 的表达,以检测小鼠胰腺炎和肠道组织损伤的程度。同时,通过 Western blot 检测细胞焦亡相关蛋白的水平,PCR 检测相关 mRNA 的水平,ELISA 检测血清炎症因子的水平。在体外实验中,用 LPS+ATP 构建 THP-1 细胞的细胞焦亡模型。用 S1PR2 的敲低和过表达后,通过 Western blot 检测细胞焦亡蛋白的水平,PCR 检测相关 mRNA 的水平,ELISA 检测细胞上清炎症因子的水平。用 rescue 实验验证 S1PR2 诱导的细胞焦亡中 RhoA/ROCK 通路的充分必要性。同时,THP-1 和 FHC 共培养,验证受损的 THP-1 释放的细胞因子可以调节 FHC 的损伤。

结果

我们的结果表明,JTE-013 可有效减轻 SAP 小鼠的肠道损伤和炎症。此外,我们观察到 JTE-013 处理后 SAP 小鼠肠道组织中细胞焦亡相关蛋白的表达显著减少。我们证实了 S1PR2 在 THP-1 细胞细胞焦亡中的作用。具体来说,S1PR2 的激活通过 RhoA/ROCK 信号通路触发 THP-1 细胞的细胞焦亡。此外,还观察到 THP-1 细胞细胞焦亡过程中释放的炎症因子对 FHC 细胞黏着蛋白的表达产生影响。

结论

S1PR2 参与 SAP 诱导的肠道黏膜损伤可能与其调节巨噬细胞细胞焦亡有关。

https://cdn.ncbi.nlm.nih.gov/pmc/blobs/667f/11140028/018374d46b4f/fimmu-15-1405622-g007.jpg
https://cdn.ncbi.nlm.nih.gov/pmc/blobs/667f/11140028/00d53074ec13/fimmu-15-1405622-g001.jpg
https://cdn.ncbi.nlm.nih.gov/pmc/blobs/667f/11140028/440b91793225/fimmu-15-1405622-g002.jpg
https://cdn.ncbi.nlm.nih.gov/pmc/blobs/667f/11140028/f65ba89d5b99/fimmu-15-1405622-g003.jpg
https://cdn.ncbi.nlm.nih.gov/pmc/blobs/667f/11140028/34b0fbb3e500/fimmu-15-1405622-g004.jpg
https://cdn.ncbi.nlm.nih.gov/pmc/blobs/667f/11140028/cf0adbe819db/fimmu-15-1405622-g005.jpg
https://cdn.ncbi.nlm.nih.gov/pmc/blobs/667f/11140028/f0c3e597fdc7/fimmu-15-1405622-g006.jpg
https://cdn.ncbi.nlm.nih.gov/pmc/blobs/667f/11140028/018374d46b4f/fimmu-15-1405622-g007.jpg
https://cdn.ncbi.nlm.nih.gov/pmc/blobs/667f/11140028/00d53074ec13/fimmu-15-1405622-g001.jpg
https://cdn.ncbi.nlm.nih.gov/pmc/blobs/667f/11140028/440b91793225/fimmu-15-1405622-g002.jpg
https://cdn.ncbi.nlm.nih.gov/pmc/blobs/667f/11140028/f65ba89d5b99/fimmu-15-1405622-g003.jpg
https://cdn.ncbi.nlm.nih.gov/pmc/blobs/667f/11140028/34b0fbb3e500/fimmu-15-1405622-g004.jpg
https://cdn.ncbi.nlm.nih.gov/pmc/blobs/667f/11140028/cf0adbe819db/fimmu-15-1405622-g005.jpg
https://cdn.ncbi.nlm.nih.gov/pmc/blobs/667f/11140028/f0c3e597fdc7/fimmu-15-1405622-g006.jpg
https://cdn.ncbi.nlm.nih.gov/pmc/blobs/667f/11140028/018374d46b4f/fimmu-15-1405622-g007.jpg

相似文献

1
S1PR2 participates in intestinal injury in severe acute pancreatitis by regulating macrophage pyroptosis.S1PR2 通过调节巨噬细胞焦亡参与重症急性胰腺炎肠损伤。
Front Immunol. 2024 May 17;15:1405622. doi: 10.3389/fimmu.2024.1405622. eCollection 2024.
2
Downregulating Gasdermin D Reduces Severe Acute Pancreatitis Associated with Pyroptosis.下调 GSDMD 可减轻与细胞焦亡相关的重症急性胰腺炎。
Med Sci Monit. 2021 Feb 14;27:e927968. doi: 10.12659/MSM.927968.
3
S1PR2/RhoA/ROCK1 pathway promotes inflammatory bowel disease by inducing intestinal vascular endothelial barrier damage and M1 macrophage polarization.S1PR2/RhoA/ROCK1 通路通过诱导肠道血管内皮屏障损伤和 M1 巨噬细胞极化促进炎症性肠病。
Biochem Pharmacol. 2022 Jul;201:115077. doi: 10.1016/j.bcp.2022.115077. Epub 2022 May 10.
4
Mitochondrial (mt)DNA-cyclic GMP-AMP synthase (cGAS)-stimulator of interferon genes (STING) signaling promotes pyroptosis of macrophages via interferon regulatory factor (IRF)7/IRF3 activation to aggravate lung injury during severe acute pancreatitis.线粒体(mt)DNA-环鸟苷酸-腺苷酸合成酶(cGAS)-干扰素基因刺激物(STING)信号通过干扰素调节因子(IRF)7/IRF3 的激活促进巨噬细胞的细胞焦亡,从而加重重症急性胰腺炎期间的肺损伤。
Cell Mol Biol Lett. 2024 Apr 27;29(1):61. doi: 10.1186/s11658-024-00575-9.
5
[Mechanism of gasdermin D on intestinal injury in severe acute pancreatitis by mediating pyroptosis].[Gasdermin D通过介导细胞焦亡在重症急性胰腺炎肠道损伤中的作用机制]
Zhonghua Wei Zhong Bing Ji Jiu Yi Xue. 2021 Jan;33(1):89-94. doi: 10.3760/cma.j.cn121430-20200814-00578.
6
Overexpressed miRNA-155 dysregulates intestinal epithelial apical junctional complex in severe acute pancreatitis.miRNA-155 过表达失调重症急性胰腺炎肠上皮顶端连接复合体。
World J Gastroenterol. 2013 Dec 7;19(45):8282-91. doi: 10.3748/wjg.v19.i45.8282.
7
The Sphingosine-1-Phosphate/Sphingosine-1-Phosphate Receptor 2 Axis in Intestinal Epithelial Cells Regulates Intestinal Barrier Function During Intestinal Epithelial Cells-CD4+T-Cell Interactions.肠道上皮细胞中的鞘氨醇-1-磷酸/鞘氨醇-1-磷酸受体2轴在肠道上皮细胞与CD4+T细胞相互作用过程中调节肠道屏障功能。
Cell Physiol Biochem. 2018;48(3):1188-1200. doi: 10.1159/000491985. Epub 2018 Jul 25.
8
Sphingosine 1-phosphate receptor 2 mediated early stages of pancreatic and systemic inflammatory responses via NF-kappa B activation in acute pancreatitis.鞘氨醇-1-磷酸受体 2 通过 NF-κB 激活介导急性胰腺炎的胰腺和全身炎症反应的早期阶段。
Cell Commun Signal. 2022 Oct 13;20(1):157. doi: 10.1186/s12964-022-00971-8.
9
Naringin attenuates MLC phosphorylation and NF-κB activation to protect sepsis-induced intestinal injury via RhoA/ROCK pathway.柚皮苷通过 RhoA/ROCK 通路抑制 MLC 磷酸化和 NF-κB 激活,从而减轻脓毒症诱导的肠道损伤。
Biomed Pharmacother. 2018 Jul;103:50-58. doi: 10.1016/j.biopha.2018.03.163. Epub 2018 Apr 7.
10
Apolipoprotein M and sphingosine-1-phosphate complex alleviates TNF-α-induced endothelial cell injury and inflammation through PI3K/AKT signaling pathway.载脂蛋白 M 和鞘氨醇 1-磷酸复合物通过 PI3K/AKT 信号通路缓解 TNF-α 诱导的内皮细胞损伤和炎症。
BMC Cardiovasc Disord. 2019 Dec 2;19(1):279. doi: 10.1186/s12872-019-1263-4.

引用本文的文献

1
Regulator of G protein signaling 2 as a suppressor of sphingosine-1-phosphate 2- and 3-mediated signaling in colon cancer cells.G蛋白信号调节因子2作为结肠癌细胞中鞘氨醇-1-磷酸2和3介导信号传导的抑制因子。
J Biol Chem. 2025 Aug 5;301(9):110554. doi: 10.1016/j.jbc.2025.110554.
2
Regulatory role of S1P and its receptors in sepsis-induced liver injury.1-磷酸鞘氨醇(S1P)及其受体在脓毒症诱导的肝损伤中的调节作用。
Front Immunol. 2025 Jan 28;16:1489015. doi: 10.3389/fimmu.2025.1489015. eCollection 2025.
3
Role of Sphingosine-1-Phosphate Signaling Pathway in Pancreatic Diseases.

本文引用的文献

1
Chronic Glucocorticoid Exposure Induced an S1PR2-RORγ Axis to Enhance Hepatic Gluconeogenesis in Male Mice.长期糖皮质激素暴露诱导S1PR2-RORγ轴增强雄性小鼠肝脏糖异生作用。
Diabetes. 2023 Nov 1;72(11):1534-1546. doi: 10.2337/db22-0605.
2
Sphingosine-1-Phosphate Signaling in Cardiovascular Diseases.鞘氨醇-1-磷酸信号通路在心血管疾病中的作用
Biomolecules. 2023 May 11;13(5):818. doi: 10.3390/biom13050818.
3
S1P/S1PR2 promote pancreatic stellate cell activation and pancreatic fibrosis in chronic pancreatitis by regulating autophagy and the NLRP3 inflammasome.
鞘氨醇-1-磷酸信号通路在胰腺疾病中的作用。
Int J Mol Sci. 2024 Oct 25;25(21):11474. doi: 10.3390/ijms252111474.
S1P/S1PR2 通过调控自噬和 NLRP3 炎性小体促进慢性胰腺炎中胰腺星状细胞的激活和胰腺纤维化。
Chem Biol Interact. 2023 Aug 1;380:110541. doi: 10.1016/j.cbi.2023.110541. Epub 2023 May 9.
4
Taurocholic acid promotes hepatic stellate cell activation via S1PR2/p38 MAPK/YAP signaling under cholestatic conditions.牛磺胆酸在胆汁淤积条件下通过 S1PR2/p38 MAPK/YAP 信号促进肝星状细胞激活。
Clin Mol Hepatol. 2023 Apr;29(2):465-481. doi: 10.3350/cmh.2022.0327. Epub 2023 Feb 20.
5
Design, synthesis, and evaluation of JTE-013 derivatives as novel potent S1PR2 antagonists for recovering the sensitivity of colorectal cancer to 5-fluorouracil.JTE-013衍生物作为新型强效S1PR2拮抗剂用于恢复结直肠癌对5-氟尿嘧啶敏感性的设计、合成及评价
Bioorg Chem. 2023 Feb;131:106318. doi: 10.1016/j.bioorg.2022.106318. Epub 2022 Dec 10.
6
Conjugated Bile Acids Accelerate Progression of Pancreatic Cancer Metastasis via S1PR2 Signaling in Cholestasis.结合胆汁酸通过 S1PR2 信号在胆汁淤积中加速胰腺癌转移。
Ann Surg Oncol. 2023 Mar;30(3):1630-1641. doi: 10.1245/s10434-022-12806-4. Epub 2022 Nov 17.
7
Contemporary Surgical Management of Pancreatic Necrosis.胰腺坏死的当代外科治疗
JAMA Surg. 2023 Jan 1;158(1):81-88. doi: 10.1001/jamasurg.2022.5695.
8
Mannose ameliorates experimental colitis by protecting intestinal barrier integrity.甘露糖通过保护肠道屏障完整性来改善实验性结肠炎。
Nat Commun. 2022 Aug 16;13(1):4804. doi: 10.1038/s41467-022-32505-8.
9
Sphingosine 1-phosphate receptor, a new therapeutic direction in different diseases.鞘氨醇-1-磷酸受体,不同疾病治疗的新方向。
Biomed Pharmacother. 2022 Sep;153:113341. doi: 10.1016/j.biopha.2022.113341. Epub 2022 Jul 1.
10
RhoA Signaling in Neurodegenerative Diseases.RhoA 信号通路在神经退行性疾病中的作用
Cells. 2022 May 1;11(9):1520. doi: 10.3390/cells11091520.