• 文献检索
  • 文档翻译
  • 深度研究
  • 学术资讯
  • Suppr Zotero 插件Zotero 插件
  • 邀请有礼
  • 套餐&价格
  • 历史记录
应用&插件
Suppr Zotero 插件Zotero 插件浏览器插件Mac 客户端Windows 客户端微信小程序
定价
高级版会员购买积分包购买API积分包
服务
文献检索文档翻译深度研究API 文档MCP 服务
关于我们
关于 Suppr公司介绍联系我们用户协议隐私条款
关注我们

Suppr 超能文献

核心技术专利:CN118964589B侵权必究
粤ICP备2023148730 号-1Suppr @ 2026

文献检索

告别复杂PubMed语法,用中文像聊天一样搜索,搜遍4000万医学文献。AI智能推荐,让科研检索更轻松。

立即免费搜索

文件翻译

保留排版,准确专业,支持PDF/Word/PPT等文件格式,支持 12+语言互译。

免费翻译文档

深度研究

AI帮你快速写综述,25分钟生成高质量综述,智能提取关键信息,辅助科研写作。

立即免费体验

头颈部幼年黄色肉芽肿 11 例影像学表现。

Juvenile Xanthogranuloma of the Head and Neck: Imaging Findings in 11 Cases.

机构信息

Radiologie pédiatrique, hôpital Armand Trousseau, Paris.

Radiologie pédiatrique, hôpital Gatien de Clocheville, Tours.

出版信息

J Pediatr Hematol Oncol. 2024 Aug 1;46(6):e368-e380. doi: 10.1097/MPH.0000000000002872. Epub 2024 Jun 3.

DOI:10.1097/MPH.0000000000002872
PMID:38832444
原文链接:https://pmc.ncbi.nlm.nih.gov/articles/PMC11268553/
Abstract

BACKGROUND

Juvenile Xanthogranuloma (JXG) is a non-Langerhans cell histiocytosis, occurring mainly in infancy. With an extracutaneous lesion, its diagnosis is difficult, because of a wide clinical spectrum. Here we demonstrate and characterize imaging features of 11 patients with JXG of the head and neck in various locations.

MATERIAL AND METHODS

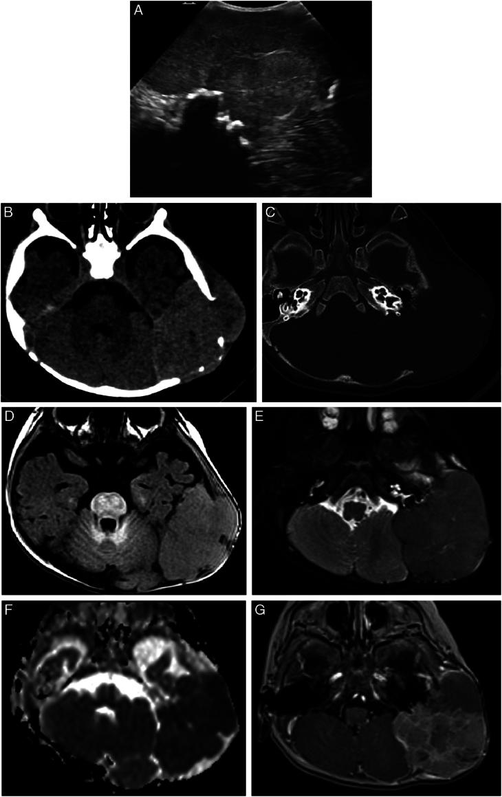
We recorded clinical data and reviewed all imaging studies of 11 patients with JXG of the head and neck. Ultrasonography (US) alone was performed in 1 patient; MRI alone in 6 patients; US and MRI in 1 patient; and US, CT, and MRI in 3 patients. We evaluated the following characteristics in all studies: location and number of lesions, echogenicity and vascularization on US, density on CT, signal intensity on T 1 - and T 2 -weighted images, ADC and enhancement on MRI, and tumor boundaries and bone involvement.

RESULTS

Lesions were well-defined in 9 cases, and bone erosion was present in 2. On US, lesions were hypoechoic or hyperechoic and with or without vascularization. On CT, lesions were hyper-dense, with no calcification. On MRI, lesions were mildly hyper-intense or iso-intense on T 1 -weighted images in 8 of 9 patients, hypo-intense on T2-weighted images in 7 of 10, low ADC in 7 of 9, and enhancement in 7 of 7.

CONCLUSIONS

The diagnosis of extra cutaneous JXG may be proposed, with the following suggestive criteria: age < 1 year, well-defined lesion, mild hyper-intensity on T 1 -weighted images, hypo-intensity on T 2 -weighted images, low ADC, enhancement, and possible adjacent bone involvement.

摘要

背景

幼年黄色肉芽肿(JXG)是非朗格汉斯细胞组织细胞增生症,主要发生在婴儿期。由于临床表现广泛,伴有皮肤外病变,其诊断较为困难。在此,我们展示并描述了 11 例头颈部不同部位 JXG 的影像学特征。

材料和方法

我们记录了 11 例头颈部 JXG 患者的临床资料,并回顾了所有影像学检查。1 例仅行超声检查,6 例行 MRI 检查,1 例同时行超声和 MRI 检查,3 例同时行超声、CT 和 MRI 检查。我们评估了所有研究的以下特征:病变位置和数量、超声的回声和血管化、CT 的密度、T1 和 T2 加权图像的信号强度、MRI 的 ADC 和增强、肿瘤边界和骨受累。

结果

9 例病变边界清楚,2 例有骨侵蚀。超声检查显示病变呈低回声或高回声,伴或不伴血管化。CT 显示病变呈高密度,无钙化。MRI 显示 9 例中 8 例 T1 加权图像呈轻度高信号或等信号,10 例中 7 例 T2 加权图像呈低信号,9 例中 7 例 ADC 低,7 例增强。

结论

对于皮肤外 JXG,以下提示性标准可能有助于诊断:年龄<1 岁,边界清楚的病变,T1 加权图像呈轻度高信号,T2 加权图像呈低信号,ADC 低,增强,可能伴有相邻骨受累。

https://cdn.ncbi.nlm.nih.gov/pmc/blobs/d374/11268553/9a5048c221bd/mph-46-e368-g011.jpg
https://cdn.ncbi.nlm.nih.gov/pmc/blobs/d374/11268553/0fba0242e208/mph-46-e368-g001.jpg
https://cdn.ncbi.nlm.nih.gov/pmc/blobs/d374/11268553/202812c68ea3/mph-46-e368-g002.jpg
https://cdn.ncbi.nlm.nih.gov/pmc/blobs/d374/11268553/53f33bdb2fc0/mph-46-e368-g003.jpg
https://cdn.ncbi.nlm.nih.gov/pmc/blobs/d374/11268553/0e8411414156/mph-46-e368-g004.jpg
https://cdn.ncbi.nlm.nih.gov/pmc/blobs/d374/11268553/b10ab13b727c/mph-46-e368-g005.jpg
https://cdn.ncbi.nlm.nih.gov/pmc/blobs/d374/11268553/d23e3aac56dc/mph-46-e368-g006.jpg
https://cdn.ncbi.nlm.nih.gov/pmc/blobs/d374/11268553/15315e0c7cfc/mph-46-e368-g007.jpg
https://cdn.ncbi.nlm.nih.gov/pmc/blobs/d374/11268553/4ed20a20a419/mph-46-e368-g008.jpg
https://cdn.ncbi.nlm.nih.gov/pmc/blobs/d374/11268553/c9d47c2d3238/mph-46-e368-g009.jpg
https://cdn.ncbi.nlm.nih.gov/pmc/blobs/d374/11268553/7ac30787b674/mph-46-e368-g010.jpg
https://cdn.ncbi.nlm.nih.gov/pmc/blobs/d374/11268553/9a5048c221bd/mph-46-e368-g011.jpg
https://cdn.ncbi.nlm.nih.gov/pmc/blobs/d374/11268553/0fba0242e208/mph-46-e368-g001.jpg
https://cdn.ncbi.nlm.nih.gov/pmc/blobs/d374/11268553/202812c68ea3/mph-46-e368-g002.jpg
https://cdn.ncbi.nlm.nih.gov/pmc/blobs/d374/11268553/53f33bdb2fc0/mph-46-e368-g003.jpg
https://cdn.ncbi.nlm.nih.gov/pmc/blobs/d374/11268553/0e8411414156/mph-46-e368-g004.jpg
https://cdn.ncbi.nlm.nih.gov/pmc/blobs/d374/11268553/b10ab13b727c/mph-46-e368-g005.jpg
https://cdn.ncbi.nlm.nih.gov/pmc/blobs/d374/11268553/d23e3aac56dc/mph-46-e368-g006.jpg
https://cdn.ncbi.nlm.nih.gov/pmc/blobs/d374/11268553/15315e0c7cfc/mph-46-e368-g007.jpg
https://cdn.ncbi.nlm.nih.gov/pmc/blobs/d374/11268553/4ed20a20a419/mph-46-e368-g008.jpg
https://cdn.ncbi.nlm.nih.gov/pmc/blobs/d374/11268553/c9d47c2d3238/mph-46-e368-g009.jpg
https://cdn.ncbi.nlm.nih.gov/pmc/blobs/d374/11268553/7ac30787b674/mph-46-e368-g010.jpg
https://cdn.ncbi.nlm.nih.gov/pmc/blobs/d374/11268553/9a5048c221bd/mph-46-e368-g011.jpg

相似文献

1
Juvenile Xanthogranuloma of the Head and Neck: Imaging Findings in 11 Cases.头颈部幼年黄色肉芽肿 11 例影像学表现。
J Pediatr Hematol Oncol. 2024 Aug 1;46(6):e368-e380. doi: 10.1097/MPH.0000000000002872. Epub 2024 Jun 3.
2
123I-MIBG scintigraphy and 18F-FDG-PET imaging for diagnosing neuroblastoma.用于诊断神经母细胞瘤的123I-间碘苄胍闪烁扫描术和18F-氟代脱氧葡萄糖正电子发射断层显像
Cochrane Database Syst Rev. 2015 Sep 29;2015(9):CD009263. doi: 10.1002/14651858.CD009263.pub2.
3
Imaging Features of Juvenile Xanthogranuloma of the Pediatric Head and Neck.小儿头颈部幼年性黄色肉芽肿的影像学特征
AJNR Am J Neuroradiol. 2016 May;37(5):910-6. doi: 10.3174/ajnr.A4644. Epub 2016 Jan 7.
4
Magnetic resonance imaging, magnetic resonance arthrography and ultrasonography for assessing rotator cuff tears in people with shoulder pain for whom surgery is being considered.磁共振成像、磁共振关节造影和超声检查用于评估考虑手术治疗的肩部疼痛患者的肩袖撕裂情况。
Cochrane Database Syst Rev. 2013 Sep 24;2013(9):CD009020. doi: 10.1002/14651858.CD009020.pub2.
5
¹⁸F-FDG PET/CT: a review of diagnostic and prognostic features in multiple myeloma and related disorders.¹⁸F-FDG PET/CT:多发性骨髓瘤及相关疾病的诊断和预后特征综述
Clin Exp Med. 2015 Feb;15(1):1-18. doi: 10.1007/s10238-014-0308-3. Epub 2014 Sep 14.
6
Contrast-enhanced ultrasound using SonoVue® (sulphur hexafluoride microbubbles) compared with contrast-enhanced computed tomography and contrast-enhanced magnetic resonance imaging for the characterisation of focal liver lesions and detection of liver metastases: a systematic review and cost-effectiveness analysis.超声造影使用声诺维®(六氟化硫微泡)与对比增强计算机断层扫描和对比增强磁共振成像在局灶性肝脏病变的特征描述和肝转移检测中的比较:系统评价和成本效益分析。
Health Technol Assess. 2013 Apr;17(16):1-243. doi: 10.3310/hta17160.
7
[Analysis of MRI and clinical characteristics for pediatric head, neck, and facial lymphatic malformations].小儿头颈部及面部淋巴管畸形的MRI与临床特征分析
Lin Chuang Er Bi Yan Hou Tou Jing Wai Ke Za Zhi. 2025 Jul;39(7):646-651. doi: 10.13201/j.issn.2096-7993.2025.07.008.
8
NTRK1 Gene Fusions Are Frequent in Juvenile Xanthogranuloma.NTRK1基因融合在幼年性黄色肉芽肿中很常见。
Am J Surg Pathol. 2025 Apr 16;49(8):763-769. doi: 10.1097/PAS.0000000000002405.
9
Magnetic resonance imaging for the diagnosis of hepatocellular carcinoma in adults with chronic liver disease.磁共振成像在慢性肝病成人肝细胞癌诊断中的应用。
Cochrane Database Syst Rev. 2022 May 6;5(5):CD014798. doi: 10.1002/14651858.CD014798.pub2.
10
Dual-type deep learning-based image reconstruction for advanced denoising and super-resolution processing in head and neck T2-weighted imaging.基于双类型深度学习的图像重建,用于头颈部T2加权成像中的高级去噪和超分辨率处理。
Jpn J Radiol. 2025 Mar 5. doi: 10.1007/s11604-025-01756-y.

本文引用的文献

1
Neuroimaging in Pediatric Patients with Juvenile Xanthogranuloma of the CNS.中枢神经系统幼年黄色肉芽肿患儿的神经影像学表现。
AJNR Am J Neuroradiol. 2022 Nov;43(11):1667-1673. doi: 10.3174/ajnr.A7683. Epub 2022 Oct 20.
2
Imaging features of juvenile xanthogranuloma.幼年性黄色肉芽肿的影像学特征。
Pediatr Radiol. 2023 Feb;53(2):265-272. doi: 10.1007/s00247-022-05486-5. Epub 2022 Aug 30.
3
Imaging Findings of Pediatric Orbital Masses and Tumor Mimics.小儿眼眶肿物及肿瘤样病变的影像学表现
Radiographics. 2022 May-Jun;42(3):880-897. doi: 10.1148/rg.210116. Epub 2022 Mar 4.
4
Imaging of parotid anomalies in infants and children.婴幼儿腮腺异常的影像学检查
Insights Imaging. 2022 Feb 24;13(1):27. doi: 10.1186/s13244-022-01166-y.
5
Solitary juvenile xanthogranuloma of temporal bone: a case report.颞骨孤立性幼年黄色肉芽肿 1 例报告。
BMC Pediatr. 2022 Feb 12;22(1):87. doi: 10.1186/s12887-022-03150-3.
6
Multiple intracranial juvenile xanthogranuloma not a straightforward diagnosis (a case report).多发性颅内幼年性黄色肉芽肿并非易诊断之症(病例报告)
Int J Surg Case Rep. 2021 Aug;85:106265. doi: 10.1016/j.ijscr.2021.106265. Epub 2021 Aug 3.
7
Rare presentation of juvenile xanthogranuloma in the posterior fossa of a toddler.幼儿后颅窝幼年性黄色肉芽肿的罕见表现。
BMJ Case Rep. 2021 Mar 26;14(3):e241411. doi: 10.1136/bcr-2020-241411.
8
Intracranial juvenile xanthogranuloma in an infant.婴儿颅内幼年黄色肉芽肿。
Childs Nerv Syst. 2021 Oct;37(10):3265-3269. doi: 10.1007/s00381-021-05088-w. Epub 2021 Mar 4.
9
Imaging features of neonatal systemic juvenile xanthogranuloma: a case report and review of the literature.新生儿系统性幼年性黄色肉芽肿的影像学特征:1例报告并文献复习
J Int Med Res. 2020 Sep;48(9):300060520956416. doi: 10.1177/0300060520956416.
10
Pearls and Pitfalls in the Imaging of Soft-Tissue Masses in Children.儿童软组织肿块的影像学:要点与陷阱
Semin Ultrasound CT MR. 2020 Oct;41(5):498-512. doi: 10.1053/j.sult.2020.05.014. Epub 2020 May 28.