• 文献检索
  • 文档翻译
  • 深度研究
  • 学术资讯
  • Suppr Zotero 插件Zotero 插件
  • 邀请有礼
  • 套餐&价格
  • 历史记录
应用&插件
Suppr Zotero 插件Zotero 插件浏览器插件Mac 客户端Windows 客户端微信小程序
定价
高级版会员购买积分包购买API积分包
服务
文献检索文档翻译深度研究API 文档MCP 服务
关于我们
关于 Suppr公司介绍联系我们用户协议隐私条款
关注我们

Suppr 超能文献

核心技术专利:CN118964589B侵权必究
粤ICP备2023148730 号-1Suppr @ 2026

文献检索

告别复杂PubMed语法,用中文像聊天一样搜索,搜遍4000万医学文献。AI智能推荐,让科研检索更轻松。

立即免费搜索

文件翻译

保留排版,准确专业,支持PDF/Word/PPT等文件格式,支持 12+语言互译。

免费翻译文档

深度研究

AI帮你快速写综述,25分钟生成高质量综述,智能提取关键信息,辅助科研写作。

立即免费体验

RccHan:WIST大鼠中枢神经系统死后组织学变化的发生与进展

Onset and progression of postmortem histological changes in the central nervous system of RccHan: WIST rats.

作者信息

Weber Klaus, Domènech Anna, Kegler Kristel, Kreutzer Robert, Mayoral Francisco José, Okazaki Yoshimasa, Ortega Paula, Polledo Laura, Razinger Tanja, Richard Olivia Kristina, Sanchez Raúl, Warfving Nils, Vallejo Raquel, de Miguel Ricardo

机构信息

AnaPath Services GmbH, Liestal, Switzerland.

AnaPath Research S.A.U., Barcelona, Spain.

出版信息

Front Vet Sci. 2024 May 21;11:1378609. doi: 10.3389/fvets.2024.1378609. eCollection 2024.

DOI:10.3389/fvets.2024.1378609
PMID:38835889
原文链接:https://pmc.ncbi.nlm.nih.gov/articles/PMC11149423/
Abstract

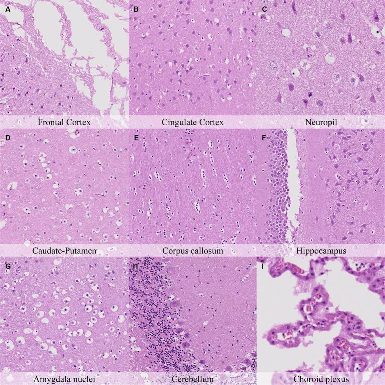
Death initiates a cascade of physiological and biochemical alterations in organs and tissues, resulting in microscopic changes that challenge the histopathological evaluation. Moreover, the brain is particularly susceptible to artifacts owing to its unique composition and its location within the cranial vault. The aim of this study was to compile and illustrate the microscopic changes in the central nervous system (CNS) of rats subjected to delayed postmortem fixation. It also scrutinizes the influence of exsanguination and cooling methods on the initiation and progression of these alterations. Twenty-four Wistar Han outbred rats (RccHan: WIST) were sacrificed and stored either at room temperature (18-22°C) or under refrigeration (2-4°C). Necropsies were conducted at different time points postmortem (i.e., 0.5 h, 1 h, 4 h, 8 h, 12 h, 24 h, 36 h, 48 h, 7 days and 14 days). Brain sections underwent simultaneous digital evaluation by 14 pathologists until a consensus was reached on terminology, key findings, and intensity levels. Microscopic observations varied among cell types. Glial cells were similarly affected throughout the CNS and showed pericellular halo, chromatin condensation and nuclear shrinkage. Neurons showed two types of postmortem changes as most of them showed progressive shrinkage, cytoplasmic dissolution and karyorrhexis whereas others acquired a dark-neuron-like appearance. Neuronal changes showed marked differences among neuroanatomical locations. Additional postmortem changes encompassed: granulation and microcavitation in neuropil and white matter; retraction spaces; detachment of ependyma, choroid plexus, and leptomeninges. Severity of findings after 48 h at room temperature was higher than after seven days under refrigeration and similar to or slightly lower than after 14 days under refrigeration. No clear differences were observed related to the sex or weight of the animals or their exsanguination status. This work elucidates the onset and progression of autolytic changes in the brains of Wistar Han rats, offering insights to accurately identify and enhance the histopathological evaluation.

摘要

死亡会引发器官和组织中一系列生理和生化改变,导致微观变化,这对组织病理学评估构成挑战。此外,由于大脑独特的组成结构及其在颅腔内的位置,它特别容易出现人为假象。本研究的目的是汇编并展示延迟尸检固定后大鼠中枢神经系统(CNS)的微观变化。同时,本研究还仔细审查了放血和冷却方法对这些改变的起始和进展的影响。处死24只Wistar Han远交系大鼠(RccHan: WIST),并将其储存在室温(18 - 22°C)或冷藏(2 - 4°C)环境中。在不同的死后时间点(即0.5小时、1小时、4小时、8小时、12小时、24小时、36小时、48小时、7天和14天)进行尸检。14名病理学家对脑切片进行同步数字评估,直至就术语、关键发现和强度水平达成共识。微观观察结果因细胞类型而异。整个中枢神经系统中的胶质细胞受到类似影响,表现为细胞周围晕圈、染色质凝聚和核固缩。神经元呈现出两种死后变化,大多数神经元表现为渐进性萎缩、细胞质溶解和核碎裂,而其他神经元则呈现出暗神经元样外观。神经元变化在神经解剖位置之间存在显著差异。额外的死后变化包括:神经纤维网和白质中的颗粒形成和微空泡化;退缩间隙;室管膜、脉络丛和软脑膜的脱离。室温下48小时后的发现严重程度高于冷藏7天后的情况,与冷藏14天后的情况相似或略低。未观察到与动物性别、体重或放血状态相关的明显差异。这项工作阐明了Wistar Han大鼠大脑自溶变化的起始和进展,为准确识别和加强组织病理学评估提供了见解。

https://cdn.ncbi.nlm.nih.gov/pmc/blobs/0c6f/11149423/753de37ef7d9/fvets-11-1378609-g012.jpg
https://cdn.ncbi.nlm.nih.gov/pmc/blobs/0c6f/11149423/24e6765eb0c1/fvets-11-1378609-g001.jpg
https://cdn.ncbi.nlm.nih.gov/pmc/blobs/0c6f/11149423/efac630f0795/fvets-11-1378609-g002.jpg
https://cdn.ncbi.nlm.nih.gov/pmc/blobs/0c6f/11149423/92f3e1134a71/fvets-11-1378609-g003.jpg
https://cdn.ncbi.nlm.nih.gov/pmc/blobs/0c6f/11149423/0851e1fca288/fvets-11-1378609-g004.jpg
https://cdn.ncbi.nlm.nih.gov/pmc/blobs/0c6f/11149423/7c6a73488e09/fvets-11-1378609-g005.jpg
https://cdn.ncbi.nlm.nih.gov/pmc/blobs/0c6f/11149423/a62a60ab67ac/fvets-11-1378609-g006.jpg
https://cdn.ncbi.nlm.nih.gov/pmc/blobs/0c6f/11149423/8f1ac9baa20d/fvets-11-1378609-g007.jpg
https://cdn.ncbi.nlm.nih.gov/pmc/blobs/0c6f/11149423/d32386d5b12e/fvets-11-1378609-g008.jpg
https://cdn.ncbi.nlm.nih.gov/pmc/blobs/0c6f/11149423/6e67c940c81c/fvets-11-1378609-g009.jpg
https://cdn.ncbi.nlm.nih.gov/pmc/blobs/0c6f/11149423/a9d1fbf38aef/fvets-11-1378609-g010.jpg
https://cdn.ncbi.nlm.nih.gov/pmc/blobs/0c6f/11149423/9f9a0ca689bc/fvets-11-1378609-g011.jpg
https://cdn.ncbi.nlm.nih.gov/pmc/blobs/0c6f/11149423/753de37ef7d9/fvets-11-1378609-g012.jpg
https://cdn.ncbi.nlm.nih.gov/pmc/blobs/0c6f/11149423/24e6765eb0c1/fvets-11-1378609-g001.jpg
https://cdn.ncbi.nlm.nih.gov/pmc/blobs/0c6f/11149423/efac630f0795/fvets-11-1378609-g002.jpg
https://cdn.ncbi.nlm.nih.gov/pmc/blobs/0c6f/11149423/92f3e1134a71/fvets-11-1378609-g003.jpg
https://cdn.ncbi.nlm.nih.gov/pmc/blobs/0c6f/11149423/0851e1fca288/fvets-11-1378609-g004.jpg
https://cdn.ncbi.nlm.nih.gov/pmc/blobs/0c6f/11149423/7c6a73488e09/fvets-11-1378609-g005.jpg
https://cdn.ncbi.nlm.nih.gov/pmc/blobs/0c6f/11149423/a62a60ab67ac/fvets-11-1378609-g006.jpg
https://cdn.ncbi.nlm.nih.gov/pmc/blobs/0c6f/11149423/8f1ac9baa20d/fvets-11-1378609-g007.jpg
https://cdn.ncbi.nlm.nih.gov/pmc/blobs/0c6f/11149423/d32386d5b12e/fvets-11-1378609-g008.jpg
https://cdn.ncbi.nlm.nih.gov/pmc/blobs/0c6f/11149423/6e67c940c81c/fvets-11-1378609-g009.jpg
https://cdn.ncbi.nlm.nih.gov/pmc/blobs/0c6f/11149423/a9d1fbf38aef/fvets-11-1378609-g010.jpg
https://cdn.ncbi.nlm.nih.gov/pmc/blobs/0c6f/11149423/9f9a0ca689bc/fvets-11-1378609-g011.jpg
https://cdn.ncbi.nlm.nih.gov/pmc/blobs/0c6f/11149423/753de37ef7d9/fvets-11-1378609-g012.jpg

相似文献

1
Onset and progression of postmortem histological changes in the central nervous system of RccHan: WIST rats.RccHan:WIST大鼠中枢神经系统死后组织学变化的发生与进展
Front Vet Sci. 2024 May 21;11:1378609. doi: 10.3389/fvets.2024.1378609. eCollection 2024.
2
Erratum: Eyestalk Ablation to Increase Ovarian Maturation in Mud Crabs.勘误:切除眼柄以增加泥蟹的卵巢成熟度。
J Vis Exp. 2023 May 26(195). doi: 10.3791/6561.
3
Correlations Between the Autolytic Changes and Postmortem Interval in Refrigerated Cadavers.冷藏尸体自溶变化与死亡时间间隔的相关性
Rom J Intern Med. 2016 Apr-Jun;54(2):105-12. doi: 10.1515/rjim-2016-0012.
4
Determination of Postmortem Interval in Mice.确定小鼠的死后间隔时间。
J Am Assoc Lab Anim Sci. 2024 Jul 1;63(4):428-436. doi: 10.30802/AALAS-JAALAS-23-000107. Epub 2024 Mar 12.
5
Artifacts in routinely immersion fixed nervous tissue.常规浸泡固定神经组织中的伪像。
Toxicol Pathol. 1990;18(1 Pt 2):149-53. doi: 10.1177/019262339001800120.
6
Histology of postmortem changes in rat livers to ascertain hour of death.大鼠肝脏死后变化的组织学检查以确定死亡时间。
Int J Tissue React. 1994;16(3):139-50.
7
Nonlesions, unusual cell types, and postmortem artifacts in the central nervous system of domestic animals.家畜中枢神经系统中的非病变、非典型细胞类型和死后人为假象。
Vet Pathol. 2013 Jan;50(1):122-43. doi: 10.1177/0300985812450719. Epub 2012 Jun 12.
8
Histopathologic evaluation of postmortem autolytic changes in bluegill (Lepomis macrohirus) and crappie (Pomoxis anularis) at varied time intervals and storage temperatures.在不同时间间隔和储存温度下对蓝鳃太阳鱼(Lepomis macrohirus)和黑 Crappie(Pomoxis anularis)死后自溶变化的组织病理学评估。
PeerJ. 2016 Apr 19;4:e1943. doi: 10.7717/peerj.1943. eCollection 2016.
9
Microscopic postmortem changes in kidneys of the domestic fowl.家禽肾脏的微观死后变化。
Avian Dis. 1984 Jul-Sep;28(3):586-607.
10
A histopathological analysis of spontaneous neoplastic and non-neoplastic lesions in aged male RccHan:WIST rats.老年雄性RccHan:WIST大鼠自发性肿瘤性和非肿瘤性病变的组织病理学分析。
J Toxicol Pathol. 2020 Jan;33(1):47-55. doi: 10.1293/tox.2019-0064. Epub 2019 Nov 22.

引用本文的文献

1
Onset and progression of postmortem histological changes in the kidneys of RccHan:WIST rats.RccHan:WIST大鼠肾脏死后组织学变化的发生与进展。
Front Vet Sci. 2025 May 9;12:1578579. doi: 10.3389/fvets.2025.1578579. eCollection 2025.

本文引用的文献

1
Effects of autolysis and prolonged formalin fixation on histomorphology and immunohistochemistry of normal canine brain tissue: an experimental study.自溶和长时间福尔马林固定对正常犬脑组织组织形态学和免疫组织化学的影响:一项实验研究。
J Vet Diagn Invest. 2024 Mar;36(2):169-176. doi: 10.1177/10406387231220649. Epub 2024 Jan 11.
2
Postmortem changes in brain cell structure: a review.脑细胞结构的死后变化:综述
Free Neuropathol. 2023 May 31;4:10. doi: 10.17879/freeneuropathology-2023-4790. eCollection 2023 Jan.
3
Autolysis Affects the Iron Cargo of Ferritins in Neurons and Glial Cells at Different Rates in the Human Brain.
自溶以不同的速率影响人脑神经元和神经胶质细胞中铁蛋白的铁载量。
Cell Mol Neurobiol. 2023 Aug;43(6):2909-2923. doi: 10.1007/s10571-023-01332-w. Epub 2023 Mar 15.
4
Loss of Nuclear Basophilic Staining as a Postmortem Interval Marker.细胞核嗜碱性染色丧失作为死后间隔时间的标志物
Am J Forensic Med Pathol. 2022 Jun 1;43(2):142-146. doi: 10.1097/PAF.0000000000000739. Epub 2021 Dec 21.
5
Feasibility of using tissue autolysis to estimate the postmortem interval in horses.利用组织自溶来估计马死后间隔时间的可行性。
J Vet Diagn Invest. 2021 Sep;33(5):825-833. doi: 10.1177/10406387211021865. Epub 2021 Jun 10.
6
Postmortem Protein Degradation as a Tool to Estimate the PMI: A Systematic Review.死后蛋白质降解作为估计死亡时间的工具:一项系统综述。
Diagnostics (Basel). 2020 Nov 26;10(12):1014. doi: 10.3390/diagnostics10121014.
7
Ultrastructural Characterization of Prolonged Normothermic and Cold Cerebral Ischemia in the Adult Rat.成年大鼠长时间常温及低温脑缺血的超微结构特征。
Rejuvenation Res. 2020 Jun;23(3):193-206. doi: 10.1089/rej.2019.2225. Epub 2020 Mar 12.
8
Shear stress-induced nuclear shrinkage through activation of Piezo1 channels in epithelial cells.机械切应力通过激活上皮细胞中的 Piezo1 通道引起核皱缩。
J Cell Sci. 2019 Jun 12;132(11):jcs226076. doi: 10.1242/jcs.226076.
9
Parameters for estimating the time of death at perinatal autopsy of stillborn fetuses: a systematic review.死产胎儿围产期尸检时死亡时间估计的参数:一项系统评价
Int J Legal Med. 2019 Mar;133(2):483-489. doi: 10.1007/s00414-019-01999-1. Epub 2019 Jan 8.
10
13 reasons why the brain is susceptible to oxidative stress.大脑易受氧化应激影响的 13 个原因。
Redox Biol. 2018 May;15:490-503. doi: 10.1016/j.redox.2018.01.008. Epub 2018 Feb 3.