• 文献检索
  • 文档翻译
  • 深度研究
  • 学术资讯
  • Suppr Zotero 插件Zotero 插件
  • 邀请有礼
  • 套餐&价格
  • 历史记录
应用&插件
Suppr Zotero 插件Zotero 插件浏览器插件Mac 客户端Windows 客户端微信小程序
定价
高级版会员购买积分包购买API积分包
服务
文献检索文档翻译深度研究API 文档MCP 服务
关于我们
关于 Suppr公司介绍联系我们用户协议隐私条款
关注我们

Suppr 超能文献

核心技术专利:CN118964589B侵权必究
粤ICP备2023148730 号-1Suppr @ 2026

文献检索

告别复杂PubMed语法,用中文像聊天一样搜索,搜遍4000万医学文献。AI智能推荐,让科研检索更轻松。

立即免费搜索

文件翻译

保留排版,准确专业,支持PDF/Word/PPT等文件格式,支持 12+语言互译。

免费翻译文档

深度研究

AI帮你快速写综述,25分钟生成高质量综述,智能提取关键信息,辅助科研写作。

立即免费体验

埃立克体属感染可使患有犬内脏利什曼病的犬的心脏损伤恶化。

Ehrlichia spp. infection worsens cardiac damage in dogs with canine visceral leishmaniasis.

机构信息

Universidade Federal do Acre - UFAC, Rio Branco, AC, Brasil.

Departamento de Medicina Veterinária, Universidade Federal de Juiz de Fora - UFJF, Juiz de Fora, MG, Brasil.

出版信息

Rev Bras Parasitol Vet. 2024 May 31;33(2):e018223. doi: 10.1590/S1984-29612024023. eCollection 2024.

DOI:10.1590/S1984-29612024023
PMID:38836809
原文链接:https://pmc.ncbi.nlm.nih.gov/articles/PMC11253817/
Abstract

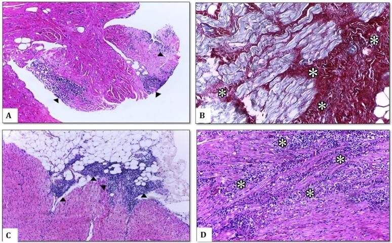
In endemic areas for canine visceral leishmaniasis (CVL), the occurrence of coinfection with other pathogens, such as Ehrlichia spp., has been associated with worsening of the clinical condition. The study aimed to evaluate the occurrence of histological changes in the myocardia of dogs naturally infected with Leishmania chagasi with or without coinfection with Ehrlichia spp.. We evaluated paraffin-embedded myocardial sections from 31 dogs, affected by either L. chagasi alone or coinfected with L. chagasi and Ehrlichia spp., to compare the extent and degree of cardiac damage. The blocks were divided into two groups. G1 (dogs infected only by L. chagasi) and G2 (dogs coinfected with L. chagasi and Ehrlichia spp.). The right atrium free wall, right ventricle free wall, left ventricle, and interventricular septum of all groups were evaluated. Cardiac alterations were observed in 41.93% (52/124) of the fragments evaluated and inflammatory infiltrate was the most common pattern found. The G2 group showed a higher incidence of myocarditis, with 61.53% (32/52), compared to the G1 group, in which 20 out of 72 cases (27.7%) exhibited histopathological changes (p <0.05). These findings confirmed that coinfection can potentiate cardiac damage in dogs.

摘要

在犬内脏利什曼病(CVL)的流行地区,与其他病原体(如埃立克体属)的合并感染与临床病情恶化有关。本研究旨在评估自然感染利什曼原虫的犬心肌组织中是否存在组织学变化,以及是否存在埃立克体属的合并感染。我们评估了 31 只犬的石蜡包埋心肌切片,这些犬要么单独感染了利什曼原虫,要么同时感染了利什曼原虫和埃立克体属,以比较心脏损伤的程度和程度。这些块被分为两组。G1 组(仅感染利什曼原虫的犬)和 G2 组(同时感染利什曼原虫和埃立克体属的犬)。评估了各组的右心房游离壁、右心室游离壁、左心室和室间隔。在评估的 124 个片段中,有 41.93%(52/124)观察到心脏改变,最常见的是炎症浸润模式。与 G1 组相比,G2 组心肌炎的发生率更高,61.53%(32/52),而 G1 组中 72 个病例中有 20 个(27.7%)出现组织病理学变化(p<0.05)。这些发现证实,合并感染会加剧犬的心脏损伤。

https://cdn.ncbi.nlm.nih.gov/pmc/blobs/7348/11253817/30d369ea8f18/rbpv-33-2-e018223-g02.jpg
https://cdn.ncbi.nlm.nih.gov/pmc/blobs/7348/11253817/583f0b8173d4/rbpv-33-2-e018223-g01.jpg
https://cdn.ncbi.nlm.nih.gov/pmc/blobs/7348/11253817/30d369ea8f18/rbpv-33-2-e018223-g02.jpg
https://cdn.ncbi.nlm.nih.gov/pmc/blobs/7348/11253817/583f0b8173d4/rbpv-33-2-e018223-g01.jpg
https://cdn.ncbi.nlm.nih.gov/pmc/blobs/7348/11253817/30d369ea8f18/rbpv-33-2-e018223-g02.jpg

相似文献

1
Ehrlichia spp. infection worsens cardiac damage in dogs with canine visceral leishmaniasis.埃立克体属感染可使患有犬内脏利什曼病的犬的心脏损伤恶化。
Rev Bras Parasitol Vet. 2024 May 31;33(2):e018223. doi: 10.1590/S1984-29612024023. eCollection 2024.
2
Detection of Ehrlichia canis, Babesia vogeli, and Toxoplasma gondii DNA in the Brain of Dogs Naturally Infected with Leishmania infantum.在自然感染婴儿利什曼原虫的犬类大脑中检测犬埃立克体、伯氏巴贝斯虫和刚地弓形虫DNA。
J Parasitol. 2016 Apr;102(2):275-9. doi: 10.1645/15-821. Epub 2016 Jan 13.
3
Pathology of dogs in Campo Grande, MS, Brazil naturally co-infected with Leishmania infantum and Ehrlichia canis.巴西马托格罗索州大坎普市自然感染婴儿利什曼原虫和犬埃立克体的犬类病理学
Rev Bras Parasitol Vet. 2014 Oct-Dec;23(4):509-15. doi: 10.1590/S1984-29612014081. Epub 2014 Dec 1.
4
PCR sensitivity of peripheral blood of dogs co-infected with Leishmania spp. and Ehrlichia spp. in endemic area of Brazil.巴西流行地区同时感染利什曼原虫属和埃立克体属的犬外周血的PCR敏感性
Rev Soc Bras Med Trop. 2018 Nov-Dec;51(6):843-847. doi: 10.1590/0037-8682-0040-2018.
5
Frequency of co-seropositivities for certain pathogens and their relationship with clinical and histopathological changes and parasite load in dogs infected with Leishmania infantum.感染利什曼原虫的犬某些病原体的共血清阳性率及其与临床和组织病理学变化及寄生虫负荷的关系。
PLoS One. 2021 Mar 11;16(3):e0247560. doi: 10.1371/journal.pone.0247560. eCollection 2021.
6
Prevalence of canine Babesia and Ehrlichia co-infection and the predictive value of haematology.犬巴贝斯虫和埃立克体混合感染的患病率及血液学的预测价值
Onderstepoort J Vet Res. 2018 Oct 9;85(1):e1-e5. doi: 10.4102/ojvr.v85i1.1626.
7
Association between canine leishmaniosis and Ehrlichia canis co-infection: a prospective case-control study.犬利什曼病与犬埃立克体病合并感染的相关性:一项前瞻性病例对照研究。
Parasit Vectors. 2018 Mar 20;11(1):184. doi: 10.1186/s13071-018-2717-8.
8
Ehrlichia canis and Leishmania infantum co-infection: a 3-year longitudinal study in naturally exposed dogs.犬埃立克体与婴儿利什曼原虫共感染:对自然暴露犬的3年纵向研究
Clin Microbiol Infect. 2009 Dec;15 Suppl 2:30-1. doi: 10.1111/j.1469-0691.2008.02150.x. Epub 2009 Mar 26.
9
Uncommon Ehrlichia canis infection associated with morulae in neutrophils from naturally infected dogs in Brazil.巴西自然感染犬中性粒细胞中罕见的埃立克体犬种感染与嗜碱性粒细胞相关。
Transbound Emerg Dis. 2020 Jul;67 Suppl 2:135-141. doi: 10.1111/tbed.13390. Epub 2019 Nov 12.
10
A recombinant cysteine proteinase from Leishmania (Leishmania) chagasi as an antigen for delayed-type hypersensitivity assays and serodiagnosis of canine visceral leishmaniasis.来自恰加斯利什曼原虫(利什曼原虫属)的一种重组半胱氨酸蛋白酶,作为犬内脏利什曼病迟发型超敏反应检测和血清学诊断的抗原。
Vet Parasitol. 2009 May 26;162(1-2):32-9. doi: 10.1016/j.vetpar.2009.02.011. Epub 2009 Feb 14.

本文引用的文献

1
Investigation of comorbidities in dogs with leishmaniosis due to Leishmania infantum.调查感染婴儿利什曼原虫的犬的合并症。
Vet Parasitol Reg Stud Reports. 2023 Apr;39:100844. doi: 10.1016/j.vprsr.2023.100844. Epub 2023 Feb 15.
2
Association of myocardial parasitic load with cardiac biomarkers and other selected variables in 10 dogs with advanced Canine Leishmaniasis.10只患有晚期犬利什曼病的犬心肌寄生虫负荷与心脏生物标志物及其他选定变量的关联。
Vet Rec. 2021 Sep;189(6):e198. doi: 10.1002/vetr.198. Epub 2021 Apr 26.
3
Associations between clinical canine leishmaniosis and multiple vector-borne co-infections: a case-control serological study.
临床犬利什曼病与多种媒介传播的合并感染之间的关联:一项病例对照血清学研究。
BMC Vet Res. 2019 Sep 18;15(1):331. doi: 10.1186/s12917-019-2083-6.
4
Evaluation of heart rate variability and behavior of electrocardiographic parameters in dogs affected by chronic Monocytic Ehrlichiosis.评估患有慢性单核细胞埃立克体病的犬的心率变异性和心电图参数的变化。
PLoS One. 2019 May 24;14(5):e0216552. doi: 10.1371/journal.pone.0216552. eCollection 2019.
5
Association between canine leishmaniosis and Ehrlichia canis co-infection: a prospective case-control study.犬利什曼病与犬埃立克体病合并感染的相关性:一项前瞻性病例对照研究。
Parasit Vectors. 2018 Mar 20;11(1):184. doi: 10.1186/s13071-018-2717-8.
6
Does co-infection with vector-borne pathogens play a role in clinical canine leishmaniosis?犬利什曼病的临床感染中,是否有媒介传播病原体的共感染作用?
Parasit Vectors. 2018 Mar 20;11(1):135. doi: 10.1186/s13071-018-2724-9.
7
Occurrence of Leishmania infantum in the central nervous system of naturally infected dogs: Parasite load, viability, co-infections and histological alterations.婴儿利什曼原虫在自然感染犬中枢神经系统中的发生情况:寄生虫负荷、活力、合并感染及组织学改变
PLoS One. 2017 Apr 18;12(4):e0175588. doi: 10.1371/journal.pone.0175588. eCollection 2017.
8
Immunopathological Features of Canine Myocarditis Associated with Leishmania infantum Infection.与婴儿利什曼原虫感染相关的犬心肌炎的免疫病理学特征
Biomed Res Int. 2016;2016:8016186. doi: 10.1155/2016/8016186. Epub 2016 Jun 19.
9
Leishmania, Babesia and Ehrlichia in urban pet dogs: co-infection or cross-reaction in serological methods?城市宠物狗中的利什曼原虫、巴贝斯虫和埃立克体:血清学方法中的共感染还是交叉反应?
Rev Soc Bras Med Trop. 2015 Jan-Feb;48(1):64-8. doi: 10.1590/0037-8682-0291-2014. Epub 2015 Jan 1.
10
Pathology of dogs in Campo Grande, MS, Brazil naturally co-infected with Leishmania infantum and Ehrlichia canis.巴西马托格罗索州大坎普市自然感染婴儿利什曼原虫和犬埃立克体的犬类病理学
Rev Bras Parasitol Vet. 2014 Oct-Dec;23(4):509-15. doi: 10.1590/S1984-29612014081. Epub 2014 Dec 1.