Suppr超能文献

结肠镜检查后医源性右侧膈疝

Iatrogenic Right-Sided Diaphragmatic Hernia After Colonoscopy.

作者信息

Guart Jiddu A, Taros Trenton, Guber Robert, Briskin Camille

机构信息

Surgery, University of Massachusetts, Worcester, USA.

General Surgery, University of Massachusetts, Worcester, USA.

出版信息

Cureus. 2024 May 6;16(5):e59761. doi: 10.7759/cureus.59761. eCollection 2024 May.

Abstract

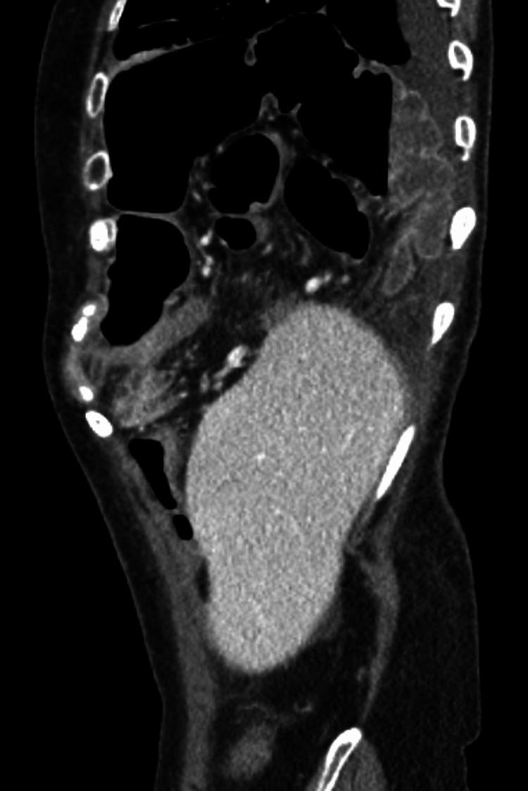
Congenital diaphragmatic hernias (CDH) occur as a result of genetic and environmental factors that occur during the early stages of fetal development. Overall, CDH are considered to be quite rare and are often discovered when patients are neonates. The patient in this case underwent a routine colonoscopy for high-risk polyps but then developed the sudden onset of cramping abdominal pain and PO (per os) intolerance. She was found to have a right-sided diaphragmatic hernia which ultimately required operative intervention. Retrospectively, a close review of prior imaging revealed a potential diaphragm defect. Post-colonoscopy diaphragmatic hernias are very rare and right-sided ones are rarer, making this case report an important addition to the literature.

摘要

先天性膈疝(CDH)是由胎儿发育早期的遗传和环境因素导致的。总体而言,CDH被认为相当罕见,通常在患者为新生儿时被发现。该病例中的患者因高危息肉接受了常规结肠镜检查,但随后突然出现腹部绞痛和经口不耐受。她被发现患有右侧膈疝,最终需要手术干预。回顾性地看,对之前的影像学检查进行仔细复查发现了潜在的膈肌缺损。结肠镜检查后发生的膈疝非常罕见,而右侧膈疝则更为罕见,因此本病例报告为文献增添了重要内容。

https://cdn.ncbi.nlm.nih.gov/pmc/blobs/4e78/11153082/5d05a291fd9b/cureus-0016-00000059761-i01.jpg

文献检索

告别复杂PubMed语法,用中文像聊天一样搜索,搜遍4000万医学文献。AI智能推荐,让科研检索更轻松。

立即免费搜索

文件翻译

保留排版,准确专业,支持PDF/Word/PPT等文件格式,支持 12+语言互译。

免费翻译文档

深度研究

AI帮你快速写综述,25分钟生成高质量综述,智能提取关键信息,辅助科研写作。

立即免费体验