Suppr超能文献

从“同一健康”角度来看红鹿( Cervus elaphus )体内重金属和类金属浓度及其对人类健康的影响。

Heavy metal and metalloid concentrations in red deer (Cervus elaphus) and their human health implications from One Health perspective.

机构信息

Departamento de Ciências Veterinárias, Escola de Ciências Agrárias E Veterinárias (ECAV), Universidade de Trás-Os-Montes E Alto Douro (UTAD), Vila Real, Portugal.

Centro de Investigação das Tecnologias Agroambientais E Biológicas (CITAB/ Inov4Agro), UTAD, Vila Real, Portugal.

出版信息

Environ Geochem Health. 2024 Jun 7;46(7):226. doi: 10.1007/s10653-024-01991-8.

Abstract

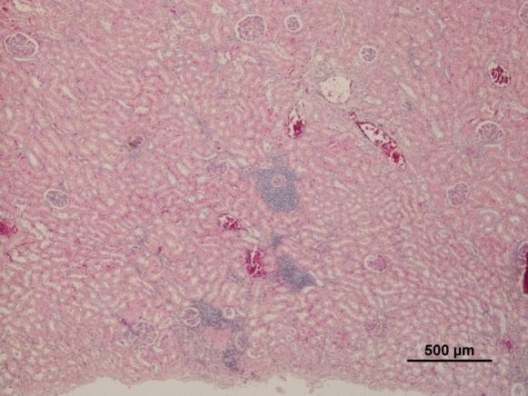
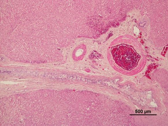
The red deer is an ungulate and large game species. The contamination of the ecosystems by metal(loid)s may lead to the exposure of animals (as well as humans) through water and food resources. The direct contact of hunters and wild animal meat consumers with deer carcasses may be a potential contaminant source. This study aimed to determine the metal(loid)s' concentrations in the liver and kidney of red deer from two regions of Portugal (Idanha-a-Nova and Lousã), and to relate these with histopathologic lesions. Thirteen young male deer were submitted to metal(loid) determination (As, Cd, Co, Cr, Cu, Pb, and Zn) by inductively coupled plasma mass spectrophotometry (ICP-MS) and histopathology examination. Renal Cd (8.072 ± 5.766 mg/kg dw) and hepatic Pb (3.824 ± 6.098 mg/kg dw) mean values were high, considering the maximum values for consumption established by the European Commission. The hepatic mean value of Cu was significantly higher in Idanha-a-Nova (150.059 ± 33.321 mg/kg dw), and it is at the Cu toxicity limit considered for ruminants (150 mg/kg). The pollution induced by Panasqueira mines (Castelo Branco) may be a possible explanation for some of the findings, especially the higher values of hepatic Cu and Pb found in Idanha-a-Nova deer. These results have high importance under a One Health perspective, since they have implications in public health, and pose at risk the imbalance of animal populations and ecosystems.

摘要

马鹿是一种有蹄类大型猎物物种。金属(类)污染物对生态系统的污染可能导致动物(包括人类)通过水和食物资源暴露于其中。猎人以及野生动物肉类消费者与鹿尸的直接接触可能是潜在的污染物来源。本研究旨在确定葡萄牙两个地区(伊达尼亚-诺瓦和洛萨)的马鹿肝脏和肾脏中的金属(类)浓度,并将其与组织病理学病变相关联。对 13 只年轻雄性鹿进行了金属(类)测定(砷、镉、钴、铬、铜、铅和锌),采用电感耦合等离子体质谱法(ICP-MS)和组织病理学检查。考虑到欧洲委员会制定的消费最高值,肾脏中的镉(8.072±5.766mg/kg 干重)和肝脏中的铅(3.824±6.098mg/kg 干重)平均值较高。伊达尼亚-诺瓦的肝脏铜平均值(150.059±33.321mg/kg 干重)显著较高,而这一平均值已达到反刍动物铜毒性限值(150mg/kg)。潘纳奎拉矿(布兰科城堡)造成的污染可能是造成部分研究结果的一个可能原因,尤其是伊达尼亚-诺瓦鹿肝脏中发现的铜和铅含量较高。从“同一健康”的角度来看,这些结果具有重要意义,因为它们涉及公共卫生问题,并对动物种群和生态系统的失衡构成风险。

https://cdn.ncbi.nlm.nih.gov/pmc/blobs/e0bc/11161529/69cce0c74dc6/10653_2024_1991_Fig1_HTML.jpg

文献AI研究员

20分钟写一篇综述,助力文献阅读效率提升50倍。

立即体验

用中文搜PubMed

大模型驱动的PubMed中文搜索引擎

马上搜索

文档翻译

学术文献翻译模型,支持多种主流文档格式。

立即体验