Abdelgalil Ahmed I, Yassin Aya M, Khattab Marwa S, Abdelnaby Elshymaa A, Marouf Sherif A, Farghali Haithem A, Emam Ibrahim A
Department of Surgery, Anesthesiology, and Radiology, Faculty of Veterinary Medicine, Cairo University, Giza, 12211, Egypt.
Department of Biochemistry and Molecular Biology, Faculty of Veterinary Medicine, Cairo University, Giza, 12211, Egypt.
Sci Rep. 2024 Jun 13;14(1):13612. doi: 10.1038/s41598-024-63760-y.
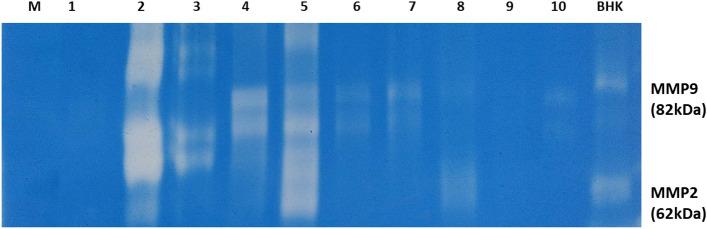
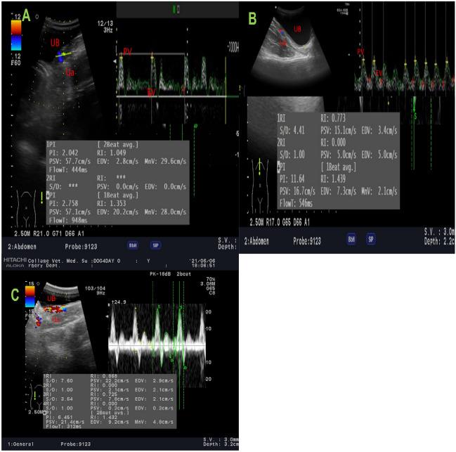
One of the most prevalent disorders of the urinary system is urinary tract infection, which is mostly brought on by uropathogenic Escherichia coli (UPEC). The objective of this study was to evaluate the regenerative therapeutic and antibacterial efficacy of PRP for induced bacterial cystitis in dogs in comparison to conventional antibiotics. 25 healthy male mongrel dogs were divided into 5 groups (n = 5). Control negative group that received neither induced infection nor treatments. 20 dogs were randomized into 4 groups after two weeks of induction of UPEC cystitis into; Group 1 (control positive; G1) received weekly intravesicular instillation of sodium chloride 0.9%. Group 2 (syst/PRP; G2), treated with both systemic intramuscular antibiotic and weekly intravesicular instillation of PRP; Group 3 (PRP; G3), treated with weekly intravesicular instillation of PRP, and Group 4 (syst; G4) treated with an intramuscular systemic antibiotic. Animals were subjected to weekly clinical, ultrasonographic evaluation, urinary microbiological analysis, and redox status biomarkers estimation. Urinary matrix metalloproteinases (MMP-2, MMP-9) and urinary gene expression for platelet-derived growth factor -B (PDGF-B), nerve growth factor (NGF), and vascular endothelial growth factor (VEGF) were measured. At the end of the study, dogs were euthanized, and the bladder tissues were examined macroscopically, histologically, and immunohistochemically for NF-κB P65 and Cox-2. The PRP-treated group showed significant improvement for all the clinical, Doppler parameters, and the urinary redox status (p < 0.05). The urinary MMPs activity was significantly decreased in the PRP-treated group and the expression level of urinary NGF and VEGF were downregulated while PDGFB was significantly upregulated (p < 0.05). Meanwhile, the urinary viable cell count was significantly reduced in all treatments (P < 0.05). Gross examination of bladder tissue showed marked improvement for the PRP-treated group, expressed in the histopathological findings. Immunohistochemical analysis revealed a marked increase in Cox-2 and NF-κB P65 in the PRP-treated group (P < 0.05). autologous CaCl2-activated PRP was able to overcome the bacterial infection, generating an inflammatory environment to overcome the old one and initiate tissue healing. Hence, PRP is a promising alternative therapeutic for UPEC cystitis instead of conventional antibiotics.
泌尿系统最常见的疾病之一是尿路感染,主要由尿路致病性大肠杆菌(UPEC)引起。本研究的目的是评估与传统抗生素相比,富血小板血浆(PRP)对犬诱导性细菌性膀胱炎的再生治疗和抗菌效果。将25只健康雄性杂种犬分为5组(n = 5)。阴性对照组既不接受诱导感染也不接受治疗。在诱导UPEC膀胱炎两周后,将20只犬随机分为4组;第1组(阳性对照组;G1)每周膀胱内灌注0.9%氯化钠。第2组(全身/PRP组;G2),同时接受全身肌肉注射抗生素和每周膀胱内灌注PRP治疗;第3组(PRP组;G3),每周膀胱内灌注PRP治疗,第4组(全身组;G4)接受肌肉注射全身抗生素治疗。对动物进行每周一次的临床、超声评估、尿液微生物分析和氧化还原状态生物标志物评估。检测尿液基质金属蛋白酶(MMP-2、MMP-9)以及血小板衍生生长因子-B(PDGF-B)、神经生长因子(NGF)和血管内皮生长因子(VEGF)的尿液基因表达。在研究结束时,对犬实施安乐死,并对膀胱组织进行大体、组织学和免疫组织化学检查,检测核因子κB P65(NF-κB P65)和环氧化酶-2(Cox-2)。PRP治疗组在所有临床、多普勒参数和尿液氧化还原状态方面均有显著改善(p < 0.05)。PRP治疗组尿液MMPs活性显著降低,尿液NGF和VEGF表达水平下调,而PDGFB显著上调(p < 0.05)。同时,所有治疗组的尿液活菌计数均显著降低(P < 0.05)。膀胱组织的大体检查显示PRP治疗组有明显改善,这在组织病理学检查结果中得到体现。免疫组织化学分析显示PRP治疗组Cox-2和NF-κB P65显著增加(P < 0.05)。自体氯化钙激活的PRP能够克服细菌感染,产生一种炎症环境以取代原有的炎症环境并启动组织愈合。因此,与传统抗生素相比,PRP是治疗UPEC膀胱炎的一种有前景的替代疗法。