Medical School of Southeast University, Nanjing, 210003, China.
Department of Respiratory and Critical Care Medicine, Jinling Hospital, Affiliated Hospital of Medical School, Nanjing University, Nanjing, 210002, China.
J Exp Clin Cancer Res. 2024 Jun 14;43(1):164. doi: 10.1186/s13046-024-03073-0.
Understanding the mechanisms that mediate the interaction between tumor and immune cells may provide therapeutic benefit to patients with cancer. The N6-methyladenosine (m6A) demethylase, ALKBH5 (alkB homolog 5), is overexpressed in non-small cell lung cancer. However, its role in the tumor microenvironment is unknown.
Datasets and tissue samples were used to determine the relationship between ALKBH5 expression and immunotherapy efficacy. Bioinformatic analysis, colorimetric assay to determine m6A RNA methylation, dual luciferase reporter assay, RNA/m6A-modified RNA immunoprecipitation, RNA stability assay, and RNA sequencing were used to investigate the regulatory mechanism of ALKBH5 in non-small cell lung cancer. In vitro and in vivo assays were performed to determine the contribution of ALKBH5 to the development of non-small cell lung cancer.
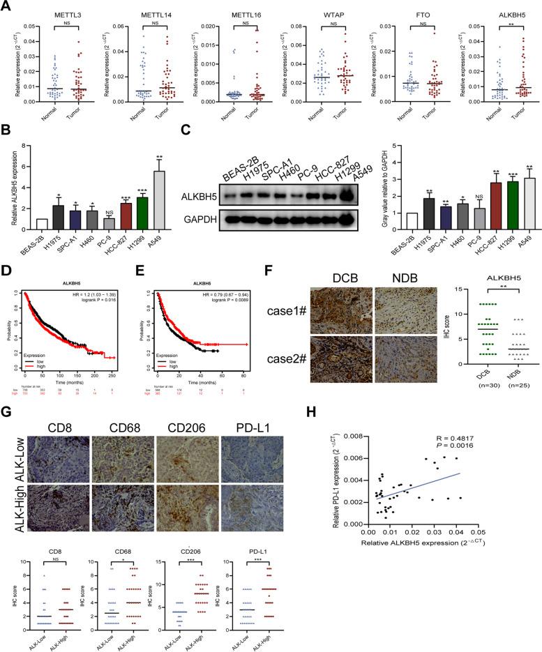
ALKBH5 was upregulated in primary non-small cell lung cancer tissues. ALKBH5 was positively correlated with programmed death-ligand 1 expression and macrophage infiltration and was associated with immunotherapy response. JAK2 was identified as a target of ALKBH5-mediated m6A modification, which activates the JAK2/p-STAT3 pathway to promote non-small cell lung cancer progression. ALKBH5 was found to recruit programmed death-ligand 1-positive tumor-associated macrophages and promote M2 macrophage polarization by inducing the secretion of CCL2 and CXCL10. ALKBH5 and tumor-associated macrophage-secreted IL-6 showed a synergistic effect to activate the JAK2/p-STAT3 pathway in cancer cells.
ALKBH5 promotes non-small cell lung cancer progression by regulating cancer and tumor-associated macrophage behavior through the JAK2/p-STAT3 pathway and the expression of CCL2 and CXCL10, respectively. These findings suggest that targeting ALKBH5 is a promising strategy of enhancing the anti-tumor immune response in patients with NSCLC and that identifying ALKBH5 status could facilitate prediction of clinical response to anti-PD-L1 immunotherapy.
了解介导肿瘤细胞与免疫细胞相互作用的机制可能为癌症患者带来治疗益处。N6-甲基腺苷(m6A)去甲基酶 ALKBH5(alkB 同源物 5)在非小细胞肺癌中过表达。然而,其在肿瘤微环境中的作用尚不清楚。
使用数据集和组织样本确定 ALKBH5 表达与免疫治疗疗效之间的关系。生物信息学分析、比色法测定 m6A RNA 甲基化、双荧光素酶报告基因检测、RNA/m6A 修饰的 RNA 免疫沉淀、RNA 稳定性测定和 RNA 测序用于研究 ALKBH5 在非小细胞肺癌中的调控机制。进行体外和体内实验以确定 ALKBH5 对非小细胞肺癌发展的贡献。
ALKBH5 在原发性非小细胞肺癌组织中上调。ALKBH5 与程序性死亡配体 1 表达和巨噬细胞浸润呈正相关,并与免疫治疗反应相关。JAK2 被鉴定为 ALKBH5 介导的 m6A 修饰的靶标,该修饰激活 JAK2/p-STAT3 通路以促进非小细胞肺癌进展。ALKBH5 通过诱导 CCL2 和 CXCL10 的分泌来招募程序性死亡配体 1 阳性肿瘤相关巨噬细胞并促进 M2 巨噬细胞极化。ALKBH5 和肿瘤相关巨噬细胞分泌的 IL-6 表现出协同作用,可通过激活 JAK2/p-STAT3 通路在癌细胞中发挥作用。
ALKBH5 通过调节癌症和肿瘤相关巨噬细胞的行为,分别通过 JAK2/p-STAT3 通路和 CCL2 和 CXCL10 的表达来促进非小细胞肺癌的进展。这些发现表明,靶向 ALKBH5 是增强非小细胞肺癌患者抗肿瘤免疫反应的一种有前途的策略,并且鉴定 ALKBH5 状态可以有助于预测抗 PD-L1 免疫治疗的临床反应。