• 文献检索
  • 文档翻译
  • 深度研究
  • 学术资讯
  • Suppr Zotero 插件Zotero 插件
  • 邀请有礼
  • 套餐&价格
  • 历史记录
应用&插件
Suppr Zotero 插件Zotero 插件浏览器插件Mac 客户端Windows 客户端微信小程序
定价
高级版会员购买积分包购买API积分包
服务
文献检索文档翻译深度研究API 文档MCP 服务
关于我们
关于 Suppr公司介绍联系我们用户协议隐私条款
关注我们

Suppr 超能文献

核心技术专利:CN118964589B侵权必究
粤ICP备2023148730 号-1Suppr @ 2026

文献检索

告别复杂PubMed语法,用中文像聊天一样搜索,搜遍4000万医学文献。AI智能推荐,让科研检索更轻松。

立即免费搜索

文件翻译

保留排版,准确专业,支持PDF/Word/PPT等文件格式,支持 12+语言互译。

免费翻译文档

深度研究

AI帮你快速写综述,25分钟生成高质量综述,智能提取关键信息,辅助科研写作。

立即免费体验

胸部非增强计算机断层扫描在检测急性肺血栓栓塞症中的应用:一项单中心回顾性研究。

Chest non‑contrasted computed tomography in detecting acute pulmonary thromboembolism: A single‑center retrospective study.

作者信息

Guo Runcai, Deng Mei, Xi Linfeng, Zhang Shuai, Xu Wenqing, Liu Min

机构信息

Department of Radiology, China-Japan Friendship Hospital, Beijing 100029, P.R. China.

Department of Radiology, China-Japan Friendship Hospital of Chinese Academy of Medical Sciences and Peking Union Medical College, Beijing 100029, P.R. China.

出版信息

Exp Ther Med. 2024 May 29;28(2):304. doi: 10.3892/etm.2024.12593. eCollection 2024 Aug.

DOI:10.3892/etm.2024.12593
PMID:38873047
原文链接:https://pmc.ncbi.nlm.nih.gov/articles/PMC11170327/
Abstract

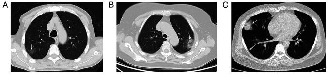
The object of the study was to evaluate comprehensively the value of chest non-contrasted CT (NC-CT) in detecting acute pulmonary thromboembolism (APE). All patients were categorized into two groups: i) With APE; and ii) without APE based on clinical diagnosis. Using the clot distribution on computed tomography pulmonary angiography (CTPA), APE was divided into central and peripheral APE. Imaging features including hyperdense lumen sign and peripheral wedge-shaped opacity on chest NC-CT were evaluated. The attenuation value of peripheral wedge-shaped opacity on NC-CT was compared between patients with and without APE. Among the 273 patients, there were 110 patients with APE, 49 patients with central APE and 61 patients with peripheral APE and 163 patients without APE. The hyperdense lumen sign had a sensitivity of 30.0% and a specificity of 97.6% in detecting APE. The sensitivity and specificity of hyperdense lumen sign in detecting central APE were 57.1 and 97.6%, respectively, while the relevant percentages in detecting peripheral APE were 8.2 and 97.6%, respectively. The mean attenuation value of peripheral wedge-shaped opacity in patients with APE was significantly lower than that in patients without APE (P<0.001). Regarding the age-adjusted D-dimer, there was a decrease of eight D-dimer positive cases for patients >50 years old without APE, confirmed by CTPA. In conclusion, chest NC-CT cannot be used as an alternative modality for CTPA in diagnosing APE, however, the hyperdense lumen sign had high specificity in the diagnosis of central APE. Patients with this symptom and increased D-dimer may not require further CTPA. The lower attenuation value of peripheral wedge-shaped opacity on NC-CT suggested APE, and CTPA confirmation was required. The age-adjusted D-dimer had higher specificity in excluding APE.

摘要

本研究的目的是全面评估胸部平扫CT(NC-CT)在检测急性肺血栓栓塞症(APE)中的价值。所有患者根据临床诊断分为两组:i)患有APE;ii)未患有APE。根据计算机断层扫描肺动脉造影(CTPA)上的血栓分布,APE分为中央型和外周型APE。评估胸部NC-CT上的高密度管腔征和外周楔形实变影等影像特征。比较有和无APE患者NC-CT上外周楔形实变影的衰减值。273例患者中,有110例患有APE,其中49例为中央型APE,61例为外周型APE,163例未患有APE。高密度管腔征检测APE的灵敏度为30.0%,特异度为97.6%。高密度管腔征检测中央型APE的灵敏度和特异度分别为57.1%和97.6%,而检测外周型APE的相应百分比分别为8.2%和97.6%。APE患者外周楔形实变影的平均衰减值显著低于无APE患者(P<0.001)。关于年龄校正的D-二聚体,经CTPA证实,>50岁无APE患者的D-二聚体阳性病例减少了8例。总之,胸部NC-CT不能作为CTPA诊断APE的替代方法,然而,高密度管腔征在中央型APE诊断中具有高特异度。有此症状且D-二聚体升高的患者可能无需进一步行CTPA检查。NC-CT上外周楔形实变影衰减值较低提示APE,需CTPA确诊。年龄校正的D-二聚体在排除APE方面具有更高的特异度。

https://cdn.ncbi.nlm.nih.gov/pmc/blobs/94dd/11170327/f5a99222e2b1/etm-28-02-12593-g07.jpg
https://cdn.ncbi.nlm.nih.gov/pmc/blobs/94dd/11170327/1cd3fb624baf/etm-28-02-12593-g00.jpg
https://cdn.ncbi.nlm.nih.gov/pmc/blobs/94dd/11170327/415a226b685c/etm-28-02-12593-g01.jpg
https://cdn.ncbi.nlm.nih.gov/pmc/blobs/94dd/11170327/36712f290ff8/etm-28-02-12593-g02.jpg
https://cdn.ncbi.nlm.nih.gov/pmc/blobs/94dd/11170327/77ed510bd964/etm-28-02-12593-g03.jpg
https://cdn.ncbi.nlm.nih.gov/pmc/blobs/94dd/11170327/a47d1e2b6195/etm-28-02-12593-g04.jpg
https://cdn.ncbi.nlm.nih.gov/pmc/blobs/94dd/11170327/eaa47aaadec3/etm-28-02-12593-g05.jpg
https://cdn.ncbi.nlm.nih.gov/pmc/blobs/94dd/11170327/d0082381a78b/etm-28-02-12593-g06.jpg
https://cdn.ncbi.nlm.nih.gov/pmc/blobs/94dd/11170327/f5a99222e2b1/etm-28-02-12593-g07.jpg
https://cdn.ncbi.nlm.nih.gov/pmc/blobs/94dd/11170327/1cd3fb624baf/etm-28-02-12593-g00.jpg
https://cdn.ncbi.nlm.nih.gov/pmc/blobs/94dd/11170327/415a226b685c/etm-28-02-12593-g01.jpg
https://cdn.ncbi.nlm.nih.gov/pmc/blobs/94dd/11170327/36712f290ff8/etm-28-02-12593-g02.jpg
https://cdn.ncbi.nlm.nih.gov/pmc/blobs/94dd/11170327/77ed510bd964/etm-28-02-12593-g03.jpg
https://cdn.ncbi.nlm.nih.gov/pmc/blobs/94dd/11170327/a47d1e2b6195/etm-28-02-12593-g04.jpg
https://cdn.ncbi.nlm.nih.gov/pmc/blobs/94dd/11170327/eaa47aaadec3/etm-28-02-12593-g05.jpg
https://cdn.ncbi.nlm.nih.gov/pmc/blobs/94dd/11170327/d0082381a78b/etm-28-02-12593-g06.jpg
https://cdn.ncbi.nlm.nih.gov/pmc/blobs/94dd/11170327/f5a99222e2b1/etm-28-02-12593-g07.jpg

相似文献

1
Chest non‑contrasted computed tomography in detecting acute pulmonary thromboembolism: A single‑center retrospective study.胸部非增强计算机断层扫描在检测急性肺血栓栓塞症中的应用:一项单中心回顾性研究。
Exp Ther Med. 2024 May 29;28(2):304. doi: 10.3892/etm.2024.12593. eCollection 2024 Aug.
2
The validity of hyperdense lumen sign in non-contrast chest CT scans in the detection of pulmonary thromboembolism.非增强胸部 CT 扫描中高密度管腔征对肺血栓栓塞症的检测价值。
Int J Cardiovasc Imaging. 2011 Mar;27(3):433-40. doi: 10.1007/s10554-010-9673-5. Epub 2010 Jul 24.
3
Acute pulmonary embolism in non-hospitalized COVID-19 patients referred to CTPA by emergency department.因急诊而接受 CTPA 检查的非住院 COVID-19 患者中的急性肺栓塞。
Eur Radiol. 2020 Nov;30(11):6170-6177. doi: 10.1007/s00330-020-06977-5. Epub 2020 Jun 9.
4
Development and validation of a lung graph-based machine learning model to predict acute pulmonary thromboembolism on chest noncontrast computed tomography.基于肺部影像的机器学习模型的开发与验证,用于在胸部非增强计算机断层扫描上预测急性肺血栓栓塞症。
Quant Imaging Med Surg. 2023 Oct 1;13(10):6710-6723. doi: 10.21037/qims-22-1059. Epub 2023 Sep 1.
5
[Clinical features of 40 elderly patients with pulmonary thromboembolism: a retrospective study].40例老年肺血栓栓塞症患者的临床特征:一项回顾性研究
Zhonghua Wei Zhong Bing Ji Jiu Yi Xue. 2020 Oct;32(10):1236-1240. doi: 10.3760/cma.j.cn121430-20200509-00454.
6
Unenhanced multidetector computed tomography findings in acute central pulmonary embolism.急性中央型肺栓塞的多排 CT 平扫表现。
BMC Med Imaging. 2019 Aug 14;19(1):65. doi: 10.1186/s12880-019-0364-y.
7
Elevated d-dimer cut-off values for computed tomography pulmonary angiography-d-dimer correlates with location of embolism.计算机断层扫描肺动脉造影 - D-二聚体升高的截断值与栓塞部位相关。
Ann Transl Med. 2016 Jun;4(11):212. doi: 10.21037/atm.2016.05.55.
8
Evaluating the Performance of Unenhanced Computed Tomography in the Diagnosis of Pulmonary Embolism.评估非增强计算机断层扫描在肺栓塞诊断中的性能。
J Tehran Heart Cent. 2021 Oct;16(4):156-161. doi: 10.18502/jthc.v16i4.8601.
9
Acute pulmonary embolism in patients presenting pulmonary deterioration after hospitalisation for non-critical COVID-19.非重症 COVID-19 住院后出现肺部恶化的患者中的急性肺栓塞。
Intern Med J. 2021 Aug;51(8):1236-1242. doi: 10.1111/imj.15307.
10
Comparison of Dual-Energy Computed Tomography Pulmonary Angiography-Derived Contrast Enhancement with Standard Dual-Energy Pulmonary Angiography in Diagnosing Subsegmental Pulmonary Embolism: A Prospective Study.双能计算机断层扫描肺血管造影衍生的对比增强与标准双能肺血管造影在诊断亚段肺栓塞中的比较:一项前瞻性研究
Indian J Radiol Imaging. 2023 May 18;33(4):456-462. doi: 10.1055/s-0043-1764489. eCollection 2023 Oct.

本文引用的文献

1
Evaluating the Performance of Unenhanced Computed Tomography in the Diagnosis of Pulmonary Embolism.评估非增强计算机断层扫描在肺栓塞诊断中的性能。
J Tehran Heart Cent. 2021 Oct;16(4):156-161. doi: 10.18502/jthc.v16i4.8601.
2
Pulmonary infarction in acute pulmonary embolism.急性肺栓塞中的肺梗死。
Thromb Res. 2021 Jun;202:162-169. doi: 10.1016/j.thromres.2021.03.022. Epub 2021 Apr 1.
3
Incidence of acute pulmonary embolism in COVID-19 patients: Systematic review and meta-analysis.新型冠状病毒肺炎患者急性肺栓塞的发生率:系统评价和荟萃分析。
Eur J Intern Med. 2020 Dec;82:29-37. doi: 10.1016/j.ejim.2020.09.006. Epub 2020 Sep 17.
4
Pulmonary embolism: update on management and controversies.肺栓塞:管理与争议的更新。
BMJ. 2020 Aug 5;370:m2177. doi: 10.1136/bmj.m2177.
5
Unenhanced multidetector computed tomography findings in acute central pulmonary embolism.急性中央型肺栓塞的多排 CT 平扫表现。
BMC Med Imaging. 2019 Aug 14;19(1):65. doi: 10.1186/s12880-019-0364-y.
6
Global Burden of Thrombosis: Epidemiologic Aspects.全球血栓形成负担:流行病学方面。
Circ Res. 2016 Apr 29;118(9):1340-7. doi: 10.1161/CIRCRESAHA.115.306841.
7
Widely Used Types and Clinical Applications of D-Dimer Assay.D-二聚体检测的广泛应用类型及临床应用
Lab Med. 2016 May;47(2):90-102. doi: 10.1093/labmed/lmw001. Epub 2016 Mar 25.
8
Evaluation of Patients With Suspected Acute Pulmonary Embolism: Best Practice Advice From the Clinical Guidelines Committee of the American College of Physicians.疑似急性肺栓塞患者评估:美国医师学院临床指南委员会的最佳实践建议。
Ann Intern Med. 2015 Nov 3;163(9):701-11. doi: 10.7326/M14-1772. Epub 2015 Sep 29.
9
Thrombosis: a major contributor to global disease burden.血栓形成:全球疾病负担的主要促成因素。
Arterioscler Thromb Vasc Biol. 2014 Nov;34(11):2363-71. doi: 10.1161/ATVBAHA.114.304488.
10
Age-adjusted D-dimer cutoff levels to rule out pulmonary embolism: the ADJUST-PE study.年龄校正 D-二聚体界值排除肺栓塞:ADJUST-PE 研究。
JAMA. 2014 Mar 19;311(11):1117-24. doi: 10.1001/jama.2014.2135.