• 文献检索
  • 文档翻译
  • 深度研究
  • 学术资讯
  • Suppr Zotero 插件Zotero 插件
  • 邀请有礼
  • 套餐&价格
  • 历史记录
应用&插件
Suppr Zotero 插件Zotero 插件浏览器插件Mac 客户端Windows 客户端微信小程序
定价
高级版会员购买积分包购买API积分包
服务
文献检索文档翻译深度研究API 文档MCP 服务
关于我们
关于 Suppr公司介绍联系我们用户协议隐私条款
关注我们

Suppr 超能文献

核心技术专利:CN118964589B侵权必究
粤ICP备2023148730 号-1Suppr @ 2026

文献检索

告别复杂PubMed语法,用中文像聊天一样搜索,搜遍4000万医学文献。AI智能推荐,让科研检索更轻松。

立即免费搜索

文件翻译

保留排版,准确专业,支持PDF/Word/PPT等文件格式,支持 12+语言互译。

免费翻译文档

深度研究

AI帮你快速写综述,25分钟生成高质量综述,智能提取关键信息,辅助科研写作。

立即免费体验

病例报告;同时合并左胡桃夹综合征和右肾盂输尿管连接处梗阻

Case Report; Concomitant Left Nutcracker Syndrome and Right Ureteropelvic Junction Obstruction.

作者信息

Kidane Mintesnot Yitagesu, Mideksa Adugna Getachew, Adem Mubarek Bargicho, Gebrehiwot Fitsum Gebreegziabher, Adem Ramzi Yessuf, Ahmed Mensur Mohammed, Aderu Abebe Ketema, Berta Mintesnot Tadesse

机构信息

Department of Surgery, Urology Division at St. Paul Hospital and Millennium Medical College, Addis Ababa, Ethiopia.

出版信息

Res Rep Urol. 2024 Jun 10;16:131-135. doi: 10.2147/RRU.S446710. eCollection 2024.

DOI:10.2147/RRU.S446710
PMID:38883265
原文链接:https://pmc.ncbi.nlm.nih.gov/articles/PMC11178079/
Abstract

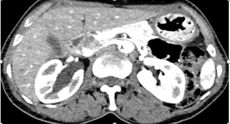
We report rare case of concomitant left nutcracker syndrome and right ureteropelvic junction obstruction (UPJO) on adult female patient diagnosed by CT urogram after she presented with intermittent bilateral flank pain. For this we did Anderson-Hynes pyeloplasty for right ureteropelvic obstruction, it was laparoscopic initially but due to difficulty of stenting it is changed to open. She had smooth post-op course then discharged on 3rd post-op day. Symptoms of nutcracker syndrome are not that much bothersome for the patient so we planned to follow her conservatively.

摘要

我们报告了一例罕见病例,一名成年女性患者出现间歇性双侧胁腹疼痛,经CT尿路造影诊断为同时患有左侧胡桃夹综合征和右侧肾盂输尿管连接处梗阻(UPJO)。为此,我们对右侧肾盂输尿管梗阻进行了安德森-海因斯肾盂成形术,最初是腹腔镜手术,但由于支架置入困难改为开放手术。她术后恢复顺利,术后第3天出院。胡桃夹综合征的症状对患者来说困扰不大,因此我们计划对她进行保守随访。

https://cdn.ncbi.nlm.nih.gov/pmc/blobs/9d64/11178079/61ba31ff0053/RRU-16-131-g0004.jpg
https://cdn.ncbi.nlm.nih.gov/pmc/blobs/9d64/11178079/a1f928929e47/RRU-16-131-g0001.jpg
https://cdn.ncbi.nlm.nih.gov/pmc/blobs/9d64/11178079/f9ea639af45d/RRU-16-131-g0002.jpg
https://cdn.ncbi.nlm.nih.gov/pmc/blobs/9d64/11178079/3943a7957cbf/RRU-16-131-g0003.jpg
https://cdn.ncbi.nlm.nih.gov/pmc/blobs/9d64/11178079/61ba31ff0053/RRU-16-131-g0004.jpg
https://cdn.ncbi.nlm.nih.gov/pmc/blobs/9d64/11178079/a1f928929e47/RRU-16-131-g0001.jpg
https://cdn.ncbi.nlm.nih.gov/pmc/blobs/9d64/11178079/f9ea639af45d/RRU-16-131-g0002.jpg
https://cdn.ncbi.nlm.nih.gov/pmc/blobs/9d64/11178079/3943a7957cbf/RRU-16-131-g0003.jpg
https://cdn.ncbi.nlm.nih.gov/pmc/blobs/9d64/11178079/61ba31ff0053/RRU-16-131-g0004.jpg

相似文献

1
Case Report; Concomitant Left Nutcracker Syndrome and Right Ureteropelvic Junction Obstruction.病例报告;同时合并左胡桃夹综合征和右肾盂输尿管连接处梗阻
Res Rep Urol. 2024 Jun 10;16:131-135. doi: 10.2147/RRU.S446710. eCollection 2024.
2
Left nutcracker syndrome and right ureteropelvic junction obstruction.
Asian J Surg. 2014 Jul;37(3):167-9. doi: 10.1016/j.asjsur.2013.09.010. Epub 2013 Nov 6.
3
Role of laparoscopy in ureteropelvic junction obstruction with concomitant pathology: a case series study.腹腔镜在伴有合并症的肾盂输尿管连接处梗阻中的作用:一项病例系列研究。
Cent European J Urol. 2015;68(4):466-70. doi: 10.5173/ceju.2015.627. Epub 2015 Dec 21.
4
[A case report of ureteropelvic junction obstruction and multiple renal stones associated with nutcracker syndrome].胡桃夹综合征合并输尿管肾盂连接部梗阻及多发性肾结石1例报告
Nihon Hinyokika Gakkai Zasshi. 2011 Jul;102(4):633-7. doi: 10.5980/jpnjurol.102.633.
5
Robotic-assisted laparoscopic pyeloplasty and nephropexy for ureteropelvic junction obstruction and nephroptosis.机器人辅助腹腔镜肾盂成形术及肾固定术治疗肾盂输尿管连接部梗阻和肾下垂
J Laparoendosc Adv Surg Tech A. 2009 Jun;19(3):379-82. doi: 10.1089/lap.2008.0297.
6
Retroperitoneal laparoscopic dismembered Anderson-Hynes pyeloplasty in treatment of ureteropelvic junction obstruction (report of 150 cases).后腹腔镜离断式安德森-海恩斯肾盂成形术治疗肾盂输尿管连接部梗阻(附150例报告)
Urology. 2009 Nov;74(5):1036-40. doi: 10.1016/j.urology.2009.04.083. Epub 2009 Aug 5.
7
Robot-assisted laparoscopic pyeloplasty is a valid option for ureteropelvic junction obstruction repair in adults with congenital renal abnormalities: a case series study.机器人辅助腹腔镜肾盂成形术是治疗成人先天性肾畸形合并肾盂输尿管连接部梗阻的有效方法:一项病例系列研究。
BMC Urol. 2023 Aug 19;23(1):138. doi: 10.1186/s12894-023-01308-4.
8
Laparoscopic Anderson-Hynes procedure as a treatment of ureteropelvic junction obstruction caused by fibroepithelial polyp.腹腔镜 Anderson-Hynes 手术治疗纤维上皮性息肉所致肾盂输尿管连接处梗阻
Wideochir Inne Tech Maloinwazyjne. 2013 Dec;8(4):361-3. doi: 10.5114/wiitm.2011.35636. Epub 2013 Jun 12.
9
Robot-assisted laparoscopic pyeloplasty for ureteropelvic junction obstruction due to aberrant blood vessel with ipsilateral retrocaval ureter.机器人辅助腹腔镜肾盂成形术治疗因异常血管伴同侧腔静脉后输尿管导致的肾盂输尿管连接部梗阻
IJU Case Rep. 2021 Jun 3;4(5):273-276. doi: 10.1002/iju5.12304. eCollection 2021 Sep.
10
Robot-assisted laparoscopic pyeloplasty in the management of lower pole ureteropelvic junction obstruction in a patient with an incomplete duplicated collecting system.机器人辅助腹腔镜肾盂成形术治疗重复肾集合系统不完全性下极输尿管肾盂连接部梗阻1例
IJU Case Rep. 2023 Aug 17;6(6):357-361. doi: 10.1002/iju5.12622. eCollection 2023 Nov.

本文引用的文献

1
Pelviureteric junction obstruction in adults: A systematic review of the literature.成人肾盂输尿管连接处梗阻:文献系统综述
Curr Urol. 2023 Jun;17(2):86-91. doi: 10.1097/CU9.0000000000000154. Epub 2022 Sep 28.
2
Minimal Invasive Treatment in Pelvic-Ureteric Junction Obstruction: A Comprehensive Review.盆腔输尿管连接部梗阻的微创治疗:综述
Res Rep Urol. 2021 Aug 10;13:573-580. doi: 10.2147/RRU.S268569. eCollection 2021.
3
[Not Available].
Aktuelle Urol. 2021 Feb;52(1):25. doi: 10.1055/a-1307-2419. Epub 2021 Feb 1.
4
Comparison of Safety, Efficacy and Outcomes of Robot Assisted Laparoscopic Pyeloplasty vs Conventional Laparoscopy.机器人辅助腹腔镜肾盂成形术与传统腹腔镜手术的安全性、有效性及手术结果比较
Res Rep Urol. 2020 Nov 10;12:555-562. doi: 10.2147/RRU.S238823. eCollection 2020.
5
CT imaging findings of abdominopelvic vascular compression syndromes: what the radiologist needs to know.腹盆腔血管压迫综合征的CT成像表现:放射科医生需要了解的内容。
Insights Imaging. 2020 Mar 17;11(1):48. doi: 10.1186/s13244-020-00852-z.
6
Dynamic MRI and isotope renogram in the functional evaluation of pelviureteric junction obstruction: A comparative study.动态磁共振成像和同位素肾图在肾盂输尿管连接处梗阻功能评估中的比较研究
Turk J Urol. 2018 Jan;44(1):45-50. doi: 10.5152/tud.2018.08365. Epub 2018 Jan 8.
7
Nutcracker Syndrome: An Update on Current Diagnostic Criteria and Management Guidelines.胡桃夹综合征:当前诊断标准与管理指南的最新进展
Eur J Vasc Endovasc Surg. 2017 Jun;53(6):886-894. doi: 10.1016/j.ejvs.2017.02.015. Epub 2017 Mar 27.
8
Multidetector CT of vascular compression syndromes in the abdomen and pelvis.腹部和骨盆血管压迫综合征的多排 CT 检查
Radiographics. 2014 Jan-Feb;34(1):93-115. doi: 10.1148/rg.341125010.
9
Left nutcracker syndrome and right ureteropelvic junction obstruction.
Asian J Surg. 2014 Jul;37(3):167-9. doi: 10.1016/j.asjsur.2013.09.010. Epub 2013 Nov 6.
10
How successful is the conservative management of pelvi-ureteric junction obstruction in adults?成人肾盂输尿管连接处梗阻的保守治疗效果如何?
BJU Int. 2009 May;103(10):1414-6; discussion 1416. doi: 10.1111/j.1464-410X.2008.08192.x. Epub 2008 Nov 25.