Suppr超能文献

局部氧疗作为促进种植学、口腔外科和牙周病学伤口愈合及控制细菌的新策略:综述

Topical oxygen therapy as a novel strategy to promote wound healing and control the bacteria in implantology, oral surgery and periodontology: A review.

作者信息

Leventis Minas, Deliberador Tatiana, Alshehri Fahad, Alghamdi Hamdan

机构信息

Department of Oral and Maxillofacial Surgery, Dental School, National and Kapodistrian University of Athens, Greece.

Department of Periodontics, Saveetha Dental College, Chennai, India, and Latin American Institute of Dental Research and Education - ILAPEO, Curitiba/PR, Brazil.

出版信息

Saudi Dent J. 2024 Jun;36(6):841-854. doi: 10.1016/j.sdentj.2024.04.004. Epub 2024 Apr 19.

Abstract

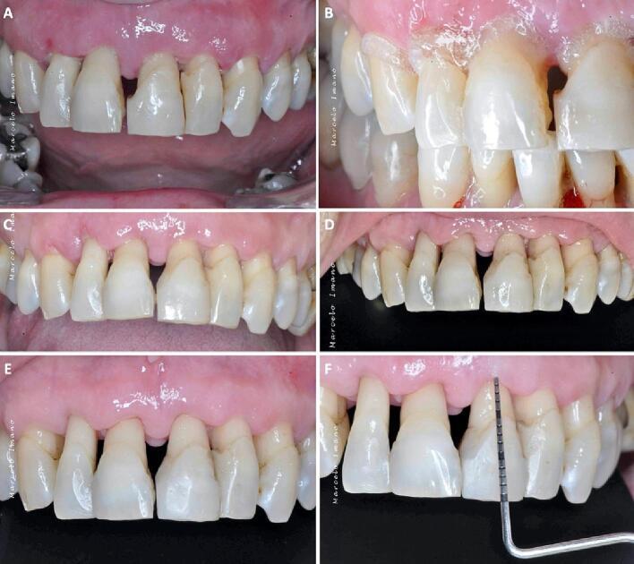
Globally, oral infections and inflammatory lesions persist as substantial public health concerns, necessitating the introduction of novel oral treatment protocols. Oral diseases are linked to various causative factors, with dental plaque/biofilm resulting from inadequate hygiene practices playing a predominant role. The strategic implementation of novel topical therapies holds promise for effectively controlling the biofilms, addressing oral infections and promoting enhanced oral wound healing. This review aims to providing a comprehensive overview of the available evidence pertaining to the potential efficacy of topical oxygen and lactoferrin-releasing biomaterials, exemplified by the blue®m formula, as novel oral care interventions within the scope of contemporary implantology, oral surgery and periodontology.

摘要

在全球范围内,口腔感染和炎性病变仍然是重大的公共卫生问题,因此需要引入新的口腔治疗方案。口腔疾病与多种致病因素相关,其中因卫生习惯不良导致的牙菌斑/生物膜起着主要作用。新型局部治疗方法的战略实施有望有效控制生物膜、解决口腔感染并促进口腔伤口愈合。本综述旨在全面概述有关局部用氧和释放乳铁蛋白的生物材料(以blue®m配方为例)作为当代种植牙学、口腔外科和牙周病学范围内新型口腔护理干预措施的潜在疗效的现有证据。

https://cdn.ncbi.nlm.nih.gov/pmc/blobs/2812/11178966/9ab30dd0a42b/gr1.jpg

文献AI研究员

20分钟写一篇综述,助力文献阅读效率提升50倍。

立即体验

用中文搜PubMed

大模型驱动的PubMed中文搜索引擎

马上搜索

文档翻译

学术文献翻译模型,支持多种主流文档格式。

立即体验