Grazia Mele Vincenza, Chioccarelli Teresa, Diano Nadia, Cappetta Donato, Ferraro Bruno, Telesca Marialucia, Moggio Martina, Porreca Veronica, De Angelis Antonella, Berrino Liberato, Fasano Silvia, Cobellis Gilda, Chianese Rosanna, Manfrevola Francesco
Department of Experimental Medicine, University of Campania L. Vanvitelli, Naples, Italy.
Department of Experimental Medicine, University of Salento, Lecce, Italy.
Hum Reprod. 2024 Aug 1;39(8):1628-1644. doi: 10.1093/humrep/deae109.
Can illegal discharge of toxic waste into the environment induce a new condition of morpho-epigenetic pathozoospermia in normozoospermic young men?
Toxic environmental contaminants promote the onset of a new pathozoospermic condition in young normozoospermic men, consisting of morpho-functional defects and a sperm increase of low-quality circular RNA (circRNA) cargo, tightly linked to contaminant bioaccumulation in seminal plasma.
Epidemiological findings have reported several reproductive anomalies depending on exposure to contaminants discharged into the environment, such as germ cell apoptosis, steroidogenesis defects, oxidative stress induction, blood-testis barrier dysfunctions, and poor sperm quality onset. In this scenario, a vast geographical area located in Campania, Italy, called the 'Land of Fires', has been associated with an excessive illegal discharge of toxic waste into the environment, negatively impacting human health, including male reproductive functions.
STUDY DESIGN, SIZE, DURATION: Semen samples were obtained from healthy normozoospermic men divided into two experimental groups, consisting of men living in the 'Land of Fires' (LF; n = 80) or not (CTRL; n = 80), with age ranging from 25 to 40 years. The study was carried out following World Health Organization guidelines.
PARTICIPANTS/MATERIALS, SETTING, METHODS: Quality parameters of semen from CTRL- and LF-normozoospermic men were evaluated by computer-assisted semen analysis; high-quality spermatozoa from CTRL and LF groups (n = 80 for each experimental group) were obtained using a 80-40% discontinuous centrifugation gradient. Seminal plasma was collected following centrifugation and used for the dosage of chemical elements, dioxins and steroid hormones by liquid chromatography with tandem mass spectrometry. Sperm morpho-functional investigations (cellular morphology, acrosome maturation, IZUMO1 fertility marker analysis, plasma membrane lipid state, oxidative stress) were assessed on the purified high-quality spermatozoa fraction by immunochemistry/immunofluorescence and western blot analyses. Sperm circRNA cargo was evaluated by quantitative RT-PCR, and the physical interaction among circRNAs and fused in sarcoma (FUS) protein was detected using an RNA-binding protein immunoprecipitation assay. Protein immunoprecipitation experiments were carried out to demonstrate FUS/p-300 protein interaction in sperm cells. Lastly, in vitro lead (Pb) treatment of high-quality spermatozoa collected from normozoospermic controls was used to investigate a correlation between Pb accumulation and onset of the morpho-epigenetic pathozoospermic phenotype.
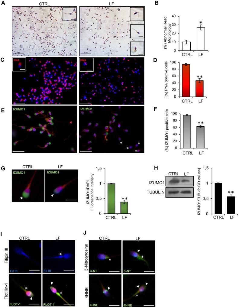
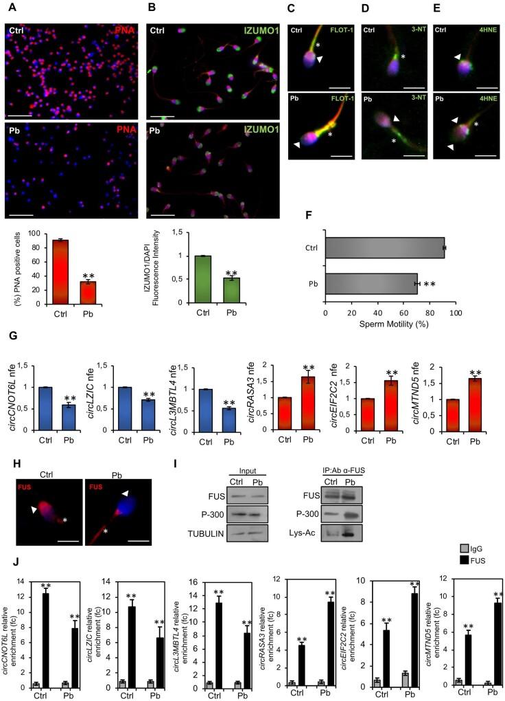
Several morphological defects were identified in LF-spermatozoa, including: a significant increase (P < 0.05 versus CTRL) in the percentage of spermatozoa characterized by structural defects in sperm head and tail; and a high percentage (P < 0.01) of peanut agglutinin and IZUMO1 null signal cells. In agreement with these data, abnormal steroid hormone levels in LF seminal plasma suggest a premature acrosome reaction onset in LF-spermatozoa. The abnormal immunofluorescence signals of plasma membrane cholesterol complexes/lipid rafts organization (Filipin III and Flotillin-1) and of oxidative stress markers [3-nitrotyrosine and 3-nitrotyrosine and 4-hydroxy-2-nonenal] observed in LF-spermatozoa and associated with a sperm motility reduction (P < 0.01), demonstrated an affected membrane fluidity, potentially impacting sperm motility. Bioaccumulation of heavy metals and dioxins occurring in LF seminal plasma and a direct correlation between Pb and deregulated circRNAs related to high- and low-sperm quality was also revealed. In molecular terms, we demonstrated that Pb bioaccumulation promoted FUS hyperacetylation via physical interaction with p-300 and, in turn, its shuttling from sperm head to tail, significantly enhancing (P < 0.01 versus CTRL) the endogenous backsplicing of sperm low-quality circRNAs in LF-spermatozoa.
LIMITATIONS, REASONS FOR CAUTION: Participants were interviewed to better understand their area of origin, their eating habits as well as their lifestyles, however any information incorrectly communicated or voluntarily omitted that could potentially compromise experimental group determination cannot be excluded. A possible association between seminal Pb content and other heavy metals in modulating sperm quality should be explored further. Future investigations will be performed in order to identify potential synergistic or anti-synergistic effects of heavy metals on male reproduction.
Our study provides new findings regarding the effects of environmental contaminants on male reproduction, highlighting how a sperm phenotype classified as normozoospermic may potentially not match with a healthy morpho-functional and epigenetic one. Overall, our results improve the knowledge to allow a proper assessment of sperm quality through circRNAs as biomarkers to select spermatozoa with high morpho-epigenetic quality to use for ART.
STUDY FUNDING/COMPETING INTEREST(S): This study was supported by 'Convenzione Azienda Sanitaria Locale (ASL) Caserta, Regione Campania' (ASL CE Prot. N. 1217885/DIR. GE). The authors have no conflict of interest to declare.
N/A.
向环境中非法排放有毒废物会导致正常精子的年轻男性出现形态 - 表观遗传病理性精子症的新情况吗?
有毒的环境污染物会促使正常精子的年轻男性出现新的病理性精子症情况,包括形态功能缺陷以及精子中低质量环状RNA(circRNA)含量增加,这与精浆中污染物的生物累积紧密相关。
流行病学研究结果表明,接触排放到环境中的污染物会导致多种生殖异常,如生殖细胞凋亡、类固醇生成缺陷、氧化应激诱导、血睾屏障功能障碍以及精子质量下降。在这种情况下,意大利坎帕尼亚大区一个被称为“火之地”的广大地区,与向环境中非法过量排放有毒废物有关,对人类健康产生负面影响,包括男性生殖功能。
研究设计、规模、持续时间:精液样本取自健康的正常精子男性,分为两个实验组,一组是居住在“火之地”(LF;n = 80)的男性,另一组是未居住在该地区的男性(对照组;n = 80),年龄在25至40岁之间。该研究按照世界卫生组织的指南进行。
参与者/材料、环境、方法:通过计算机辅助精液分析评估对照组和LF组正常精子男性精液的质量参数;使用80 - 40%不连续离心梯度从对照组和LF组(每个实验组n = 80)获得高质量精子。离心后收集精浆,通过液相色谱 - 串联质谱法测定其中的化学元素、二噁英和类固醇激素含量。通过免疫化学/免疫荧光和蛋白质印迹分析对纯化的高质量精子部分进行精子形态功能研究(细胞形态、顶体成熟、IZUMO1生育标记分析、质膜脂质状态、氧化应激)。通过定量逆转录 - 聚合酶链反应评估精子circRNA含量,并使用RNA结合蛋白免疫沉淀试验检测circRNA与肉瘤融合蛋白(FUS)之间的物理相互作用。进行蛋白质免疫沉淀实验以证明精子细胞中FUS/p - 300蛋白相互作用。最后,对从正常精子对照组收集的高质量精子进行体外铅(Pb)处理,以研究Pb积累与形态 - 表观遗传病理性精子症表型发生之间的相关性。
在LF组精子中发现了几种形态学缺陷,包括:头部和尾部结构缺陷的精子百分比显著增加(与对照组相比P < 0.05);花生凝集素和IZUMO1无信号细胞的比例较高(P < 0.01)。与这些数据一致,LF组精浆中异常的类固醇激素水平表明LF组精子顶体反应过早开始。在LF组精子中观察到质膜胆固醇复合物/脂筏组织(菲洛嗪III和小窝蛋白 - 1)以及氧化应激标记物[3 - 硝基酪氨酸和4 - 羟基 - 2 - 壬烯醛]的异常免疫荧光信号,且与精子活力降低相关(P < 0.01),这表明膜流动性受到影响,可能影响精子活力。还揭示了LF组精浆中重金属和二噁英的生物累积以及Pb与精子质量高低相关的失调circRNA之间的直接相关性。在分子层面,我们证明Pb生物累积通过与p - 300的物理相互作用促进FUS超乙酰化,进而使其从精子头部转运到尾部,显著增强(与对照组相比P < 0.01)LF组精子中低质量circRNA的内源性反向剪接。
局限性、注意事项:对参与者进行了访谈,以更好地了解他们的籍贯、饮食习惯以及生活方式,然而,不能排除任何可能错误传达或自愿省略的信息,这些信息可能会影响实验组的确定。应进一步探索精浆中Pb含量与其他重金属在调节精子质量方面的可能关联。未来将进行研究,以确定重金属对男性生殖的潜在协同或反协同作用。
我们的研究提供了关于环境污染物对男性生殖影响的新发现,强调了分类为正常精子的精子表型可能在形态功能和表观遗传方面与健康状态不匹配。总体而言,我们的结果增进了相关知识,以便通过将circRNA作为生物标志物来正确评估精子质量,从而选择具有高形态 - 表观遗传质量的精子用于辅助生殖技术。
研究资金/利益冲突:本研究由“坎帕尼亚大区卡塞塔地方卫生机构(ASL)协议”(ASL CE Prot. N. 1217885/DIR. GE)资助。作者声明无利益冲突。
无。