Suppr超能文献

外泌体血清生物标志物作为喉癌的预测指标

Exosomal Serum Biomarkers as Predictors for Laryngeal Carcinoma.

作者信息

Schuster Johannes, Wendler Olaf, Pesold Vanessa-Vivien, Koch Michael, Sievert Matti, Balk Matthias, Rupp Robin, Mueller Sarina Katrin

机构信息

Department of Otolaryngology, Head and Neck Surgery, Friedrich-Alexander-Universität Erlangen-Nürnberg, Waldstrasse 1, 91054 Erlangen, Germany.

出版信息

Cancers (Basel). 2024 May 27;16(11):2028. doi: 10.3390/cancers16112028.

Abstract

BACKGROUND

The lack of screening methods for LSCC is a critical issue, as treatment options and the treatment outcome greatly depend on the stage of LSCC at initial diagnosis. Therefore, the objective of this study was to identify potential exosomal serum biomarkers that can diagnose LSCC and distinguish between early- and late-stage disease.

METHODS

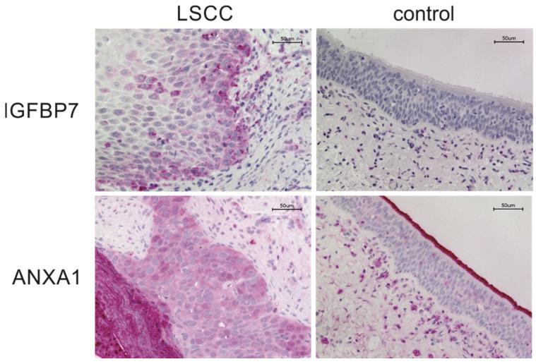
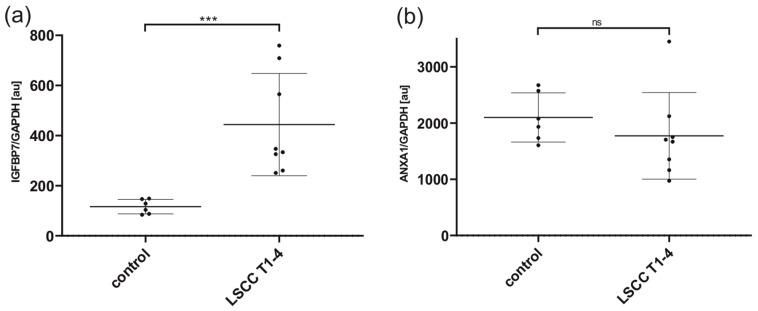
A multiplexed proteomic array was used to identify differentially expressed proteins in exosomes isolated from the serum samples of LSCC patients compared to the control group (septorhinoplasty, SRP). The most promising proteins for diagnosis and differentiation were calculated using biostatistical methods and were validated by immunohistochemistry (IHC), Western blots (WB), and ELISA.

RESULTS

Exosomal insulin-like growth factor binding protein 7 (IGFBP7) and Annexin A1 (ANXA1) were the most promising exosomal biomarkers for distinguishing between control and LSCC patients and also between different stages of LSCC (fold change up to 15.9, < 0.001 for all).

CONCLUSION

The identified proteins represent potentially novel non-invasive biomarkers. However, these results need to be validated in larger cohorts with a long-term follow-up. Exosomal biomarkers show a superior signal-to-noise ratio compared to whole serum and may therefore be an important tool for non-invasive biomarker profiling for laryngeal carcinoma in the future.

摘要

背景

由于治疗方案和治疗结果很大程度上取决于喉鳞状细胞癌(LSCC)初诊时的分期,因此缺乏LSCC的筛查方法是一个关键问题。因此,本研究的目的是确定能够诊断LSCC并区分早期和晚期疾病的潜在外泌体血清生物标志物。

方法

使用多重蛋白质组学阵列来鉴定从LSCC患者血清样本中分离的外泌体与对照组(鼻中隔成形术,SRP)相比差异表达的蛋白质。使用生物统计学方法计算最有诊断和鉴别潜力的蛋白质,并通过免疫组织化学(IHC)、蛋白质免疫印迹(WB)和酶联免疫吸附测定(ELISA)进行验证。

结果

外泌体胰岛素样生长因子结合蛋白7(IGFBP7)和膜联蛋白A1(ANXA1)是区分对照组和LSCC患者以及区分LSCC不同阶段最有潜力的外泌体生物标志物(倍数变化高达15.9,所有P均<0.001)。

结论

鉴定出的蛋白质代表潜在的新型非侵入性生物标志物。然而,这些结果需要在更大的队列中进行长期随访验证。与全血清相比,外泌体生物标志物显示出更高的信噪比,因此可能成为未来喉癌非侵入性生物标志物分析的重要工具。

https://cdn.ncbi.nlm.nih.gov/pmc/blobs/b8e3/11171163/311d391331ac/cancers-16-02028-g001.jpg

文献检索

告别复杂PubMed语法,用中文像聊天一样搜索,搜遍4000万医学文献。AI智能推荐,让科研检索更轻松。

立即免费搜索

文件翻译

保留排版,准确专业,支持PDF/Word/PPT等文件格式,支持 12+语言互译。

免费翻译文档

深度研究

AI帮你快速写综述,25分钟生成高质量综述,智能提取关键信息,辅助科研写作。

立即免费体验